прошло почти 3 месяца
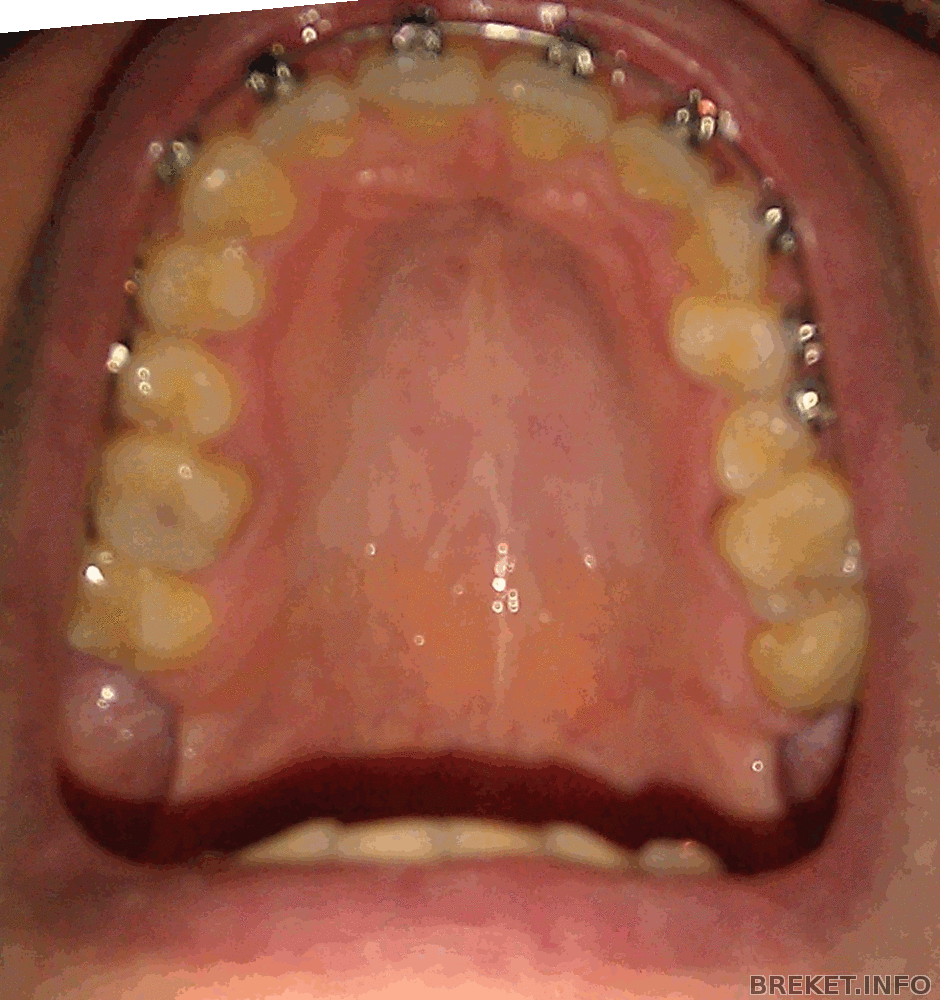
незаметно подхожу к отметке 3 месяца. субъективно изменения казались только в разворачивающемся зубике, но вот сделал фото ВЧ и изменения то оказываются ого-го.
было два месяца назад:
а стало сейчас:
зубной ряд немного выровнялся. зубки 4-5 правда разворачиваются неохотно, но я особых иллюзий не питаю, морально готовлюсь к тому, что их разворачивать еще до полугода.
p.s.: никогда не думал, что у меня такие кратеры на месте отсутствующих восьмерок. это при том, что не помню, чтобы мне когда либо удаляли восьмерки, может быть их и не было никогда на ВЧ?
Комментарии
Хороший результат! Потихоньку все становится на нужные места)
Вау!!! как классненько! и без домкрата уже обходитесь!))) поздравляю!!! а что с верхом?
Хорошо! Только как-то не четко сфоткана ВЧ. Для истории можно было и постараться)))))
просто в этот раз все та же система зеркал была, только в другом порядке ) что-нибудь придумаю в следующий раз )
как на аве попробуй рот разинуть))) все получится)
не дай Бог, меня бы кто- нить сфотал, как я фотаю, я б убила за такую фотографию!))))
Ksen Юмористка
![]()
Разявить рот как на аве)))))))))))))))) хороший совет!



Классный результат! Поздравляю))) Может эти кратеры просто строение челюсти?) Думаю, что если б удаляли 8ки, Вы бы запомнили весь спектр ощущений)