Ни о чем или неделя проведенная в БС)
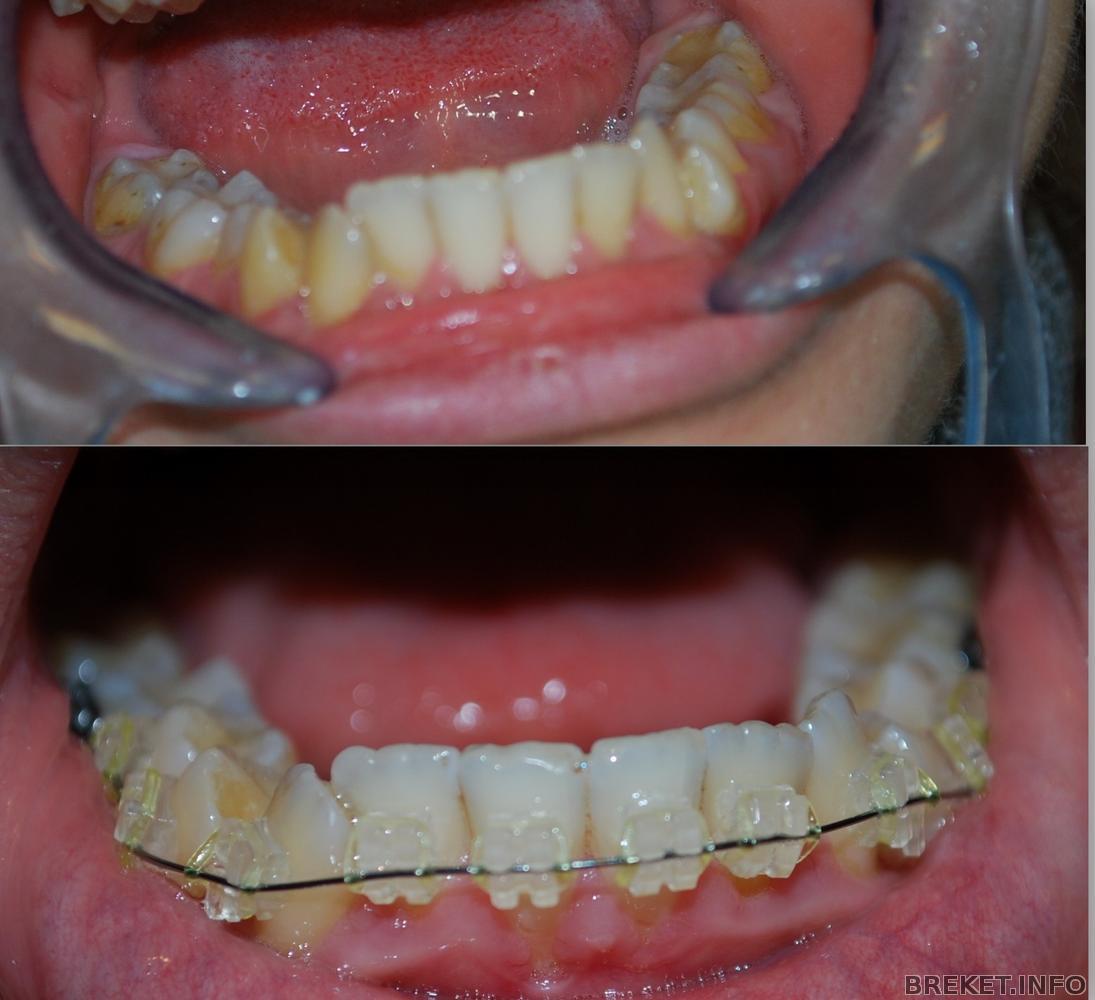
Вообщем прошла неделя. По поводу результатов, не особо, естественно) То ли центр не много сдвинулся, то ли это мозг у меня уже сдвинулся. ![]()
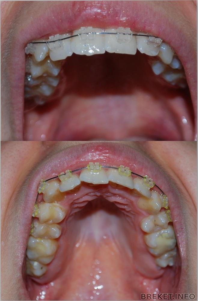
Можно было и не писать ничего, ноооо есть пару моментов, которые меня волнуют. Пересмотрела очень много фотографий, но ни у кого (из просмотренного, по крайней мере) не нашла таких печальных зубов на НЧ, как у меня…В большинстве случаев зубки стоят как бы в шахматном порядке и за пару месяцев хорошенько ровняются)) У меня слева 4ый, а справа 3ий и 4ый просто лежат на боку. И все б ниче, но места, куда им ровняться не вижу. Я не стоматолог конечно, но на НЧ места реально нет. Восьмерок у меня еще нет и места им тоже совершенно не предвидится… Напрашивается вопрос: почему мне не удалили хоть какие-то зубы на НЧ, чтоб освободить место? Не то чтобы я мечтала повырывать себе зубы, но будет вообще прикол, если я через месяц пойду на прием и моего врача осенит идея удалить что-то) это что ж будет выходить, что месяц я зря отношу БС на НЧ? Не понятно(
А еще когда смотрела фотки, обнаружила у себя несколько зубов с кариесом. Неприятная неожиданность((
Лигатурки (надеюсь я правильно назвала резиночки вокруг брекета) пожелтели от моего морковногоо пюре))))
По поводу фоток и коллажей: такие же кривые, как мои зубы)) понятия не имею как самой сфоткать нормально свои зубы, а мужу лень переделывать пока меня все не устроит) вот и выходят фотографии разные какие-то, с разных ракурсов что ли) А коллажи, вообще отдельная история))) не могу понять, как их делать. Тыкаю туда-сюда, что-то да выходит…)
п.с. иду сегодня ночью в кино и ожидается мой первый опыт поедания попкорна в брекетах. Надеюсь, у меня получится его рассасывать))
Комментарии
Алхимик, да, конечно рано, но я пока на том этапе, когда часто заглядываю к себе в рот в надежде увидеть что-нибудь хорошенькое) но, к счастью, такая мания проходит по чуть-чуть, с каждым днем все меньше и меньше терроризирую зеркало))
а вам ничего не удаляли на НЧ?
Кроме лежачих восьмёрок - ничего не удаляли.
Марточка, хочется тебя по попе похлопать за твое настроение. ![]()
Во первых зубик клык опустился, во вторых центр стал ровнее, а третье ты метиор))) ![]()
За неделю хочешь результаты. ![]()
Как я уже говорила у меня 4,5 на нч лежали как у тебя, только на 5 месяц вытянулись, скоро 8 месяц закончится, а на нч еще полный бардак.
