Скрип зубов во сне)
Всем привет!) Вот не спится, хочу задать вопрос, может у кого было...
Вообщем после установки брекетов заметил такую вещь, которая немного меня беспокоет. Во-первых я постоянно сам не замечая того, стискиваю челюсти, при этом ощущая зубами на НЧ что они не совпадают с верхними, т.к. они выпрямляются, и уже находятся далеко не в том положении как были раньше.. А уже несколько раз я утром просыпался от скрежета!) Скрежета моих зубов... Я во сне начинаю сильно стискивать зубы, перетирая друг об друга, что аж от скрежета я сам просыпаюсь)) У кого такое было? почему так. может кто подскажет?
Кстати сегодня был у своей ортофеи на приеме, поменяла она мне проволоку на лигатурные тяги) Поставила как с внешней стороны, так и с внутренней) Днем зуб болел, сейчас чучуть только, когда сильно давишь на зуб... Но хочу сказать что за сегодня моя пятерочка сдвинулась уже на пол 0,5мм наверное) И промежуток единички и троечки еще больше стал!) Не на много, но прогресс есть) Следующий прием 4 февраля, будем дугу менять! Только незнаю на какую...
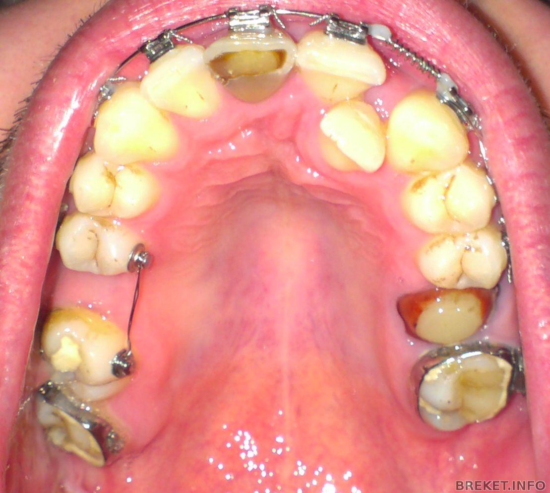
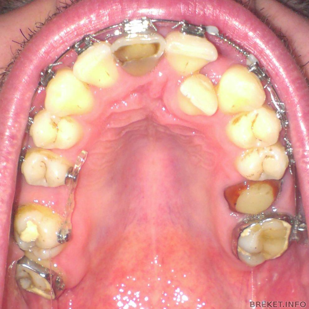
Хочу сделать чистку зубов, т.к. есть налет небольшой, на фото даже видно, и врач сказал что на ВЧ желательно все фиссуры почистить, и сделать менее выраженными, т.е. не такими глубокими, заполнив их пломбами.. Чтоб они лучше при чистке зубов прочищались) Думаю не плохая идея) Но из-за кнопочек пока нельзя делать чистку, так что как только, так сразу.
В день установки тяги 23.01.14 (вечером).
Комментарии
После установки БС я тоже заметила, но не скрежет, а резкое смыкание, довольно сильное, ВЧ и НЧ, аж стук слышно и зубы расшатанные в этот момент сдвигаются... Брррр ужас, короче. Раньше за собой такого не замечала.
Тоже не скриплю, но очень сильно стискиваю челюсти, уже стерла надкусочные пломбы наполовину (может больше), аж за зубы свои страшно)
Мне почему то кажется что это неосознанное желание свести челюсти так как было, а вот не получается.. Днем себя контролируем, а ночью получается то, что получается)
Можно сходить к неврологу, он пропишет лекарство расслабляющее мышцы, будет полегче. Единичка у Вас депульпированная?
Ааа, видимо не я один такой слава богу. Вот тоже самое, когда зубы шатались, у меня некоторые даже возвращались на прежнее место как будто.
марина борисовна, Да, уже лет 10 как.. Он у меня отломанный! Сказали что после БС коронку сделают.
А у орта не спрашивали чего так?
Я вот тоже за собой замечала,что был период,когда я ночью сильно смыкала зубы,но потом как-то само прошло....Зубы изменили положение,проблема ушла.Видимо все дело в прикусе.
