Приемчик+ОПТГ
Всем привет)
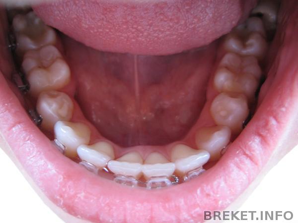
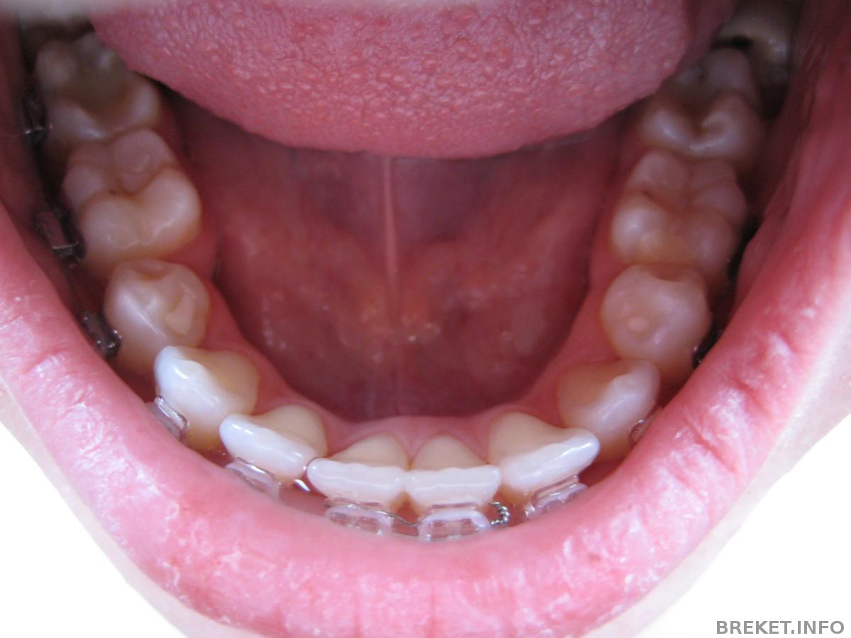
Была на приеме. Поменяли лигатурки, поставила прозрачные вместо розовых) Зубки выглядят по-другому сразу.
Между 1-ми на НЧ была щель, завязали это дело проволочкой, щель моментально испарилась, но появилась щель между 1-ей и 2-ой((( Буду снова "дырявая ходить" ![]()
На ВЧ одели чейн почти на всю челюсть, потому что с одной стороны тоже небольшой промежуточек есть.
Вобще орта сказала, что закрывать все будем перед самим снятием и закреплять ретейнерами и пластинками.
Про ретейнеры: на НЧ обязательно надо несъемник и съемный, на ВЧ до конца не поняла. Один надо обязательно, вроде бы несъемник, но я для подстраховки, наверное, закажу оба. Еще про НЧ она сказала, что там, где удаляли зубки, чтобы не разъехалось (а щель появилась с проблемной стороны снова после снятия чейна((((( печальбеда, а не промежуток), тоже как-то закрепит. Вроде бы капнет этим составом. Вобщем гадать не буду, на снятии все будет понятно.
Тягу с одной стороны отменили, ибо перетянули уже, будет разбегаться теперь само, с другой стороны и для центра продолжаем носить.
С функциональной частью мы закончили и в принципе можно уже просто стянуть все зубы, чтобы убрать щели и снимать (это радует конечно). НО теперь будем работать над "красотой", т.е. над тем, что НЕ нравится лично МНЕ. Радостно, что орта не настаивает на снятии и дает время поработать над эстетикой, чтобы мы не жалели о снятии.
Попросила еще сфоткать старый ОПТГ (Ennelyne, Натали, специально для тебя, ты просила) и направление на новый, сегодня сделала. Думала, что все будет получше
Сегодня Panika писала про параллельность дуг..у меня ее даже а помине нет!
Следующий прием через 2 недели
Теперь будем чаще видеться, ловить момент, когда будет все ровно и СНИМАААААААААТЬ
Если что-то где-то поедет, поползет и прочее, бегом к орту! НЕ ВЕРЮ, товариСЧи
Комментарии
Алхимик, спасибо)
8-ки на НЧ нужно будет удалять, особенно левую! Она еще и с кариесом. Орта сегодня сказала в очередной раз, что она ей очень не нравится. Удалять будем планово, предварительно подготовившись.
какие зубы клевые! жемчужинки!
Сашуля, спасибо
Зубы то какие красивые!
Просто вах - вах!!!!!!
Xenia, спасибо большоооое))))
Саша, результат супер просто! Очень все красиво!
Насчет восьмерок - они у тебя не вылезли? Удалять будешь после снятия?
Ferrera, спасибо)))
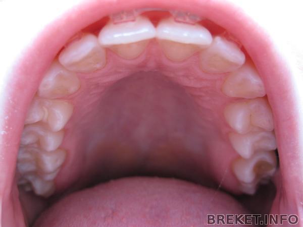
8-ки вылезли на НЧ, но они наклонены, а на ВЧ одна вылезла (справа на снимке, она немного опустилась), в другая еще нет, но по ОПТГ видно, что она тоже опустилась немного








По-моему, красота и супер-ровно всё )))
А восьмёрки удалять не планируется? Левая как-то совсем нехорошо лежит...