Очередной прием!..
Очередной плановый прием у орта!
Сегодняшний день полон событий!! Моя фея мне чуть не порвала рот, пока так усердно ковырялась в моих зубах; потом так пыхтела с пружиной, что чуть не поставила мне фингал. Ну а так как "чуть" у нас не считается, можно предположить, что я легко отделалась
Сегодня мне налепили еще 2 надкусочные пломбы. В этот раз на верхние 7-ки. Теперь у меня их 4, хотя не знаю, стоит ли принимать в расчет предыдущие, потому что они у меня неплохо так сточились))
Впервые за все время мне не поменяли дугу на ВЧ (до этого - на каждом приеме), только лигатуры поменяли.
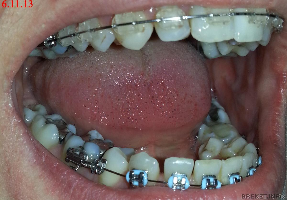
А на НЧ лигатуры теперь голубенькие!
Я в восторге от цвета)) Лучше чем розовые.
Ну а теперь я поделюсь парой фоточек своего кОшмара
К сожалению, я до жути ленивая в плане фоток, поэтому (не прошло и года) более-менее адекватно покажу только сейчас, с чем я пожаловала в ряды брекетоносцев.
Это то безобразие, которое не давало мне покоя:
А это сравнение "тогда" и "сейчас". Прогресс на зубы на лицо, но еще пипец как много работы для феи ![]()
Ну а вот когда вижу ЭТО, я могу только выдохнуть: "Мама, дорогая!" Вот такой у меня прикус((( Да в эту щель между ВЧ и НЧ енот пролезет, если захочет! И это при сомкнутых челюстях!!! ![]()
Ну а это пружина, чтоб освободить место для 5-ки (если приглядеться, за четверкой виден этот зубик, да и с другой стороны 5-ка тоже не на месте, но там не так криминально):
Ну вот такой вот вышел пост. Зубы далеко не идеальные, рот полон страшных черных пломб, но я держу курс к мечте, как и все мы!




