Коллажики с зубками :) Третья запись.
Наконец-то и я смогу вам показать свои текущие результаты!
))
Верхняя челюсть. Двойка вылазит понемногу из глубины челюсти, а клыки опускаются!
Интересно, когда повернется другая двойка?)
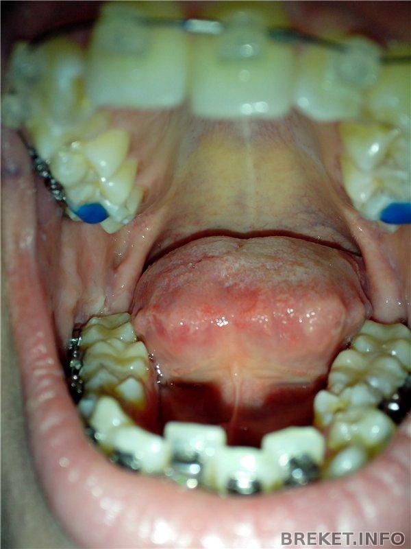
Нижняя челюсть.
Фотки только такие, забыла что-то более подробное сделать фото!
Чтобы поставить брекеты на нижнюю челюсть, мне надо было поднять прикус.
Вот коллаж для сравнения (на первой фотке видно, как адово у меня сохли губы в первые 2 месяца. Это было просто нечто, ничего не помогало!)
А вот что значит "поднять прикус": залепить материал, из которого ставят пломбы на нужные врачу верхние зубы - у меня это шестерки. Синим цветом, чтобы они потом не забыли его убрать оттуда ![]()
Народ, как вам прогресс? Особенно я шокирована НЧ! За 16 дней БС уже ТАКОЙ результат!
Все передние зубки встали в ровный ряд практически....
Комментарии
Круто получается, зубки отличники



очень здорово!!!)) НЧ это конечно супер, такой результат меньше, чем за три недели!)) та и ВЧ радует)) я вас поздравляю с успехами))
мне кажется, верхние зубки у нас похожи , клык особенно и двоечки немного) смотря на ваш результат за 2 месяца и у меня надежда созревает на такой прогресс))
у меня теперь тоже губы сохнут жутко... До установки БС, я имела привычку "обдирать" свои временами сухие губы... теперь, это просто рай для меня) ахахах)) но стараюсь отучить себя от это плохой привычки, т.к. губы потом все в ранах будут((