Резинки кролики
Итак, небольшой отчет.
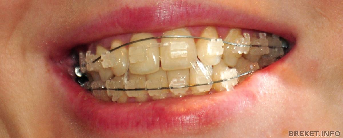
После сепарации нижние встали на место, перестали торчать вперед. Чейн сегодня снят. Однако появилась щель в прикусе снова. Теперь задвигаем торчащие вперед верхние единички). Дугу странно наверх загнули что бы не мешалась..)) Ощущения от резиночек конечно крутые.. сказано было носить ночью. но пока ситуация позволяет решила лучше буду носить пока днем, а ночью спать спокойно... И похоже я права, ношу первый день и вряд ли бы я заснула с ними.
Интересно, а если носить их круглосуточно, то это ускорит процесс или навредит только?
далее все в картинках ![]()
ну и конечно же, для поднятия настроения фотка ДО))
Комментарии
Ого, вот это результат!!!
А почему дуга на ВЧ так необычно стоит?
Waterfall, орт приняла решение временно дугу с верхних четырех снять, что бы не мешала зубы вниз заводить резинками. и поэтому так её подняла. по другому что-то её никак не устраивало. шнуровала на приеме мой рот наверное 4-5 разными способами, но все не то... а я сидела и офигевала от новых ощущений))
так а что у вас там? ато плохо видно, опишите схему, пойду тоже себе нацеплю
- всё нашла..иду попробую))))
Железячка, успехов))))


зубы едууут
уже щель заметно меньше стала, после 6 часов носки