Может вам надкусочные пломбы нужны,чтоб разобщить прикус? А то если зубы обратно возвращаются-значит другие мешают,а пломбы сделают их в свободном полете (до конца челюсть не будет смыкаться) и они без препятствий будут двигаться куда надо)
А вообще скрежет зубами-это бруксизмом называется,может переживаете сильно начали,стресс,невроз-не?)
А как вам с кнопками?В язык не давят? Мне они первое время жить спокойно не давали,натирали так.
Helen_Mart, Спрашивал! Она сказала мне название это болезни! ПОмоему да, бруксизм какой то.. Но она сказада что возможно это из-за брекетов, и вообще что я ее не пугал!) а то я начал там, что типа зубы рассталкиваю и т.д.) Возможно и стресс, может нервы... незнаю... Но сейчас уже легче! первые 2 месяца я даже когда не спал, автоматически стискивал челюсти, пытаясь сомкнуть до конца зубы, но они не давали потому что уже не совпадали как раньше.. А во сне я видимо давал волю своим инстинктам. Пока надкусочные не нужны сказала, но скоро поставит! чтоб задним зубом не перетерал эмаль когда его в ряд будет выталкивать.
Да вы что) Кнопки весь язык разодрали.. благо я о воске вспомнил) у меня его полно) Хорошо недолго мне так ходить пришлось. Была проволока, вчера поставили лигатурную тягу, и она смягчает края кнопок, и сейчас все хорошо и без воска
думаю, зубкам тяжело в течении дня ходить не сомкнутыми, вот так они и пытаются "отдохнуть".
у меня было такое, когда постали ВЧ, со временем прошло. недавно поставили НЧ и опять началось! но я т уже знаю, что это временно))) как совпадут все пазлики, всё пройдет. не переживай, красавчик!))))
ksen, ммм, спасибо за комплимент!) Ну раз у всех брекетоносцев было такое, то переживать незачем!) Да и вроде пока все прошло.
Vitaliyy,может это еще и мышечная память,мышцы "играются" так,хотят в обратное положение). Но я думаю,что это все временно и пройдет.У меня, по крайней мере, прошло)
Вот-вот,я тоже воском спасалась,а вот недавно сняли все кнопки,так челюсть такой широкой кажется теперь,ничего не мешает,аж непривычно как-то
Helen_Mart, я вот тоже жду не дождусь когда кнопки снимут) Когда зуб в ряд встанет со всеми) его так не хватает мне) Я с детства мечтаю чтоб его небыло там) Я сейчас вспоминаю со страхом, как я в 16 лет ходил с отцом к стоматологу чтоб его удалить просто чтоб не мешал. и улыбаться можно было спокойно!) Но врач отказался его удалять! ПРосто потому что он здоров, и сказала что пожалеете что удалили потом... Идите с ортодонтом консультируйтесь, если он скажет удалять! удалю... слава богу что все так вышло
Мне орт объясняла, что при брекетах бруксизм появляется именно из-за желания зубов вернуть привычное положение. Говорила, что даже неудачно поставленая пломба может вызвать бруксизм, что уж говорить о такой вещи на зубах как брекеты. Если у Вас раньше с этим проблем не было, то со временем пройдет. Можно попить к примеру персен. Еще советуют лавандовое масло на ночь или на подушку капать (я рядом в кроватью ставлю просто открытый флакончик). Лаванда расслабляет. Еще помогает расслабить мышци простой массаж сустава. Обязательно контролировать положение зубов днем, как говорят "Губы вместе, зубы врознь". Это все должно помочь. У меня бруксизм с детства, когда поставили БС было просто невыносимо. Все эти приемчики помогли, стало немного легче. Как сказала мой орт, что если бруксизм от брекетов, то пройдет со временем. Мне так не повезет. Эх...
Kristisha, Хорошо, спасибо за совет! Надо попробовать с ловандой если опять начнется!) Последние недели 2 вроде не замечал, надеюсь проходит как раз. А раньше такого никогда небыло, только у отца всю жизнь так.



У меня такая же проблема. Настолько не приятно просыпаться ночью от этого скрипа зубов. Раньше до брекетов такого не было. Надоело уже.