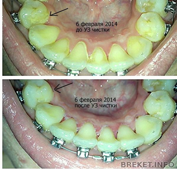
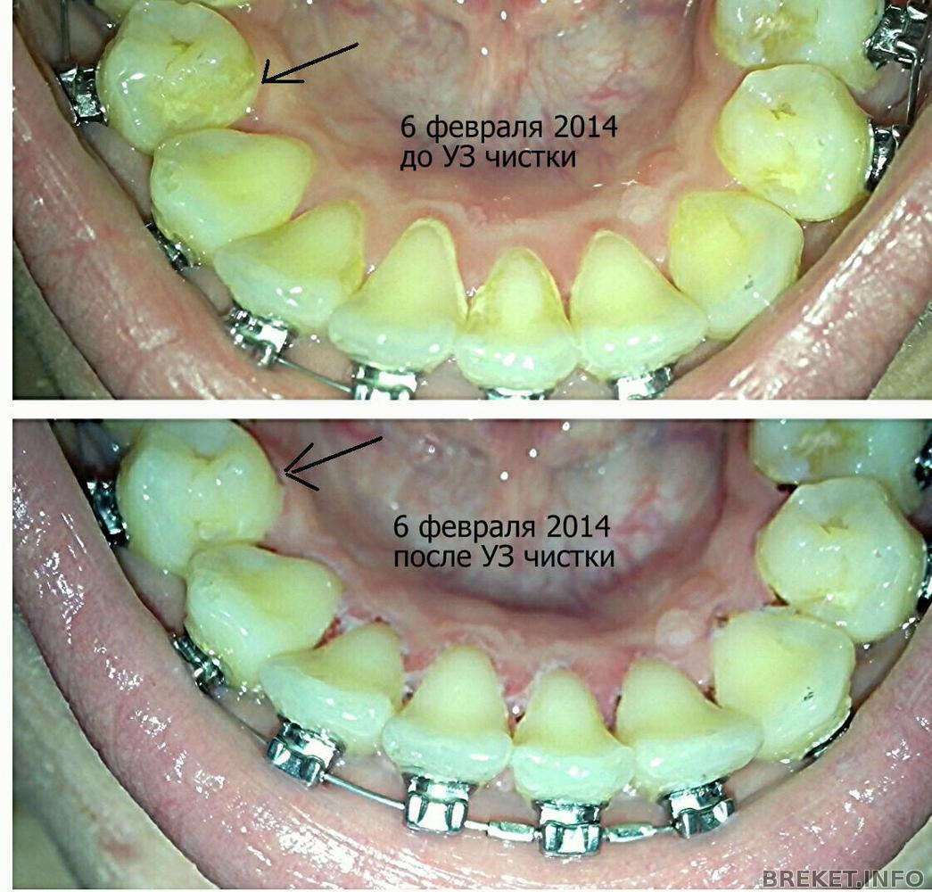
ЧИСТКА ЗУБНОГО КАМНЯ
Сходила сегодня на чистку зубов. С тех пор, как они встали в ряд и\или подвинулись - обнаружилось НЕЧТО страшное на них
Чистка была ультразвуком + потом полировку делали какой-то фигней, напоминающей по запаху "Зубной порошок".
Почистили мне 14 зубов: 10 внизу и 4 наверху.
Чистили только с внутренней стороны.
Снаружи врач не решился лезть под БС и дугу. Ну ок, все равно резалт отличный!
Особенно обратите внимание на фоте ДО на четверку слева! Там было ТАКМНОГО камня, что я его ЯЗЫКОМ ОЩУЩАЛА!
Сорри, на фотке после видны ранки небольшие и сгустки крови, но очень хотелось поделиться сразу, а не ждать заживления)))
Комментарии
Красота то какая ))) По-моему, такая чистка может даже отбеливание в какой-то мере заменить, а зубам только польза.
и единички чистенькие такие стали! классно, когда сравниваешь до и после)
у меня тоже когда зубы выравниваться начали, пару камней обнаружилось. я даже подумала что кариес, а орт мне их за минуту убрала)
Я тоже почистила месяца три назад. А сейчас смотрю, что он снова образовывается.. Хотя гигиену очень соблюдаю.. Отчего так
Как здорово! Чудеса! а че то не сообразила попросить....почистить зубы с обратной стороны. Заплатила за уз + айр флоу..а получила только айр фло)))
А я чистку делаю в той же клинике перед сменой дуги и потому мне без проблем все чистят. Брекеты ничем не мешают...


Хороший результат)
. Хочется,чтоб они такими и оставались.
Как жаль,что нельзя нажать "сохранить".
У меня после чистки аж аппетит перебивается,неохота зубы "грязнить"
А ранки быстро затянутся,можно помазать каким-то гелем,чтоб не беспокоило.