Итоги на 21 декабря и что я поняла
Решила подвести итоги пока появилась свободная минутка между сдачей зачетов и приготовлениями к новому году ![]()
На самом деле позитивного мало, нервы-нервы ![]()
Ходила 13.12 к парадонтологу по окончании первой части курса реминирализирующего геля рокс...в целом, она сказала, что процесс борьбы пошел, но и расстроить она меня смогла
из-за бс ухудшилась гигиена и на задней части нижних зубов образовался плохо вычищающийся налёт
жалко нет плачущего смайлика, а то я б его вставила... она меня еще спросила "курите?" я чуть с кресла не бухнулась! никогда не курила!!
в общем я скорее больше огорчилась, чем обрадовалась за тот приём
мне даже сон приснился день спустя! что я у нее на приёме а она недоверчиво так раз 5 спрашивает меня не курю ли я!! я проснулась в холодном поту ![]()
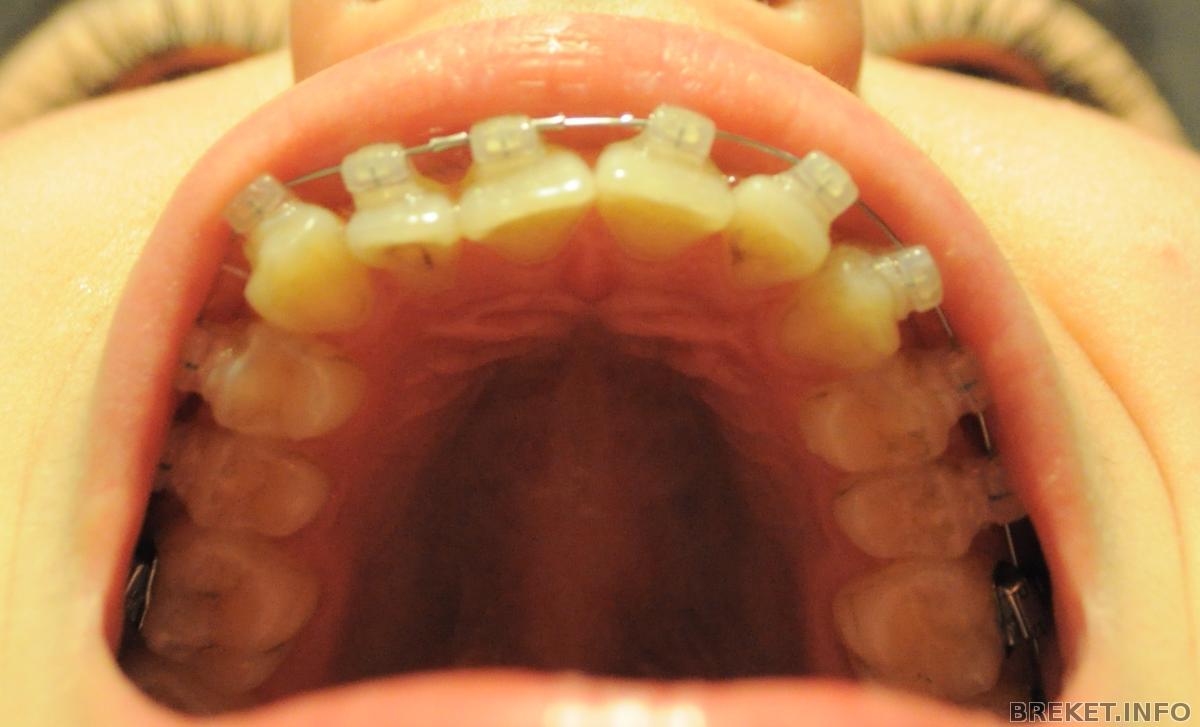
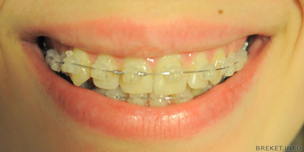
А 18.12 ходила на прием к орту, поменяли кнопку на верхнем клыке на замочек
он, конечно же, сильно мешается, губа за него заворачивается, когда после улыбки рот закрываешь
но ничего) я рада
орт сказала, что клык хорошо опускается, но я ей как всегда не верю ![]()
С налётом на задней части нижних зубов борюсь с помощью щётки более, чем активно
Сегодня пришла в голову идея...надо на новый замок на верхнем клыке повесить ёлочную игрушку шарик
Хотя честно говоря грустно
P.S. совсем забыла сказать, надкусочные пломбы для размыкания сооовсеееем стерлись еще недели две назад...но орт сказала, если замки не сбиваю, значит пока всё норм
Комментарии
Попробуйте монопучковой щеткой, мне помогает, круговыми движениями на внутренней стороне каждого зуба
У меня тоже такая проблема. Встань перед зеркалом и почисть зубы как ты обычно чистишь и увидишь (по крайней мере у меня так было) что некоторорые места вообще остаются без внимания. До установки брекетов почистил у стоматолога зубы, врач сказала ,что естественно, из-за курения,неправильной чистки,а также налёт может быть из-за специфической слюны
Марина Борисовна, нет, не стоят)
Клио, спасибо, попробую)
Андрей З, у меня НИКОГДА такого не было... просто сейчас из-за бс такое происходит
а еще парадонтолог мне сказала, что пришеечный кариес возникает из-за стресса и перенапряжения сильного, а это как раз моя история) сказала больше спать, есть и пить поливитаминов)
А еще у меня сегодня произошла авария - отклеился замок на нижней семерке, когда ела шоколадку
хорошо хоть не проглотила
шоколад такой продукт, может быть мягче хлеба, а подмёрзнет- тверже орехов.
у меня была мягкая шоколадка
по-моему, зубки очень даже отлично двигаются!!! и у тебя все отлично)))
у меня вот сейчас напор тоже как-то спал((( настолько ухудшился прикус, что жесть.... думали исправить трейнером вместо БС на нижней челюсти, хотя вот даже сейчас не знаю, удастся или нет((( так неохота еще 13 тысяч отваливать((( я себе хотела на них цифровое пианино.... Т____Т
Двигаются то да) верхние) нижние в ступоре)) а еще орт сказала, что клык, который опускается острее и больше того, что нормально стоит
не хотелось бы его спиливать
ууу, дааа, незапланированные расходы это отстой
могу пожелать только удачи и избежать нежеланных расходов на нч)) надо в новогоднюю ночь загадать это
ох, да, насчет клыка печалька((( у меня вот тоже двойка, которая кривее была, опустилась и она кажется больше той, которая нормально стояла((((
да, действительно! загадать в новогоднюю ночь это вариант))) а я-то хотела себе любви загадать :DDD



а на двоечках потемневших случайно пломбы не стоят? у дочки на еденичке депульпированной тоже темнеет внутренняя сторона((