эх, как же еще долго ждать установки(((
Начало положено - внесла сегодня предоплату за БС на ВЧ, орт закажет брекеты и через недели 2 они придут!!! За эти 2 недели нужно залечить обнаруженный сегодня на приеме кариес, один зубик (шестерку) залечила сегодня, через неделю лечить будем единичку верхнюю (она сдвинулась назад и на боковой стороне возник кариес), за нее переживаю, а вдруг будет видно потом пломбу((( и не смогу улыбаться((( а залечить как раз надо сейчас, пока единицы неровно стоят и есть доступ к боковой поверхности. В общем, все равно я рада, что начала потихоньку путь к своей мечте!
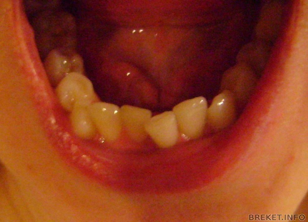
Выложила фото, прошу не пугаться сильно, вот с таким ужасом дожила до 25 лет
Орт сегодня озвучила план лечения, сначала ставим верх, самый кривой клык пока не трогаем, а расширяем зубной ряд. Спустя несколько месяцев удаляем 4-ки или 5-ки (я почему-то хочу избавиться от 4-рок), подключаем клык и двигаем клыки на их место. Параллельно ставим низ, без удаления. Брекеты будут безлигатурные, срок ношения - минимум 2 года.
Эх, скорей бы дождаться установки))))))) и хватило бы денег на все-все-все...
Комментарии
у вас зубки красивой формы, белые, когда снимете брекеты не узнаете, будет очень красиво! я уже даже представила))
а пока вам удачного старта и успешного лечения! вы молодец, что решились!
Форма зубиков действительно хорошая!))И изменения у вас быстро заметны будут))За месяц буквально влюбитесь в свою улыбку!)
всему свое время!Удачи вам,не переживайте, все будет красиво.мы вас всегда поддержим!интересно будет наблюдать за ходом вашего лечения!
Присоединяюсь к поздравлениям! Взрослому человеку всегда тяжелее пойти на такой шаг, потому что брекеты создают ряд неудобств в нашей жизни, но красивая улыбка и удаление по меньшей мере 1ого комплекса из наших огромных списков того стоят. 2 года пролетят незаметно, а ровные зубы будут с Вами всю оставшуюся жизнь)
Я чуть взрослее и тоже решилась;))) результаты отличные! Я довольна!!! У вас конечно очень очень очень кривые зубики, бывает же такое! Но через 8 месяцев будет идеальная улыбка:))) удачи!
Молодец!! очень правильное решение. присоединяюсь к форумчанам - очень скоро будут изменения в лучшую сторону. про пломбы пока не думайте - эстетику после брекетов сделаете. удачного лечения!)
Бурундучок, Natasha_Milasha, а мне в детстве говорили, что форма зубов - лопаты
, никогда не считала свои зубы красивыми, даже когда они когда-то были ровные (пока не начали лезть клыки)
Викундель, да, орт говорит, работы много, но все должно получиться!!! до голливуда конечно будет далеко. но хотя бы ровный зубной ряд это уже отлично.
Arina55, идеальная по плану должна быть через 10 мес-год, потому что через месяца 4 после установки удаление и только тогда будем опускать клык, а опускаться он будет примерно полгода. Орт сказала, чем медленнее, тем лучше, чтобы не оголилась шейка у клыка.
Plies, bluecassi, решилась-то я еще давно, с детства думала, вырасту - исправлю зубы, просто были постоянно какие-то препятствия, отсутствие денег, потом беременность, кормление. И наконец, взяла и пошла к врачу)))
марина борисовна, спасибо! я надеюсь, что сейчас возможно сделать пломбу, не отличимую внешне от зуба.
Мне тоже скоро 25, а я только устанавливаю( Жалею, что не в 18.. Но утешаю себя тем, что красивая улыбка лучше поздно, чем никогда!
Мне через 2 дня удаляют 4-ки( тоже клыки проблемные. Мне орт сказала, что они опустятся за 1,5-2 мес, хотя тоже сказала, что опускать будем осторожно.
А пломбы могут сделать так, что и незаметно будет, у меня вообще на 1-ке на прошлой неделе поставили, тоже сбоку был кариес, но сейчас уже ничего не заметно, хотя на фронтальную часть зуба пломба тоже заходит.
Удачи и терпения!
Мне 28, постоянно откладывала то по финансовым соображениям, то из-за комплексов, что с железками буду ходит...сейчас понимаю надо было давно решаться, вот все выбирают клиники, а я взяла узнала у коллеги где ставила, и пока решимость не пропала в этот же день заказала, чтобы не было обратного пути. Поздравляю с начинаиями, в нашем полку прибывает
seu, не переживайте по поводу единички. Мне вчера двойку залечили, она вышла на свет только благодаря брекетам, дырень ,я вам скажу, огроменная оказалась. Мне врач залечила так аккуратно, что только диву даюсь, как она там подлезла через дугу, потому как снимать дугу я отказалась сразу. Зубик белый и красивый) Так что не переживайте. Пломбы, как правило, не видны, за ними просто уход нужен будет, чтобы не потемнели)
fleurin, ИриЗка, спасибо, успокоили насчет единички (я иду ее лечить 30 ноября), просто смотрю на цвет пломбы на шестерке, которую ставили год назад в государственной поликлинике и ужасаюсь, какая она серо-желтая. Сейчас лечусь в частной клинике, по сервису небо и земля, а по качеству... со временем будет видно.
Лилек, спасибо!!! Решимости у меня хоть отбавляй, не боюсь трудностей, связанных с ношением БС!!!
seu
у меня тоже есть одна-единственная пломба из гос. поликлиники (мне было 12 лет и мне депульпировали 1-ку), она изнутри и тоже серо-желтая ужасная, да( буду ее переделывать ближе к снятию




Я тоже поздно решился. Самое главное,что вы решились.Представьте только какие вас ждут изменения.Я в этом году надеюсь успею поставить,готовлюсь,уже близко,в пятницу на повторную консультацию со снимками иду,посмотрим,что скажут.Удачи вам,всё будет супер