кто-нибудь будет носить БС полгода?
сегодня ходила к своему орту на прием по поводу отклеившегося второй раз замочка на 6-ке, она сказала, что приклеит его когда я приду менять дугу через 2 недели, и приклеит замочек, а так она мне дугу подрезала, чтобы не мешал.. я спросила давно интересовавший меня вопрос: сколько я буду носить брекеты, на что она мне ответила полгода... я была удивлена... здесь есть кто-нибудь, кто будет или носит БС такой же срок?
Комментарии
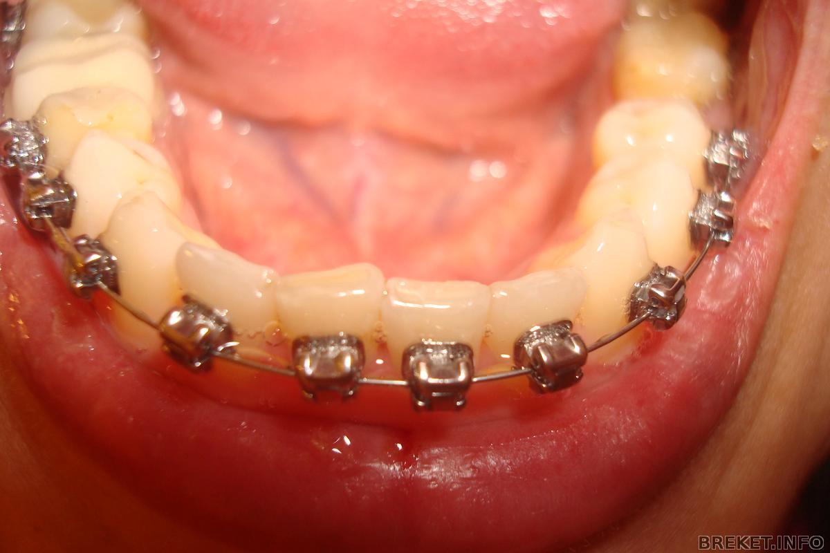
с верхней у меня порядок, она мне сказала, что выравниваем только нижнюю.
верхние и правда красивые, но как правило ставят на обе, чтоб не страдал прикус. нижние вытянуться по дуге и изменят свое положение в челюсти, поэтому не будут попадать под верх. я даже не знаю.... очень странный метод. можешь спросить здесь, на консультациях. там ответят врачи. скажут тоже самое, но более развернуто.
http://breket.info/consult-doctor/1073850418
нашла здесь, полистай.
ок, спасибо
я тоже первый раз слышу, что ВРАЧ говорит ставить на одну челюсть лишь.. мой ортодонт говорила, что ставят и верх и низ! вот спроси у старейшин наших - ведь носят тяги между двумя челюстями - специально, чтоб сравнять челюсти.. ну как-то странно, не знаю)
ну мы с моим ортом решили попробовать поставить БС только на ВЧ, а прикус выравнивать будем трейнером, а потом будет сепарация, вроде сейчас все идет хорошо)) так что можете спросить про трейнер у вашего врача
нееееее верь им. мне тоже обещали, ага, аж два раза. 11 месяцев носила. каждый месяц после шестого приходила и расстраивала себя лишний раз, ибо мне говорили "вот в следующем месяце точно сниму!", а в следующем месяце говорили тоже самое( ты лучше о сроках не задумывайся, носить придется столько, сколько нужно для идеального результата. ведь это же главное
(а сама я теперь упрекаю себя, что не относила еще лишний месяц для закрепления результата((()
Мне кажется врачу виднее( заковывать только вверх или низ), но опять же 6 мес для человека вышедшего из детского возраста ( когда упущен момент формирования костей) носить меньше года не продуктивно, выравниваются зубы к 3 мес + остальные минимум 9 мес зубы приживаются ( укрепляются в кости)....6 мес...на мой взгляд мало...
