Восьмеркиному новоселью быть!
Всем форумчанам вечерний привет!
Сетую постоянно, что нет катастрофически времени поболтать по душам... Но захожу регулярно, как в старые добрые времена и знаю все новости. ![]()
Хотела и я похвастаться моими сдвигами. Стаж приближается к двум годам ношения - так что я точно могу считаться ветераном!
Итак. Самая главная новость - займусь плагиатом - скажу типа как Паника - и наконец восьмерка переехала!
Осталось расстояние буквально в один- два миллиметра! Произойдет это со дня на день и это событие положит начало конца.
То есть весь последний год все силы были брошены на перетаскивание восьмерки. Остальными зубами тоже занимались, но не с таким рвением. Все внимание поглощала она, причина моих частых визитов к орту.
В ближайшие пару-тройку месяцев заниматься уже будем полным слиянием всех фрагментов на НЧ - их сейчас три.
Как-то сматывать по нескольку зубов стальным чейном и не за один раз будем.
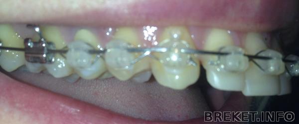
Прикус сейчас более- менее удобный. Раньше ВЧ натыкалась на выпирающий бугор 8-ки и неуютно во рту было. Сейчас прошло.
В остальном вот что: на выходных меня перемотали стальным чейном - два сегмента - спереди на ВЧ и слева - щели убираем и центр равняем.
На нижней - пока без перемен, как уже давно.
Ну и дикий совершенно вид сбоку - зубы реально вывернуты кнаружи, смотрится не айс, но я уже привыкла к промежуточным не айсовым результатам, так что терплю свою неэстетичность
Лисичек носить мне до конца лечения.
Еще была на чистке неделю назад. Гигиентист мучила меня чисткой в течение 40 минут, десна до сих пор болят-полоскаю..
Орт начал поговаривать о ретенционном периоде. Как бы хотелось до апреля снять все эти штуки. У меня чего-то вертится в голове срок 2 года 3 мес. После снятия обещал таки рассказать, почему он считает мой случай особым. Иногда он об этом вспоминает, но держит интригу.
Сустав продолжает хрустеть - ему все нипочем, что бы ни вязали или цепляли.
Вот такие дела мои.
Желаю всем приятных снов с доброй зубной феечкой!
Комментарии
Поздравляю!
Желаю дойти до победного конца как можно скорее!
Зубки действительно очень красивые
Поздравляю! Ветеранушка))
Поздравляю восьмерку с новосельем! как по мне, так такие "переезды" это самая нудная часть лечения. Дальше будет интересней и греет душу то, что до снятия не так уж далеко))
Девушки, спасибо за теплые пожелания! Еще раз пожалею, что времени так не хватает, чтобы тут подзависнуть часик - другой!
И посочувствовала бы, и утешила, и посоветовала что-то как бывалая! Буду очень стараться выделять все-таки время для общения с вами! Такого приятного
![]()
Panika, жизнь моя брекетоносная такая нескончаемая получилась из-за того, что орт сэкономил мою восьмерку. Под удаление были все восьмерки, но 7-ка с одной стороны на НЧ была мертвая - вот он и решил 7-ку под удаление пустить, а тянуть на ее место восьмерку. Nixe не даст соврать - процесс это медленный и нудный, это точно.
Но уже, как я написала, жду со дня на день, что коронковые части 6-ки и 8-ки таки коснутся наконец друг друга!
Вот на это и ушло 2 года+неправильный прикус. Сейчас есть еще и такой побочный эффект, как дыры между 2-ками и клыками, особенно слева - когда на 8-ке меняют чейн - вся связанная братия от клыка и до 6- ки едет к ней навстречу ![]()
А насчет терминологии - то да! Мне орт говорил как-то, что если бы пациентам давали дипломы - он бы мне его дал.
Это все из-за того, что, проведя 2 года на сайте, багаж знаний из области ортодонтии увеличился в разы.
Я вообще пришла к выводу, что я вполне могла бы быть хорошим ортодонтом.
Улыбашка, Xenia, спасибо за пожелания и комплименты - орт и я делаем все возможное, чтобы результат превзошел все самые смелые мои ожидания!
Nixe, как приятно увидеть тебя снова у меня в гостях! Как твои зубки? Здорово, что не забываешь нас, хоть и реже - я заметила. Буду очень рада, если останешься до моего снятия и будешь в числе тех, кто оценит мои результаты - думаю, это через 3- 4 месяца, не раньше.
ооо классно) мои поздравления!
cake_lime, спасибо, дорогая! Так приятно, что помните!
Ennelyne, спасибо!)) мои вроде хорошо, стоят ровненько, не расстаются с капами и ретейнерами, но это меня не напрягает) я действительно заглядываю редко, т.к. не хватает времени, но интереса не теряю, поэтому обязательно загляну на снятие!
И пусть оно поскорее случится!)
Nixe, сама такая же - дел миллион, двое курсов впридачу к пяти работам)))
Но стараюсь заглядывать сюда почаще - интересно так все обновилось, столько людей новых!Разных историй, свежеснятых и свежеодетых брекетов.... Статистика посещений просто зашкаливает! Прикольно так!
Ну и приятно, конечно, что целая веха моей жизни - уже больше двух лет с момента регистрации, на минуточку - прошла тут.
И не надоедает! Сама удивляюсь ![]()
Заходи на огонек при случае! ![]()
Ну и через время порадуй новыми фотками нашей красавицы-русалки








Привет))) поздравляю с новосельем!
Смотрю исходники ваши и понимаю: то ли я ленивая попа без стремления к перфекту то ли... на этом мысль обрывается.
Опять же причину можно найти в том что я не ортодонт)) Но хоть убейте, два года ведь. чего так долго то? Зубки у вас такой формы хорошей и стояли вроде не сильно криво. вот ведь парадокс.
Ну я собственно ветеранов люблю, и желаю все-таки уже наконец распрощаться с железяками. Т.к. ваш язык повествования начинает обретать оттенки профессионального: "...перемотали стальным чейном - два сегмента - спереди на ВЧ и слева - щели убираем и центр равняем...", - опять же может меня глючит уже.