Мой первый плановый прием
Ну вот, в четверг, наконец, была у ортодонта.
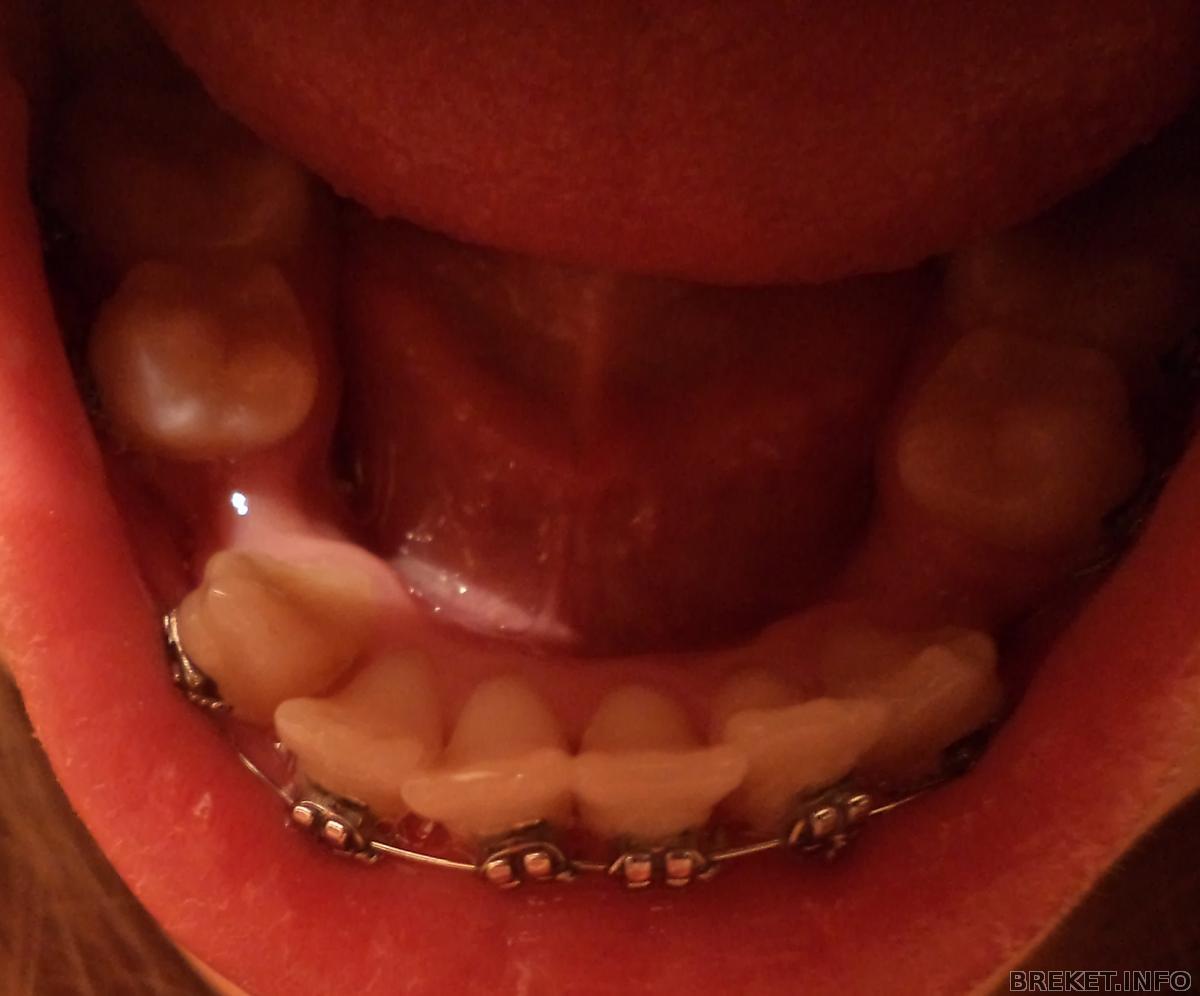
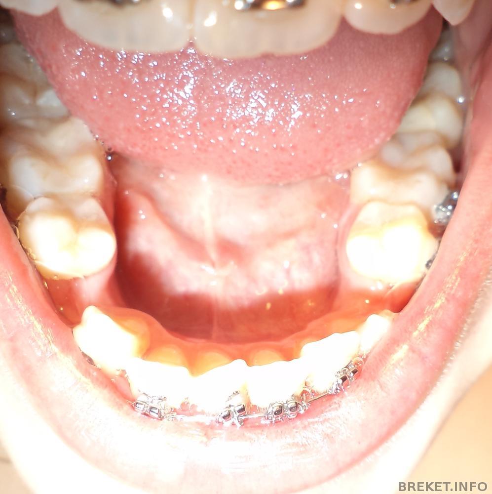
К сожалению, все мои надежды не оправдались, и не все зубы, как я хотела, поместили на общую дугу.
Пока присоседился только нижний клык. Верхний самый проблемный клык, как я ни просила врача, остался пока в свободном полете. Орт сказал, что если он оденет на него дугу, будет очень больно. Действительно, он всего лишь подтянул лигатуру на нем, а боль стояла 3 дня сумасшедшая...
Еще мне одели резиночку на верхнюю челюсть, которую я боялась больше, однако от нее боли почти не было.
И самое интересное и удивительное. Нижние первые резцы еще в среду вечером заходили друг за друга. Утром в четверг мне активировали левый нижний клык, целый день там все болело, вечером я дома посмотрела в зеркало и ... нижние резцы уже не заходили друг за друга!!! Вот это да!!! Вот это скорость!!! ![]()
Комментарии
очень быстро подвинулись зубки на нч))) невероятно)
Пожалел тебя ортодонт)))) Клыки очень плохо двигаются, у них самые мощные корни. Поздравляю тебя с первым приемом и с изменениями.
Да, ОлиК, пожалел. Я это к вечеру уже поняла. Спасибо за поздравления! Теперь этот клык десну дерет. Три дня уже с воском хожу...
Мда... металлические лигатуры - это ацццкий экстрим((( Остается только терпеть, все не зря






поздравляю!!! это бешеная скорость))) и не торопитесь, все идет своим чередом) я до установки думала "пусть мне сразу затянут все как можно сильнее, чтобы все быстрей двигалось!" но когда мне установили БС, я думала, что пофиг, сколько мне придется носить, но хоть бы брекеты ослабили свою хватку