Жизнь после снятия.
Не знаю будет ли кому интересно(зато еще фоточки в конце будут
), но напишу.
Таки жизнь, как жизнь. Правда, продолжаю маньячить и постоянно зырю в зеркало, не знаю даже зачем, полюбоваться, наверно.
Спустя неделю выдали капу, налезла немного с трудом, поныли зубы минут 10 и перестали. Иногда ноют до сих пор, особенно когда пропущу одну ночь(по жопе мне за это
), особенно ноют 7ки(сколько семерки не ровняй, все равно в щеки смотрят.
). Единственное что после снятия капы и глубоко к вечеру начинают болеть суставы, не могу понять насколько это нормально, они в принципе проблемные, но не приятно это как-то все.
Ретейнеры стоят как вкопанные(тьфутьфутьфу), зубы тоже, по-крайней мере, я изменений не вижу. Пища под ретейнеры стала значительно меньше забиваться, но окончательно все равно не привыкла к ним(люблю язык о нижний чесать
), но я даже уже в капе научилась разговаривать членораздельно, кроме буквы "с"
Зато теперь я начинаю маньячить на отбеливание, но на проф. не решусь, да и зубы жалко. Пастой почищусь и ладно. Ну и не совсем они страшные, но суперпупер зубы же охота))
Каждую ночь мажусь под капы r.o.c.s minerals(c невкусным фруктовым вкусом, фуфу) - скажу честно, ну нихрена пользы не вижу, правда не знаю что я хочу увидеть - после снятия чувствительными зубы не стали, белее от мазилки они тоже не стали, вроде как только фиссура одна посветлела. Но будем верить, что он делает что-то внутренне полезное.
Есть плохое ощущение от верхней 6-ки, болит от еды. Но если лечить кариес, то капу переделывать? Я разорюсь ж. Хотя от пульпита в будущем я разорюсь больше, однако. Хотя я немножко надеюсь, что это все-таки десна болит.
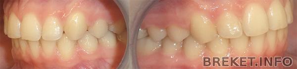
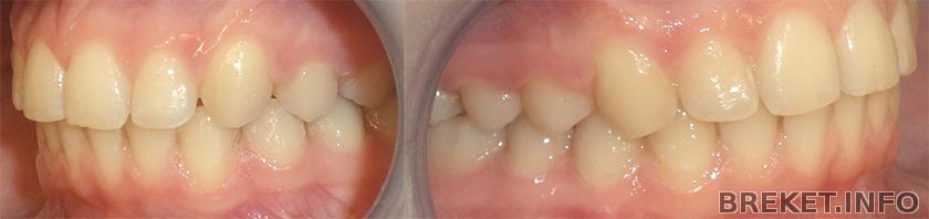
А вот и фоточки. Все фоточки зубов от орта, а в анфас у нее какие-то проблемы, ну что поделаешь.
Слепки до:
Итоговое смыкание(никак не могу воспринять эти фотографии, как мои зубы) :
Анфас. И самое главное что же мне отреставрировали, как видно не много, так что в этом я не эксперт))
И я до, после. Фотки до не найти почти, несмотря на то что в жизни я улыбаться никогда не стеснялась, но на фотках мне всегда улыбка не нравилась, хотя при этом я считала, что у меня вполне ровные зубы, просто улыбка не идет(гениально
)
Всем удачи, терпения, и ровных зубов!
Комментарии
очень красиво! поздравляю!
тоже не поняла, что там реставрировали, если только между единичками немного нарастили...
желаю безсюрпризного ношения новой улыбки)
Прекрасная улыбка!
Поздравляю со снятием)
просто красотень! от тебя новой глаз не оторвать!!! ты прекрасна и всегда знай это)))
у вас все просто отлично смотрится, так гармонично! удачи вам с вашей новой улыбкой
Обалдеть, как красиво все получилось!))
Очень красиво!!!!
Красивые зубы! Потрясающий результат. Мне рокс минералс не фруктовый..от чувствительности помог...
Красавица! Очень красивая улыбка!
Как приятно
Спасибо!
Anetka, оо, хорошие новости! значит в случае чего можно и полечить сходить.
ksen, может не правильно назвала, но да просто нарастили, чтобы щели такой не было, просто люди интересовались, а я и сама плохо представляла что мне там сделали.))
Xenia, они вроде как одинаковые, просто фруктовый без мяты, для аллергиков. Это хорошо что помогает, но мне видимо помогать нечему, но изнутри все равно ж должен питать всякими кальциями.





Поздравляю! Очень красивая улыбка получилась! Леить и пломбировать не бойтесь, капу менять не надо. Если сделат все аккуратненько то капа прекрасно одевается. У меня после снятия две верних 6ки лечили, я даже попросила немного щель между 6 и 7 убрать (с одной стороны стояло кольцо и осталась небольшая щелка, которая меня бесит), переживала как капа наденится - все ок!