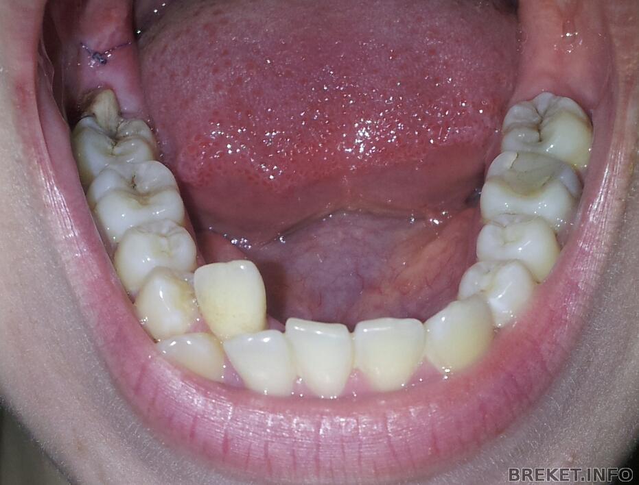
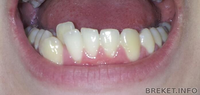
подскажите, кому-нибудь удаляли нижнюю правую двойку?
Сходила к ортодонту на обсуждение плана лечения,выяснилось, что у меня на удивление хорошая стыковка зубов, как сказала ортофея, что один из критериев это стыковка 6 ых зубов с нижними ( не помню с какими),и получается что в моем случае выгоднее будет удалить 2 ку и поставить клык в ряд, нежели тянуть двойку на место тем самым все зубы сместятся назад и стыковка нарушится и в последующем приведет к истиранию зубов,, вот и думаю если я удалю, то ведь и центра не будет, будет ли это заметно?хотя раньше, когда еще не вникала в подробности ортодонтии я и знать не знала что есть центры у зубов)и кстати мои лежачие восьмерки тоже внесли свю лепту в бедную нижнюю двоечку, вытолкали ее совсем далеко, ортофея говорит на снимке видно что есть воспаление но оно неактивное и если двигать двойку то воспаление может усилиться, и еще сказала что двойка почти нпа слизистой держится, хотя подвижности я не ощущаю,вот такие дела...
Комментарии
а мне кажется, что лучше послушать орта...
решать тебе, но без неё картина особо не испортится, а пока не укажешь пальчиком никто точно не заметит смещённого центра
смотря насколько тебя само осознавание отсутствия двойки "напрягает"..
я бы не стала на твоём месте двигать ВСЕ из-за 1 зубика и центра
пусть лучше немного хромает эстетика, чем страдают зубки
еще орт сказала что т.к там у двойки воспаление ,то если будем тянуть оно можешь усилиться и зуб приобретет подвижность большую,я конечно не врач и не знаю связано ли воспаление с дальнейшей подвижностью зуба
к другому орту ходила она говорит тоже либо двойку убирать либо 4 ку,но это было под вопросом
Что-то я не очень поняла про смыкание.
Ведь расшириться и ВЧ и НЧ от брекетов. то есть смыкание может придти в норму.
Что-то я прям не знаю. Походите еще по консультациям может быть.
У меня прям точно такая же ситиация как будто на свои зубы смотрю честное слово . Ходила к одному орту и он предложил удалить именно двойку которая во втором ряду так скажем . Честно я испугалась, она сразу сказала будет ассиметрия, а зачем мне это надо ведь я плачу деньги я хочу чтоб в итоге все было красиво. Хотя с другой стороны если никто не знает то не думаю что кто чего заметит у вас во рту.короче, убежала я от нее . Сейчас снизу на днях удалили две четверки будем эту двойку на место тянуть . Орт сказала что все будет красиво и что они крайне редо двойки удаляют . Конечно так быстрее лечение пойдет ,если двойку удалить , но я бы посоветовала вам сходить послушать другого врача, ведь нам очень важен результат
просто жалко две четверки убирать,и у нас ва городе только один спец-т,а чтоб к другому попасть нужно ехать в другой город 250 км, и получается каждый месяц придется ездить,ребенка оставлять и целый день в дороге,когда носила пластинку каждый месяц ездила, больше не хочу...а здесь на соседней улице))
Тогда доверьтесь врачу, в любом случае мне кажется вы уже сделали выбор
просто выбор невелик,видела подобные случаи, у девушки двойка была как у меня только она за единицей стояла,в два ряда получается, ей тоже удалили
Не обижайтесь ни в коем случае, но мне кажется вы попросту идете легким путем
возможно
Орты разные бывают)
Я вот больше 10 посещала, разное говорили, 6 из них удалять хотели)
После установки я не успокоилась и пошла через месяц к другому орту, который тоже начал говорить что брекеты стоят хорошо, но так дергал, что я думала он мне зубы выломает. Зарядил удаление и еще странные процедуры тут то я поняла, мой орт золотой! Не хочу идти никуда больше)
Да, это точно) мне другой ОРТ про вч говорит что возможно удалим единицу с последующим протезированием, я говорю так я с дыркой в процессе лечения буду ходить??? Все-таки же передний зуб, на что она ответила:"ой да никто не заметит на брекеты все внимание будет" и этим она сразу отбила все желание у меня
Лэйла , уже не первый раз удивляюсь тут: КАК орт может советовать удалить 2-ку? ну как?? на меня сейчас все врачи ругаются: у меня точь-в-точь так же было с клыком и двойкой (только слева), я была маленькая, глупая, дернули мне 2 ку...стало лучше? нет, клык "упал", уехала единица, про симметрию вообще молчу...оч жалею
сейчас надеюсь хотя бы брекетами все зубы в один ряд поставить:)
А вам предлагали другие зубы удалить вместо двойки?
Лэйла, честно, не помню! мне было лет 13, наверное, я носила на ВЧ пластинку, прикус исправляла, а на НЧ решили таким образом "выровнять" зубы, мол удалим 2ку, клык встанет на ее место, и все ок будет. Вроде, они тогда так думали. Бездари!!
А итог: уехала назад единичка, упал клык, центр сместился. Сейчас пытаемся хоть как-то это исправить... Я тогда ничего ведь и не понимала даже особо
и сайтов подобных не было, где можно спросить, посоветоваться
Gazieva, ничего себе история!
Panika, да, вот так, сама дала себе испортить нижний ряд
а на нч вам тоже пластинку ставили или удалили мол само выровняется?
Лэйла, нет, не ставили, само должно было все выровняться по их словам


К другому орту сходите. послушайте что скажут там...
могу сказать по себе: в начале лечения у меня одна из верхних единичек была ПОСЕРЕДИНЕ. 22 года я не замечала это ассиметрии абсолютно. но сейчас смотрю на фото и прямо бесит это. так вот вы всю свою жизнь БУДЕТЕ знать что у вас нет двойки.
Да и как и вообще я против удаления. я вместо того чтобы удалять зубы решила носить брекеты намного дольше и наоборот один ВСТАВИТЬ. и если уж совсем честно: я бы забила на шестерки но двойку бы оставила