5 месяцев. идиллия: я и брекеты))
Привет,дорогие друзья) ![]()
В последнее время очень занята(сессия все дела), так что некогда было написать, как прошел недавний прием к орту.
Особо сказать нечего.
Вроде все идет как бы хорошо...Как бы то ни было ,когда я спросила у ортшы ,виден ли прогресс, она сказала: "У тебя все отлично"... ![]()
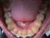
Правда,сейчас на ВЧ начал образовываться промежуток между единичками (на фото заметно уже). Я вообще никогда не думала, что у меня когда-нибудь будет щель между передними зубами, но это процесс лечения. У меня просто Вч не симметрична,поэтому сейчас основной упор на выравнивание центра
. Приходиться мириться с этим переходным положением зубов... ![]()
Еще на приеме я пожаловалась ортше,что на нч "забор" никак не может выровняться. Пожаловалась! ортша сказала,что всё выровняется и поставила железную лигатуру на "упрямый " зуб, не желающий уступить место соседу. В этот же день , часа через 3-4 , смотрю в зеркало и не верю: все стали ровно в ряд!
Счастью не было предела.
Хоть эти 4 передних зуба на нч ещё не ровно стоят, но по крайней мере забора явного нет. УРА!
Вообщем выкладываю фото ,судите сами....
Всех с наступающими праздниками! ![]()
Пусть Новый год принесет вам блистательные улыбки и океан позитивных эмоции!!!
Комментарии
Спасибочки)
я специально к лигатурам лак подбираю, продавщицы в магазинах косметики на меня косятся,когда я или с зеркалом или с подругой ищу подходящий лак.... ![]()
везде есть свои плюсы, даже с железом во рту можно поднять себе настройчик)
Не расстраивайтесь, Xenia, .
У вас тоже удивительный результат на данный момент, и ,возможно, благодаря тому что стоят именно метал.лигатуры)




Как тебя все здорово, лигатуры к маникюру!
У меня ни когда зубы не двигались за день) Хотя ношу металл.лигатуры...ЭХ))) а мне б цветных