лечимся)
история в фото ![]()
До:
1 день ВЧ
первый день НЧ.
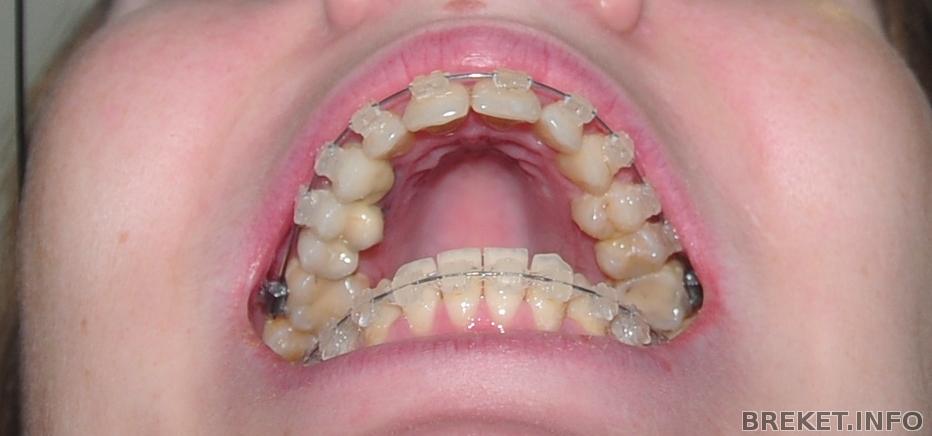
6,5 мес
7,5. кажется регресс)) фото сразу после сепарации нижних.
7,5 мес. фото сразу посре сепарации нижних
Комментарии
Спасибо
05.12.2013 - 21:50
история в фото ![]()
До:
1 день ВЧ
первый день НЧ.
6,5 мес
7,5. кажется регресс)) фото сразу после сепарации нижних.
7,5 мес. фото сразу посре сепарации нижних
Спасибо
Последние фотографии вообще замечательные!
Поздравляю с прогрессом!