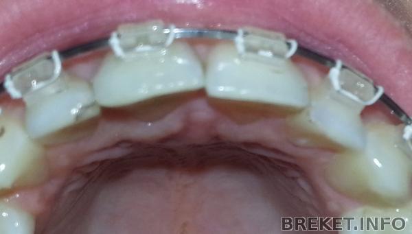
Металлические лигатуры
В среду был плановый прием у орта. Попросила у нее цветные лигатуры на ВЧ. Она ответила: "Конечно!"
И тут я ляпнула, что мне надоело ходить с желтыми "прозрачными" лигатурками, на что та ответила, что поставит мне не цветные, а металлические ![]()
Выглядит это так:
Сначала расстроилась, потому что была настроена на цветные уже. А теперь мне и металлические нравятся! И главное, не страшно пить чай и кофе
И еще, теперь и на ВЧ, и на НЧ квадратные дуги
До тяг уже недалеко! След. прием в марте, думаю, начнем исправлять мой кОшмарный прикус, а потом продолжим вытягивать завалившиеся пятерки на НЧ, которым пока что нет места.
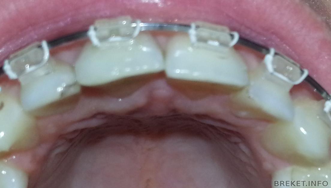
А пока что перекошенная НЧ меня немного пугает.
И передние зубы!!! Как будто один короче другого!
Хотя они как-то и неравно стоят, если снизу смотреть...
![]()
Высказалась!
P.S. Сходила на гигиену. Осталась разочарована пипец как! Больше именно к этому врачу не пойду.
Комментарии
Жена, у меня на НЧ обе пятерки завалены и не подключены к БС ![]()
Я не знаю айр флоу или нет, но даже сейчас на фотках видно, что под брекетами (где тонна клея), налет остался! Зубные камни на заваленных пятерках - вообще ахтунг! Домой пришла, разглядела, и расстроилась от всей этой фигни...
Как класно смотрятся голубые ![]()
Посмотрела на Ваши 5-ки, у меня тоже самое, только на ВЧ, тоже за них очень переживаю.. как бы все не затянулось
А Вы без удаления обошлись?
нормально, даже симпатично
у меня вообще никто ничего не спрашивает
вечно ставит какие-то некрасивые металлические какашки в рот
Watson, да, я обошлась без удаления (хотя изначально планировали 4 зуба удалять), но меня сразу предупредили, что без удаления будет дольше.
Сама тащусь от голубых лигатур. Уже 3-ий раз подряд ставлю именно такие)
Jack.Era, а ты сама попроси у орта) Моя тоже особо передо мной не распинается, а я вот и стеснялась по поводу ВЧ говорить с ней, а в этот раз решилась)




Металлические лигатуры хороши)) Я тоже за них! У меня они на НЧ стоят. Тож мечтаю о квадратной дуге, но мне пока не светит - пятерка завалена на нч.. А что с гигиеной не так? просто я делала айр-флоу и осталась не довольна, что чистили что нет...