во всеоружии)
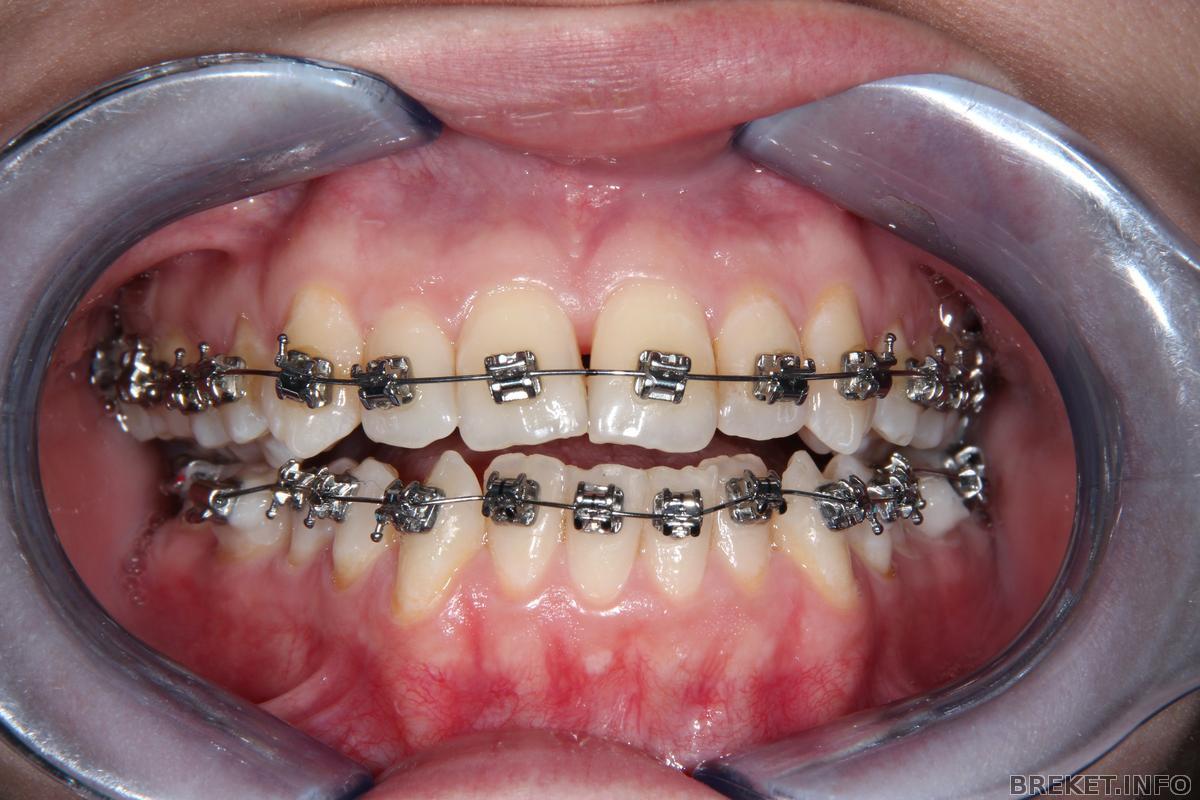
В пт 07.02 мне установили брекеты на НЧ ![]()
Ох как все болит... ВСЕЕЕ, каждый зубик! Кушать опять больно, и все застревает!!
Ставили через капу. На все ушло мин 40.
Мне ортодонт предложил, как вариант, сделать хирургию. Но я не знаю сколько это стоит и как долго я буду иметь непрезентабельный вид и не работать.. Дорогие, если кому делали хирургию, скажите, сколько это стоило, и как долго был реабилитационный период?
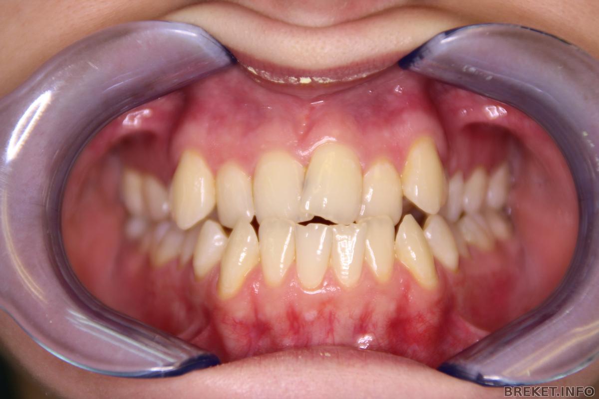
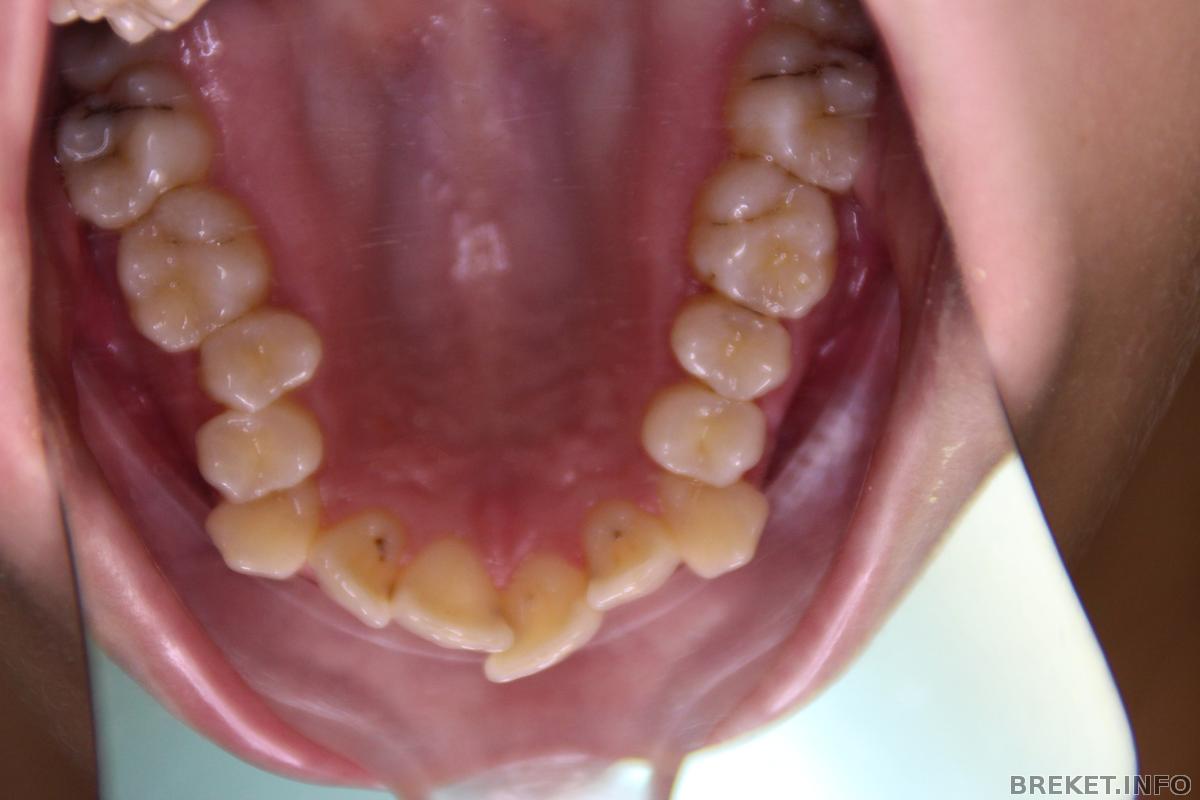
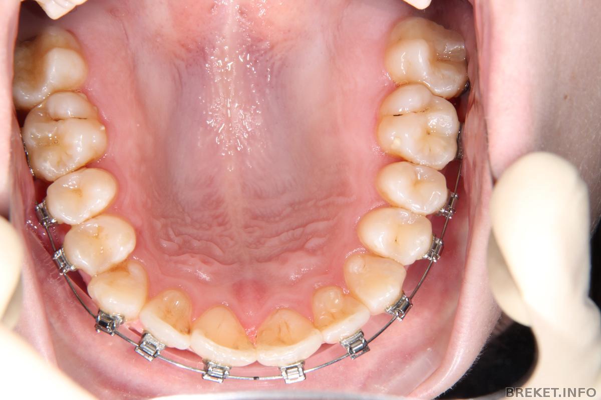
Сейчас уезжаю к маме, вот вам фотки, выпрошенные у врача. Соответственно ДО всего, и спустя 3 месяца и 13 дней)))
Всем отличных выходных!!
Комментарии
Ничего себе!!!
спустя 3 мес. такой потрясающий прогресс! Поздравляю!!!
ой как похожи на мои зубы.... только мне удаляли , а тут не вижу удаленных???
прогресс офигенный!!! Поздравляю!!!!!! а что именно скрывается под словом "хирургия"??
хирургия это удаление зубов, если 4ре зуба удалять , то уйдет тыс 30 вместе с наркозом....
FuchSy, Вам хотят удалить зубки снизу для прикуса? Как я понимаю, Вам предложили удалять только для того, чтобы НЧ чуть сместилась назад, или почему? Совсем не понятна тогда ситуация с хирургией
спасибо за поздравления, ребят!))
Puella_007, удаляли восьмерки, и бесплатно!
KatyaK, Вахмурка, я, наверное, не правильно написала, я имела в виду операцию.
