ну вот и месяц прошел на нч)))) и еще много изменений радостных)))
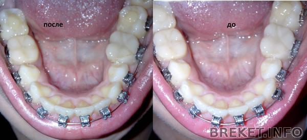
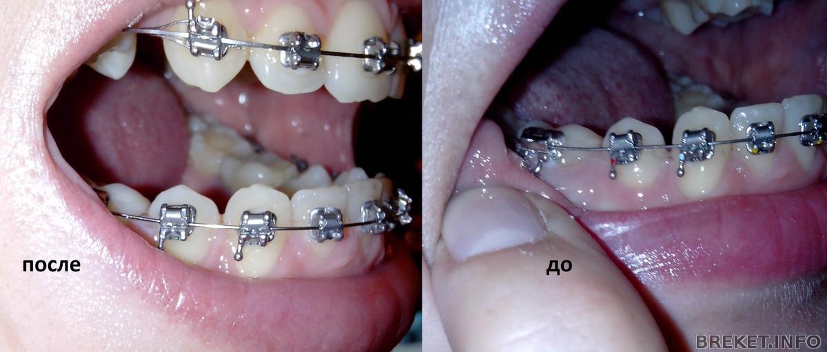
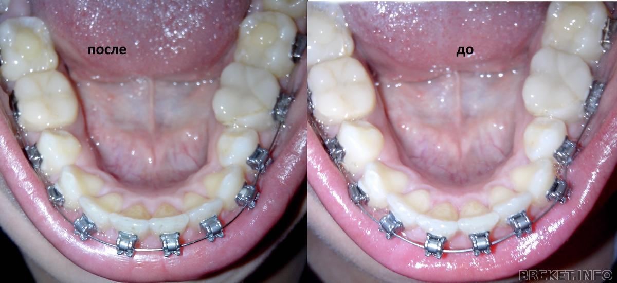
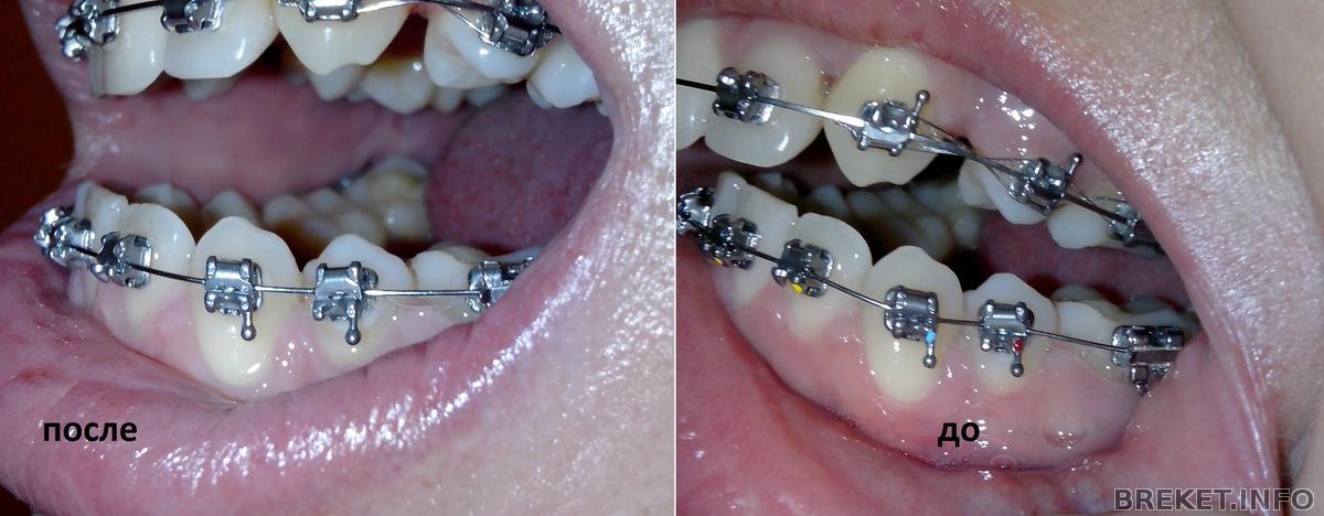
даже не знаю с чего начать)))) ну вообщем нч меняется потихоньку) вч тоже изменилась,перекос почти ушел, изменился сильно наклон зубов,теперь они так не торчат вперед)))
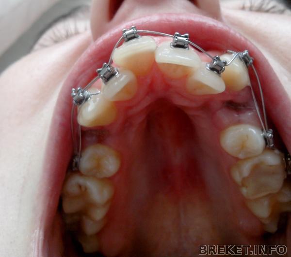
и самое главное!!! моя потемневшая двойка почти вернула свой цвет!!! чудо))) а так же растущий зуб мудрости перестал болеть,воспаление и отек прошел,благодаря полосканию фурацилином и мази камистад))) ну вот и фото))) все видно)))) двойка
Комментарии
Обалдеть как все круто становится! Поздравляю!!! У двойки все же скорее всего какой-то сосудик пережимался, из-за этого цвет меняла, хорошо, что все восстановилось! Зубы уже прям ровненькие! Дырки закроются и на вид уже можно снимать)))) Шучу, конечно. Но здорово, что так быстро все происходит!
