Снятие, ретейнеры + качественные фото
Решила все таки расписать подробно как все было. Может кому-нибудь будет интересно почитать )
Мой приём был назначен на 12:30 и где-то в 11 часов мне позвонили из клиники ,сказали что я могу приехать к 12 ,мол работы со мной много
На снятие мы поехали с мамой . Приехали ровно в 12 и администратор нам сказала посидеть подождать немного. И вот уже 12 30 , она к нам подходит и начинает объяснять почему мы так долго ждём. Там какая-то девчонка приехала экстренно снять брекеты
ей там больно очень было ,болело в общем я не поняла что ей там болело сказали в общем ,что организм по-разному может среагировать на брекеты. А я первый раз о таком слышала
Обидно блин
Пригласили меня в кабинет , моей орты не было, но для меня это не было сюрпризом,так как меня за день до этого предупредили что её не будет
Но орт мне объяснила ,что снимает брекеты терапевт ,ретейнеры клеит тоже он и реставрацию и подпиливание сделает терапевт. Ну и ладно it's OK ![]()
Я быстренько схватила листик с вот этой фотографией
мол делайте мне такую форму. Она на меня посмотрела огромными глазами и говорит :" И вот ТАК ты хочешь чтоб у тебя зубы выглядели ?!?
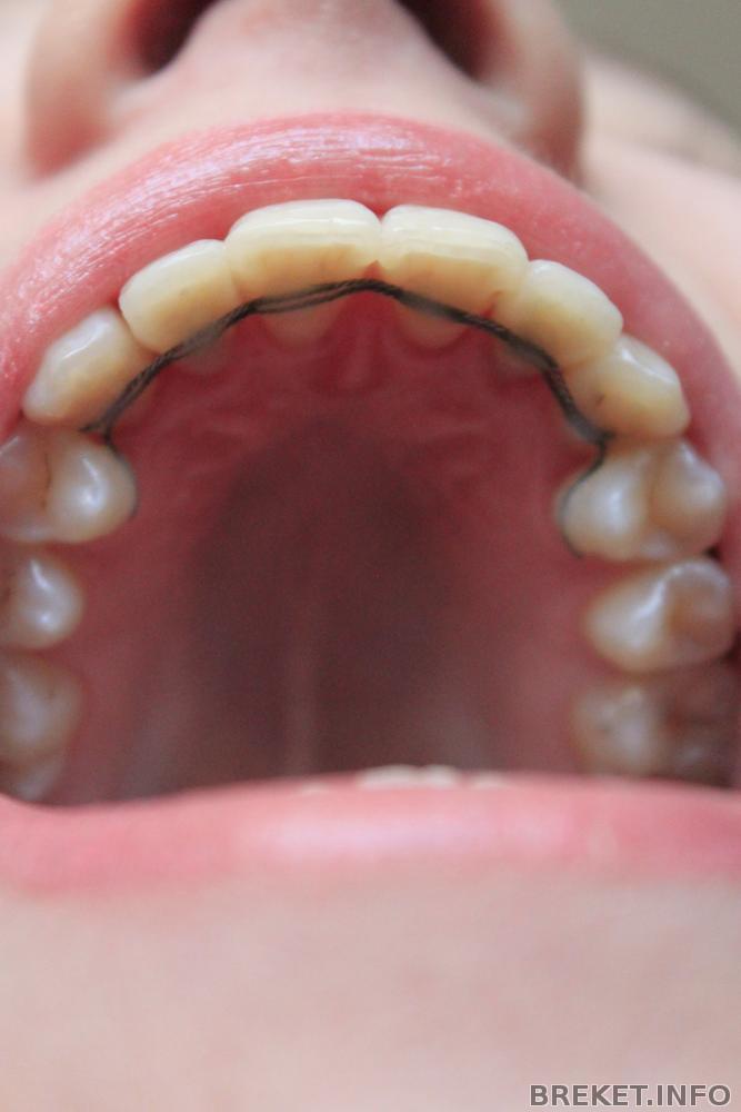
Самое долгое -это клеить ретейнеры. Мне их клеили около часа,тяжело было сидеть столько с разинутым ртом,когда тебе постоянно ещё говорят ШИРЕ, ОТКРОЙТЕ ШИРЕ
Далее само снятие. Не знаю ,как так вышло ,но я вообще не почувствовала ни боли ,ни даже дискомфорта. Все тут писали мол больно очень и такое чувство что брекеты вместе с зубами отрывают. Я готова была к адской боли, а тут тык-тык-хрусь и все ,я без брекетов.
Когда мне позволили все же заакрыть рот это был ужас ) ощущения такие как будто реально вставная челюсть.
потом подпиливание ,шлифовка,полировка и прочая косметика ; )
когда мне подпиливали единицы ,я просто была готова выть от боли, но я сидела молча и терпела,повторяя про себя одну фразу много раз: " мне подпиливают единицы,это все для красоты,это все для красоты,это все для красоты".
Когда мне дали зеркало я чуть в обморок не упала))) Ну примерно такие же ощущения когда я увидела первый раз себя в брекетах. Зубы такие КОНСКИЕ.БОЛЬШИЕ,ГЛАДКИЕ,РОВНЫЕ. Я даже не заметила,что мне не отреставрировали двойку. Я подовравалсь с кресла и хотела уже убегать ,но врач засмеялась и говорит кудааа) ещё не отшлифовали
сказали купить такую вот пасту Paradontax
и витаминный комплекс Денто Витус
вкусненькие)
А,ну и сказали Держите свои брекеты))) нуспасибо )
Теперь о ретейнерах .
