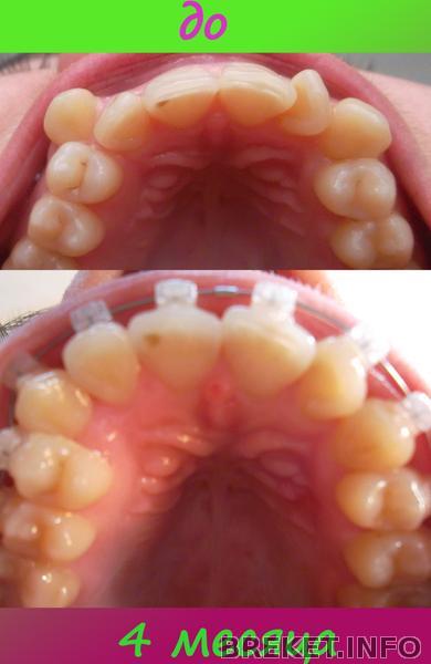
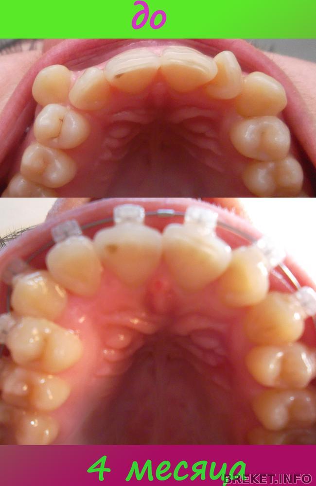
Поняла я только что...
...что со всеми этими щелями-зазорами-наклонами-несмыканием-деснами-восьмерками и т.д. и т.п. я совсем уже позабыла, что такое - переживать о клыках... Почему? потому что они встали по дуге уже через 2 месяца лечения. А все остальные вышеперечисленные "прелести" меня донимают до сих пор, и будут донимать ещё долго...)))
Иногда полезно посмотреть на фото "до". Так, как "до", я не комплексовала даже во время самого жуткого вида и отсутствующей дикции на сроке 2-2,5 месяца....
Ну и фото прилагаю...
Предлагаю коллективно выложить сюда свои коллажи "ДО" и "сейчас", порадуемся друг за друга и помашем бай-бай
тому, с чем мы пришли к орту! ![]()
У меня по фото за 2 месяца изменений не видно будет, так что прилагаю вот этот и говорю, что наклон зубов ещё уменьшился
А что у вас?
Комментарии
Алхимик прогресс налицо!))
Xenia какие у тебя подробные коллажи! мне лень было бы с трех сторон фоткать каждый раз и в коллаж клеить))) Кстати, в анфас мне казалось что единички стоят строго вертикально, а на коллаже в профиль увидела что наклонились вперед - 80% ширины щели из-за этого! Уберется потом
Спасибо, ты мотивируешь на хорошие действия)
Сделала колаж и ужаснулась, при том дважды) хи хи ![]()
Впервые когда посмотрела на свои зубы в 1 день с БС, а второй когда поняла, что у меня сьехал центр и кривая улыбка+ единички ай яй яй, ну да ладно. ВСЕ БУДЕТ ХОРОШО!
Но еще работать и работать с моими зубами, одна сторона вообще запала, какого-то лешего ![]()
Lady_Mouse, я раньше я ходила со своими зубками без бс и не печалилась, а вот сейчас даже мелочи потрясают)
Буду радоваться, что вместо моего клыка я вижу более менее нормальные зубы, а не вампирчика)
Улыбашка ниче, всё будет супер!
Lady_Mouse Ох....ты ужаснешься
)))) в общем я каждый день фоткаю!) во всех ракурсах) иногда сама рожи строю и кривляюсь...хотела в конце лечения мультик движения зубов сделать...да вот думается ракурсы у меня не совпадают...
Я не много не понимаю
, что значит наклонились вперед( звучит плоховато)? Я думала они туда перетопали с корнями))))ну или планируют перетопать...Ну или как объяснял врач они вытянутся вперед. В общем получается моя челюсть вспучиласть О-о ??????? вперед....
ох...за то я могу фонтанчики теперь пускать через эту " прекрасную" щель
.
Мне сегодняшние коллажи твои не совсем понятны...потому что когда я вижу их вместе с лицом...это красотища!А когда заостряешь внимание на самих зубах...понимаешь сколько было работы! Сколько еще предстоит! Вот к примеру на этой фото не скажешь что щели ..это плохо или то, что они доставляют дискомфорт обладателю...все идет http://breket.info/images/image1073799854
Алхимик Хорошо все начинается, дальше лучше!Щель меж однерками исчезла) ко мне чтоли ушла!?
Улыбашка Зубки вообще прелесть! Форма губ тоже такая чувственная! Я смотрю на 5 месяце..единички уже по тихоньку сдаются! Так держать!
воодушевляющий пост)
У меня только неделя прошла,так что пока без изменений...
Xenia, спасибо, но видела бы ты, сколько я изворачивалась чтоб снять ТАК))) На других фотках просто ужас ужасный))
Лайма, ничего себе, маленькие
ОлиК, ещё как показательные! ![]()
Железячка, я тоже за нас и за них рада)))
Natasha_Timofeeva всё лучшее - впереди!))) Ничего, теперь время быстрее побежит. оглянуться не успеешь - а там таааааааакой прогресс)))
lelechka, спасибо))) так у тебя им и не надо почти двигаться, они вон по дуге стоят... У меня первые 2 месяца тоже почти не двигались, больше замаскировались вытянув вперед единички и двойки... А потом, месяцам к 4-5 встали куда им положено, и 1-2 наконец-то начали возвращаться на место))
Женя Цветочек знакомая проблема
Класс!
Lady_Mouse, да, мой результат хороший, но всем нам кажется, что у нас не так быстро, как нам хотелось бы)))) Нам ровные зубы сразу подавай!!!
Поэтому и прибедняюсь))))
Женя Цветочек, круто! Всем зубкам места хватило, без удаления!!!!
Лайма ну это-то да, я тоже вот молчу, не показываю никому свою щель между 2 и 3 с одной стороны, а она между прочим без преувеличенися 3 мм! И я уже два месяца ношу чейн, который должен её затянуть, а она за это время ну нисколечко не уменьшилась!((((( Терплю...
Lady_Mouse, не, все гораздо хуже, чем кажется на фотках) клыки вообще не на месте, и не дают остальным зубам двигаться куда им положено. Но пока что не ропщу)) Итак радости полные штаны)))
Lady_Mouse, да уж, клыки самые вредные зубы!)
Лайма, Спасибо, но еще не до конца влез клык...ждемс))













У меня пока только один коллаж. Следующий через неделю сделаю, после приёма.
На ВЧ изменения налицо, сейчас ещё у меня двойка новая красивая (с ней тоже коллажик сделаю потом), а вот на НЧ... такое чувство, что зубы хором напевают "врагу не сдаётся наш гордый варяг..." и упрямо стоят на своём. Но ничего, неделя им до следующей дуги осталась