Да здравствует красная помада!))) Уррраааа!!
Привет, друзья! Не думала, что так быстро пролетит мое "брекетное" время и Я буду писать пост о СНЯТИИ! Не верится! Эмоции переполняют! Сегодня, спустя 1год 3 месяца и 5 дней, мне сняли брекеты! Боже, чувство, что зубов нет!!! А какие они гладкие... мммм... Вот от ретейнера я шипилявлю(вроде так это слово) очень!
Ну, немножко расскажу о своих чувствах, кому, как не вам!)
Брекеты снимать не больно, больно лишь на некоторых зубах(на передних), я у ж думала- щас соскочу с этого кресла и оставлю парочку брекетов на зубах!)) Ну это может лично у меня так.
полировку не закончили,как следует, сильно кровоточили десна(
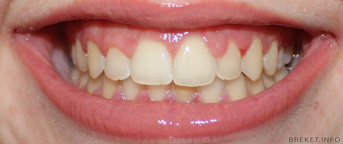
А о самом главном- я довольна! От зеркала не отхожу. Ноо, портит все моя десневая улыбка и не ровные десна!! Этим ОЧЕНЬ расстроена! Ортодонт подтвердил мои переживания. Фото выложу, думаю будет видно.
Благодарна своему орту, спасибо, что подарил мне улыбку!!!
Всем брекетоносцам терпения и удачи в зубных продвижениях!
Комментарии
Ура!!! О май гарбл!!! Как же радостно читать такие эмоции!!!
Elizabet, да, но я обязательно напишу, что будет дальше!)
Лайма, о даа! Тоже читала и радовалась за других, а тут сама сняла, ё-моё!)))
Поздравляю! Мне тоже сегодня сняли, поэтому понимаю и разделяю всю радость и торжественность момента)
P.S. Шипилявлю тоже:) Будем надеяться,что это вскоре пройдет)
поздравляю со снятием брекетов!!!! а ретейнеры на ВЧ и НЧ?
поздраляю! очень здорово) ждем фото
Спасибо большое! Как приятно!
_FOX, и я тебя поздравляю! На открытие олимпиады у нас прям!!)
Да, ретейнеры на ВЧ и НЧ)
поздравляю со снятием! будете десну подрезать?
Муряка, ОЧЕНЬ хочу! Через неделю поеду за каппами и узнаю.. интересно, сколько это стоит!
"Шепелявить" правильно. Поздравляю со снятием)
Урааааа!!!!! Поздравляю!!!!!!!!!! Это мечта просто, снятие и красная помада
... Жду дальнейших постов!!!)
Спасибо, девочки!!!)
Искренне за Вас рада
Поздравляю!!!
большое спасибо!!!)
Круто;) поздравляю, вот бы и мне быстренько справится:)
Спасибо, время быстро пролетит;)
Вика поздравляю тебя
с этим долгожданным результатом...
Спасибо, Руслан:)

Поздравляю! А сильно от ретейнера шипилявите?