Конечно же, к этому, как и к брекетам,нужно привыкнуть. Но мне не сильно мешает ,правда всегда хочется языком потрогать
В общем жить с ними очень даже можно. Чистить не так уж сложно. Мне удобнее делать это монопучковой щёткой,так что,ребята, у кого будет несъемник запаситесь монопучковой щеткой ![]()
Носить мне их лет 10,либо всю жизнь. я склоняюсь ко второму варианту )
Гарантия на ретейнеры год.
и Да, они у меня усиленные ,двойные
Ну а теперь немного качественных фотгррафий моих зубьев
Ещё хочу сказать ребятам, которые сразу же после снятия собираются отбеливать зубы в клинике ,либо в домашних условиях. НЕ НАДО! вы сами это поймете, я думаю. Я вот тоже собиралась их отбеливать , но мне их даже чистить больновато. После брекетов зубы ну просто ооочень чувствительные.Это я поняла когда решила улыбнуться на морозе
Конечно ,зубы у всех разные,но все же. Я собираюсь пропить как мне сказали минеральный комплекс к течении трех месяцев а дальше там уже может какой пастой отбеливающей начну чистить. А про отбеливание даже и думать перестала. Лучше пусть будут такими пока что, здоровее буду ![]()
Вчера я пошла гулять и весь вечер улыбалась, ржала как конь смеялась .И я просто Счастлива.
Ребят, терпите.Терпите не смотря ни на что. Терпите боль,дискомфорт,разодранные щёки и язык.Потому что оно того стоит! Это огромное счастье, когда ты улыбаешься и ты себе нравишься.
P.S. Вчера выложила сразу две фотографии с улыбкой во все зубы в соц. сети. И одна девочка спрашивает " А что теперь у тебя все фотки такие будут?" ПФФФ ))КОНЕЧНО)
у меня теперь жизнь вся такая будет, спрашивает ещё. Ну людям рожденным с ровными зубами нас не понять.
Всех цааалую ,всем удачного лечения
Комментарии
Великолепный результат! Было очень интересно почитать. И познавательно.
Улыбка потрясающая
Такая красота! Улыбка на миллион, поздравляю!
Невероятно красиво! ![]()
Даже не верится,что было "до"-те же зубы ![]()
Поздравляю от всей души! ![]()
Мне думается и не надо ничего делать с двойкой, так натуральнее выглядит))
Красотка
katya milaya
В самом деле-изменения во внешности очень разительные. На фото "до" прям детенок, а сейчас такая девушка, и очень красивая
Просто мега супер!!! Как по мне, так вообще идеал, к которому надо стремиться
Улыбка просто как из рекламы!!! Зачем отбеливание?
Все просто идеально, зубки беленькие! Я Вас искренне поздравляю! Результат супер!!!
Великолепные красавчики ! ![]()
Поздравляю !
ВАУ!!! Улыбка потрясающая!!!!!!!! Гораздо круче, чем на том листочке, который вы показали терапевту! Когда мне поставили брекеты я не верила, что когда-нибудь будут ровные зубы. Хожу с ними почти 5 месяцев и до сих пор не верю, что зубы будут ровные)) Такие посты, как ваш - настраивают на позитив и голливудскую улыбку! Спасибо!
всех нас ждет Голливуд )
Вам спасибо!
Какая же Вы молодец что сделали это!! Потрясающая и такая добрая улыбка!! Я за Вас не нарадуюсь!)) Ох мне даже не верится что у меня в почти подобной ситуации получится такой голливуд!)))
Все получится и даже лучше !!
так приятно ,что вы разделяете мою радость )
очень красиво))) перемены просто потрясающие)) я просто в восторге!!!))) поздравляю Вас!!!
Крутотень!) Было интересно почитать!) Меня успокаивает то, что по сложности искревления зубов, у нас чем то похоже было) И то что такое можно исправить, и при чем такой крутой результат еще) Конечно это еще от врача зависит, при чем очень многое.... но, буду надеяться!)
Очень красиво)
у меня ещё и похуже было )
все будет , главное терпение . Спасибо)
Красота!!! Очень-очень рада за Вас! Вы красивая девушка, с прекрасной улыбкой! Ваша история отличная мотивация для всех нас, брекетоносцев...
нужно сделать коллажик лица до и после и на главную страницу сайта! вот, это будет мотивашка для раздумывающих!просто нереальные изменения! поздравляю!!!
Тоже хотела написать, что на листочке зубы по сравнению с твоими - фигня )) У тебя в 100 раз лучше )) Улыбка супер, зубы вообще без слов! Поздравляю!!!! Классно получилось!
Скажи, а какое расстояние между НЧ и ВЧ? сколько примерно миллиметров? Или может кто девочки знает - сколько должно быть?
Улыбка-мечта)))
н@т@шеньк@,
спасибо
ksen, ой не, это уж будет слишком )))
missAnn123, ну спасибо ,я рада ,что врач меня отговорила )
ой я даже не знаю сколько там должно быть, у меня примерно миллиметр , это если на глаз
Все супер пупер поздравляю.всем бы такие
С бс ходила всего год?
Поздравляю!
Улыбка - супер! Очередное док-во, что оно того стоит!
Мари777, даа
Год это круто блин. В общем рада за тебя.даже завидую
Результат потрясающий!!))
![]()
Поздравляю со снятием!))шикарная улыбка!)
Такой позитив! Какая красота! С ума бы не сойти!!
вот это апгрейд!! Поздравляю!










Очень ошеломляющий результат!" И одна девочка спрашивает " А что теперь у тебя все фотки такие будут?" ПФФФ ))КОНЕЧНО)"- отличный ответ))))))))