Вахмурка, мне хотят удалять одну 4, либо сепарировать, тогда зубы уйдут назад, но подбородок и НЧ останутся на своем месте. либо предложили подумать об операции, она уменьшит НЧ...
Такой прогресс! Просто шикарно!
Ого себе результат!!! Зубы прям метеориты! Так быстро решили стать красивыми)))))
спасибо, надеюсь нижние будут такими же послушными, как и верхние))
сижу на обезболивающем сейчас.. кошмар, я уже успела забыть как верхние после установки болели
FuchSy, а врач не говорит прогноз сколько нужно будет носить БС всего???
удачи Вам в послушности НЧ))) надеюсь и мои зубки будут послушными)))
спасибо, KatyaK, чего и Вам желаю))
сколько носить пока не говорит, сказал посмотрим как НЧ будет себя вести, уже про тяги сказал и формирование прикуса
вот через месяц прием, там увидим)))
я так поняла что поставленный примерный срок ношения до установки БС - это только предположение... а там может быть или быстрее или дольше... надеюсь на лучшее)))))))
KatyaK, в основном это так!
Но мы на всякий случай настраиваемся на больший срок, лучше потом пусть будет приятная неожиданность...))))))
Лайма, ага ага)))
Абалдеть!
Как расширился ряд! я прям завидую.. по-доброму,конечно ![]()
Зубы очень молодцы ![]()
Желаю по-скорее избавиться от боли,и чтобы зубастики на нч не подводили и ровнялись также шустро!
Mairead , спасибо спасибо!!))
взаимно, желаю вам здоровых и красивых зубков!





FuchSy, круто!!! Шустрые-то какие!!!
Поздравляю с полным набором, мама будет рада