Люблю читать твои записи)) В них столько эмоций!
Супер, супер СУПЕР!!! Просто потрясающий результат! Люблю смотреть фото с такими изменениями. У меня такая же ерунда во рту была раньше, теперь даже и не вериться.
Дальше только лучше
даааа я так рада всем этим изменениям!!! спасибо за ваши комментарии!!! и я не жалею,что поставила именно сейчас) ведь теперь технологии куда лучше,чем раньше и врачи намного квалифицированнее!
и я уверенна,что мне не придется перелечиваться, нежели если бы я в детстве их поставила) в этом возрасте намного серьезнее относишься к лечению и полностью соблюдаешь наказы врача)))
желаю чтоб у всех все так же быстро выравнивалось))) радости у меня полные штаны
ааа, круто у вас всё)) это только за 4 месяца! Дальше будет голливудище))))))
AnnGorod, да) спасибки) думаю точно голливудище меня ждет
tysik88 Всё так здорово у вас,за 4 месяца считаю результат просто суперский
Plies, спасибочки) приятно))))
Так здорово!!! Почти мой случай))) Тоже жду таких же положительных изменений
tysik88, очень красиво!!! И зубки красивенные такие, все аккуратненькие...Мммммм...загляденье!!
Как здорово! Поздравляю!
Врача в студию
очень красиво;) поздравляю!))
Круто
ого!
предпоследняя фотка - вообще самый сок! сидишь себе смотришь, сравниваешь, а тут тебе на - совсем другая челюсть 4 месяца назад! очень красиво!
спасибо, спасибо!!!
Я чуть все не пропустила
Это же такая крутая крутотень)))
1. Перекос уменьшился
2. Наклон зубов на ВЧ изменился в лучшую сторону
3. Дырки от 4-ок затягиваются
4. Зуб - живой!!!!
Он живой!!! А ты боялась)))
5. Дистальный прикус уже менее дистальный)))
6. НЧ тоже ровняется.
А фотки "до" спрячь куда подальше и больше о них не вспоминай. Да, мы их никогда не забудем, но это уже история
Не будем оглядываться)))
ОлиК, ой ой ой ну ты прям все подметила
главная радость это двойка))
я уже про нее и забыла
а тут случайно разглядывала зубы и смотрю...что то не то
ооо а оказалось цвет та у двойки почти такой же, как и у всех
вот это была самая неожиданная наиприятнейшая радость!!! она перекрыла все приятности изменений зубов
теперь я знаю чудеса бывают, а ведь орт говорила,раз потемнела,значит уже не вернется цвет 100%( ну удивлю я ее на приеме!
tysik88, будем верить в чудеса))) когда прием?
ОлиК,прием 11.11))) и сразу меняем дугу на нч
а че с вч будут делать
ну лигатуры подтянут,а че еще нинаю
хочу очень тяги
а у меня 07.11
желаю тебе тяг!!! И побольше!!!
ОлиК,
ну вперед меня отпишешься))) ох да, тяг бы и побольше, побольше))))))))) дайте таблетку от жадности
я тоже тяги хочуууу:))











Вау!)) Поздравляю))