Не спеши ничего удалять) Все будет хорошо)
Радуйся, что тебе не надо удалять на НЧ. У меня все наоборот. Я дико боюсь, что придется удалять, кроме 8, еще 4ки.
Хотя у меня на НЧ что-то похожее... правда завален только один зуб.
Но у меня вопрос об удалении стоял так же по причине перекрестного прикуса.
А на ВЧ у нас все ну очень похоже в данный момент. Только у меня с клыком было похуже. А за месяц он опустился прилично.
Улыбашка, хочется что-то увидеть, меня это таааак вдохновляет!!!))) где-то на 4 день увидела щель между 1ым и 2ым слева на ВЧ, так моей радости не было предела)))
буду довольствоваться тем, что центр ровняется) пусть меня это греет))
спасибо тебе за поддержку))) ![]()
Katusha_xD, клыки это да, распространенная ситуация
Martinss, понимаю ваши волнения у меня на вч тоже по моему места нет, куда зубьям двигаться. И ни каких движений за 16 дней вообще нет. Тоже голову ломаю, что там орт скажет (очень жалко удалять четверки). Да и сама орт больше переживает как потом эти дыры закрывать. Ну как схожу на прием, сразу напишу про дальнейший план лечения. Удачи и терпения! А на ВЧ у вас зубки молодцы!
julenka-r, спасибо вам))
действительно, хочешь-не хочешь, а начинаешь переживать, когда неясности какие-то появляются. И когда зубы стоят на месте, а вроде пора начинать двигаться.
Удачи вам на будущем приеме, обязательно отпишитесь, как там дела обстоят!
Настраивайтесь на хорошее, тем более небольшие положительные изменения уже есть - центр стал равняться))
У меня внизу зубы в разные стороны, особенно по центру, клык завалился. И плюс еще 5-ка сидит в десне.
Пока сказали удалять ретинированные 8-ки. Тоже не очень понимаю, откуда возьмется столько места
"рассасывать попкорн"
![]()
потом поделитесь опытом, пож
Мята, вот-вот!))
Жаворонок, докладываю: рассасывание попкорна прошло успешно)) т.к. жевать мои зубы не могут (не знаю почему, не болят уже, может из-за надкусочных пломб
) приходится как-то выходить из ситуации. Попкорн отлично рассасывается, при этом всякие твердые частицы, которые в нем попадаются, очень хорошо чувствуются и снижается вероятность повредить брекет) удовольствия от такого способа поедания попкорна не намного меньше, чем от активного жевания, как по мне)




Martinss, через неделю ещё рано говорить о результатах
Но они обязательно будут!
На НЧ у меня тоже клычок завален был (это, кстати, я поняла только когда увидела фото до и после) - всё прекрасно поднимается и исправляется
Удачи с попкорном