Дело двигается и главное в правильном направление+ фото ))
Давно не писала)))
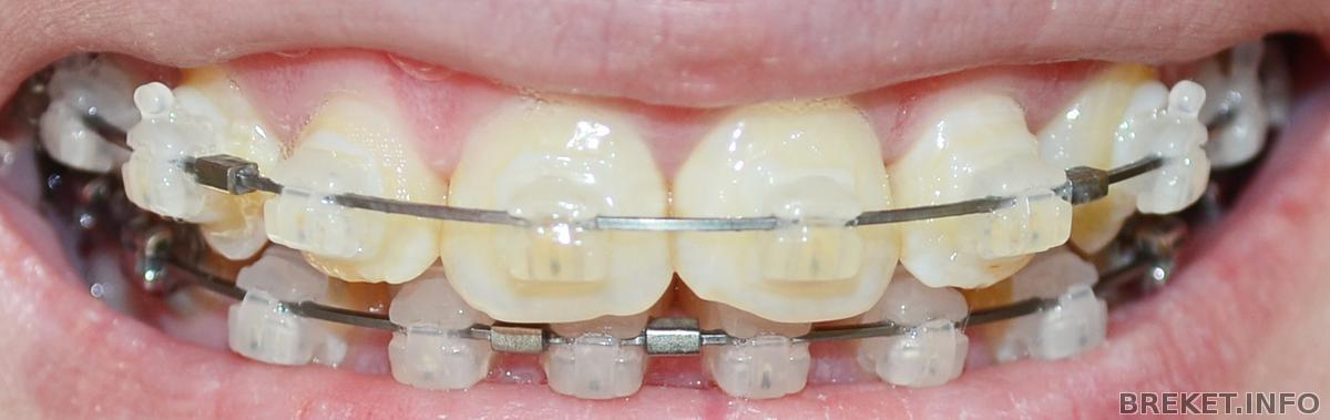
Краткий рассказ. С начала августа мне выдали тяги- Rabbit, (мне надо было поставить на место свои клики)я вот их носила до 28 октября, т.е. почти 3 месяца, по 15 часов в день. и плюс у меня в этом периоде были установлены специальные резинки (не знаю ихнее медиц. название) которые держали сначала первые передние 4 зуба на ВЧ (без клыков), а после полтора месяца когда образовалось пространство между клыком и вторым зубом, сделали активацию и положили ту резинку на передние 6 зубы, т.е. охватили и клыки, и опять же под действием тяг, пространство исчезло. Но после последней активации дуг, мне сняли эту резинку и сказали сделать перерыв 10-14 дней, и продолжить носить те же тяги, только 17 ч./день. и самое интересное, что поменяли замочки на брекеты, обычно они стоят по середине (на первый правый/левый) а тут у меня один на втором с лева, а другой на второй с права...))) что я говорю, посмотрите сами, и уже появилось снова пространство между клыком и двоечкой )) (немножко фото не по центру, но разредился аппарат и не успела сделать еще одно)
и я так рада что результаты не дают себя ждать! и еще раз поражаюсь ходом лечения, и не жалею что выбрала именно своего орта!
Комментарии
да,...но еще есть работа ..
спасибо!)

да, результат действительно хороший.
поздравляю.