зубызубызубы: изменения за 5 месяцев в целом и за последний месяц в частности
здравствуйте)
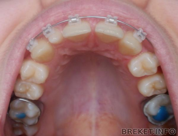
наконец-то Аля починила фотоаппарат и теперь есть парочку более-менее качественных фоток моих вконец уже замученных зубов
просидела около часа перед зеркалом, рассматривая из со всех сторон...вроде что-то и меняется, но очень медленно, и выглядит все так, будто с брекетами мне мучиться еще года три как минимум
на фото это почему-то выглядит еще хуже, чем в жизни
наконец смогла рассмотреть, что у меня с вч...как и следовало ожидать - слетела разобщающая пломба с 26го зуба, остался маааленький такой кусочек, так что теперь у меня и прикус перекошенный
а еще я жутко недовольна положением 13го зуба, который еще немного не довернулся...орта говорит, что он встал как раз как надо, ну хз даже
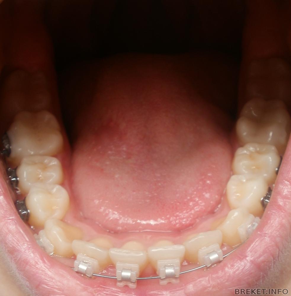
на нч, как ни странно, процесс идет: 43ий зуб двигается, уже почти выровнялся, но места ему маленько не хватает еще...может, сепарацию сделают, может, раздвинутся еще, но в принципе я доволен
резцы, как оказалось после установки бс, у меня таки немножко перекошены...да какое там немножко, там елки-палки, лес густой...странно, без бс они выглядели чуть ли не идеальными, хотя может это на фоне кривого верхнего ряда
в общем, на нч зубы двигаются, Аля злится и пьет обезболивающее, но все равно тешится тем, что что-то ровняется
и это все несмотря на то, что у меня с 36го уже недели две с половиной как улетела трубка
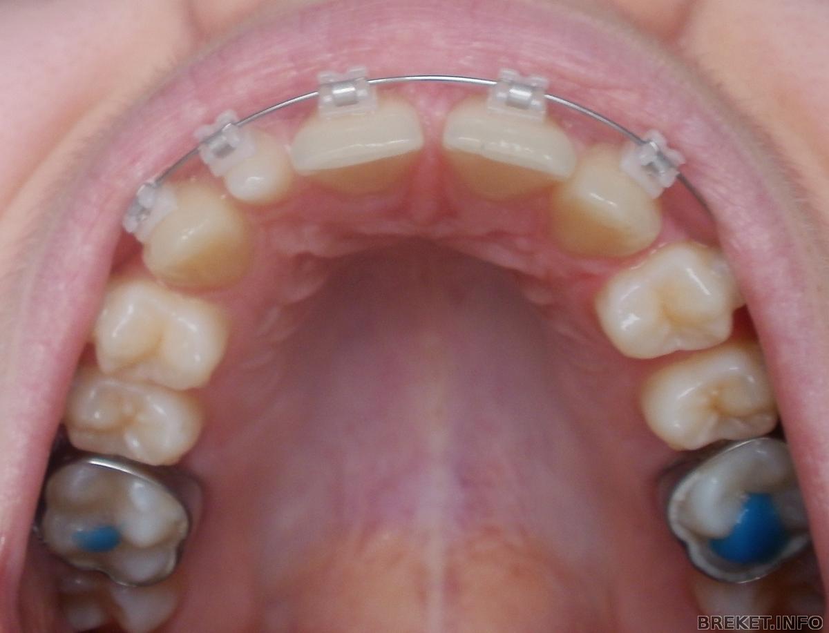
все, что получилось сфоткать, пардон за качество, но сложно было отдернуть губу так, чтобы появилась возможность сделать нормальное фото
на вч слева сейчас передвигают зубы, клык уже стоит на месте двойки (потом отреставрируют и сделают под резец), а из четверки должен получиться клык
месяц назад между 23им и 24ым было приличное такое расстояние, сейчас уже затянулось, там еще миллиметра два осталось
это радует)
подведя итог: движение есть, причем довольно заметное, хотя недочеты все равно еще присутствуют...но ладно, времени еще хватает, все-таки только 5 месяцев ношу)
но (я на это жаловалась уже давно, но ныть не перестану), по какой-то странной причине все 5 месяцев на вч стоит первая дуга
без понятия, чего это так
следующий прием - начало марта (где-то в районе восьмого), будем спрашивать и уточнять
Комментарии
Улыбашка, ооо, а это меня радует) но орта предлагала поменять дугу на прошлом приеме, правда, потом сказала "ладно, походи еще с этой"...ну по крайней мене то, что на безлигатурных дуга не так часто меняется, меня успокоила малость)
А правая двоечка молочная или просто маленькая?
Лайма, недоразвитая двойка...слева двойки нет вообще, а тут выросло вот такое
пойдет под реставрацию, а слева будет просто на один зуб меньше
У Алхимика была недоразвитая двоечка, потом отреставрировали, такая красота получилась!
Лайма, мне обещали после снятия реставрировать...в общем, красота будет аж через года полтора в лучшем случае)
Ну, все равно, пока мы в брекетах - это еще не красота на 100%, а вот после снятия - юхууууу!!!! ![]()
Будешь красотка!!! Хотя, ты уже
Лайма, хех, благодарю)
надеюсь, результат оправдает ожидания)








У тебя безлигатурные брекеты, у моей подружки была подобная ситуация с ВЧ, носила она всего 11 месяцев и все это время была только одна дуга)