Цепочка+ дуга с ушками
Привет, мои любимые и дорогие) ![]()
Сегодня был очередной приём о ортофея. Ехала к ортофею опаздывала, думала- передумала всего.
Что спросить, что не забыть сказать.. и вот дверь в клинику открылась и я опять села ждать ортофеюшку)
Сегодня 6м и 10 дней как мы живем с брекетулями)
Я уже нафантазировала кучу приятнотей, что через 5-6 месяцев можно снять мои оковки.... но нет.
Увидела ортофея полегчало, села в креслице и сразу куча вопросов.
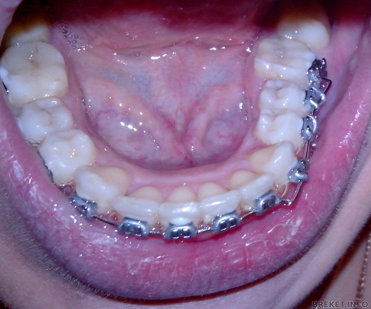
Искревление нч у меня ужасное, фото ниже ![]()
Решила спросить, что же с этим делать? Может зубкам места мало.
Но меня успокоили и сказали, что все будет ровным, ты вот сколько 25 лет свои челюсти растила, а сейчас хочешь за пару месяцев идеальные зубки. Точь в точь как мама моя говорит) Это меня успокоило.
Потом долго рассматривали мой "прикус", сказали что каждая дуга на НЧ будет специально для меня сделана и сняли мою 16 дугу. Начали что то одевать, оказалось дуга с ушками, для расширения челюсти, так как с лева она очень узкая.
Ушки очень не привычно во рту сидят, мешаю губы облизать друг о друга, но это все малось по сравнению с моим счастьем)
Старую дугу мне запаковали и сказали,
ВЧ тоже не оставили без внимания, одели эластичную цепочку
Обновок куча муча, радости полные штаны)
Всем желаю хорошего настроения и красивых улыбок!!! УХУУУУУУ!
Комментарии
Vinogradova29, спасибочки так хочется поскорее снять все эти доспехи)
Какая дуга интересная ))
Это получается она 3,4,5 чуть вытянет? А 6 как?
Mrs. El, Не знаю(
Надеюсь и 6 вытянет)
привкус
Приветик Улыбаша!
Приятно видеть твои записи! Так много у тебя хорошего случилось. Видно что когда ты писала текст думала о чем то вкусном)))
Привкус)))) чего то вкусненького!
Рада что твои сомнения по поводу НЧ развеялись.
Ага))))) исправила!
missAnn123 гуру русского - я искала тебя всю жизнь
))
Xenia, сипасибочки моя хорошая)))
в порыве радости и не такое напишешь)))
Я обрадовалась, что удалять ничего не придется. Боли адские, давно такого не было)
Улыбашка, здесь уже была темка про прикус и привкус )
А исправлять будут? Тягами???
буду за Вами наблюдать. у меня такая же волна) а ВЧ вызывает только зависть))) красота!
LikaAZ, да, но пока нужно НЧ выпрямить.
ksen, волну обещали исправить, правда боль хуже чем когда бс поставили.
Через 2 месяца обещают что волна исчезнет. Будем наблюдать)
Улыбашка, поздравляю с уже таким серьезным сроком - полгода!
Практически половина пути и это вдохновляет!
Не думала, что тяги могут быть такие "длинные". У меня они стягивают соседние зубки (маленькие совсем).
Касаемо расширения НЧ - а челюсть обратно не сузится? Для этого тоже что-то вроде ретейнера ставят?
kievlyanо4ka, спасибочки большое, моя хорошая)
Я и сама не ожидала такого поворота событий, что мне цепочку на весь зубной ряд оденут) Так как между однерками образовалась щель а клыки еще не стали на свои места)
От нее зубы ныли адски)
НЧ, так болит как никогда, зубы шатаются, боюсь кушать, да и чистить зубы боюсь. Обещали ставит специальные дуги, а потом ретейнер) Но до ретейнера очень далеко)




главное что ты на правильном пути!! осталось совсем чуть-чуть ))