Всю жизнь жить с неправильным положением зубов. Приложить усилия, исправить зубы за пару месяцев...и опять отправить их в свободное плавание.
зубы будут стремиться вернуться к тому положению к которым закалялись годами...
а мне, если честно, кажется, что на ВЧ зубы ровные, но есть перекос... хотя может это только на фото так)
да, я тоже считаю что это маленький срок.. но они у меня за этот год очень сильно скривились, когда я в марте 2013 года только начала искать у нас клинику 1-ка еще не ушла так сильно, как на первых фото она была еще в строю и еще рядом с ней 2-ка слева тоже месяца два назад только вышла из строя... но слепки я делала прямо перед установкой брекетов... я жила с ровными зубами, раньше улыбалась во весь рот, а потом постепенно начала стесняться
а смыкание нормальное? в принципе, мне кажется, что вполне реально обойтись и одной БС, если сильно не заморачиваться
у меня орт не разговорчивая, я ей даже вопросы не задаю, но наслышана о ней только с положительной стороны... она у жены моего брата (получается невестка? я не разбираюсь как по-русски её назвать) зубы выровняла, так что я ей доверяю... она поставила брекеты в марте 2013, скоро будет год, я тогда сомневалась и искала другого врача, один мне даже цену в 250 тыс озвучил, а она берет за всё лечение только 25
谢谢
на мой взгляд видно невооруженным взглядом, что у вас перекос верхнего ряда зубов (не обижайтесь
) и зубки на верхней челюсти не в идеальном состоянии.. подумайте, может стоит сходить просто на консультацию к другому врачу? консультации ж ведь не дорогие))) просто от неправильного лечения еще и зубки разойдутся (тут у многих такое было).. а с ношением в пол года это вполне вероятно.. я бы перестраховалась на вашем месте!
а по мне верх не критичен, я б с таким не ставила. и даже и не призадумывалась)))))))
в таких ситуациях, я считаю, лучше заплатить за еще одну консультацию у еще одного ортодонта, чем полагаться на мнение одного, которое тебя смущает
И мне кажется, что у Вас небольшой перекос верхней челюсти и центр немного смещен. Но это только мое мнение. Может правда сходить на консультацию к другому орту?
девочки, я тоже после ваших комментариев начала замечать, что у меня перекос ВЧ и центр смещен.
раньше видела это, но у меня зубы с правой стороны на НЧ запали внутрь, и я думала, что как только они "встанут" на место то этого перекоса не будет.. еще у меня губы сильно трескаются и рвутся... спасибо вам всем за комменты
Мне от трещин, сухости и заедов в уголках рта очень мазь д- пантенол помогает. Стоит около 150 р.. тюбика хватает на века! Плюс ей можно мазать ожоги, царапины или прыщики..в общем она универсальна.
Baya, если поставите БС на верхнюю челюсть, то перекос сразу в глаза будет бросаться. У меня так было. Вроде ниче не замечала, даже на фотках, хотя орт говорила, что он есть. А когда одели брекеты, ровная линия дуги его очень сильно подчеркнула, стало хорошо заметно.
Xenia, я депантенолом пользуюсь с самой установки брекетов, вчера солкосерил намазала, утром результат тот же сухие губы
Kristisha, дело все в том что я года три назад на верхней челюсти установила метало-керамические несъемные протезы (помню, что мне показалось что очень дорого, хотя цену сейчас не помню).... и вот их нужно будет снимать и ставить БС, а после снова ставить эти протезы, я установила брекеты лишь потому что у меня нижние зубы уж сильно начали болеть и двигаться (а так я была согласна жить и с кривыми зубами), а сейчас можно сказать совсем перестали мучить боли, когда их только установили то я даже не заметила, что у меня что-то болит (настолько эти боли мне были привычны), а сейчас у меня ничего не болит, только губы мне доставляют неприятности... в остальном все отлично




интересно! а когда на ВЧ установка планируется?