2 месяца (ну почти)
Как все-таки полезно делать большие перерывы между попытками заглянуть в рот.
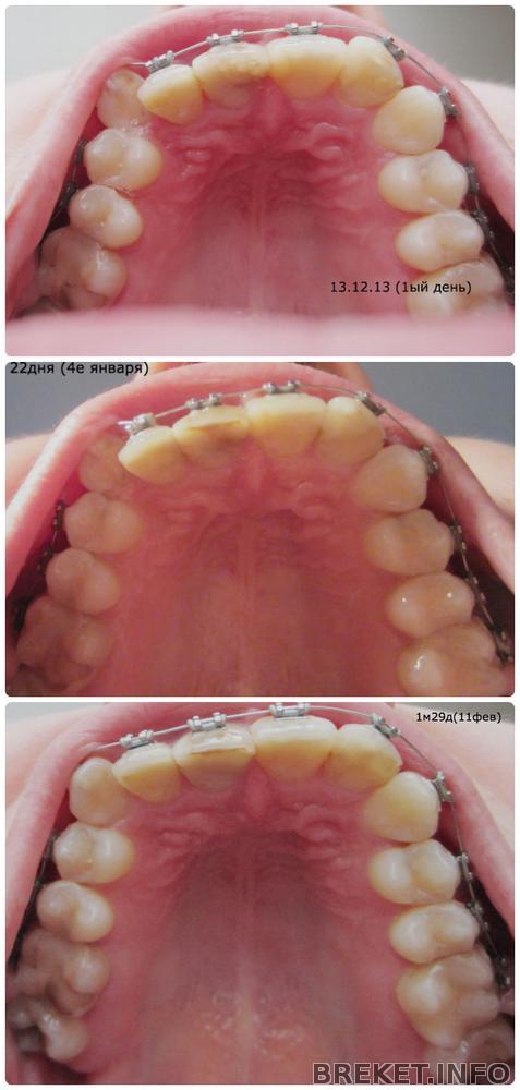
Пока есть время,решила сделать коллажики, до юбилейчика в 2 месяца еще 2 дня, но возможность есть только сейчас.
Наконец-то я вижу изменения!
когда составила коллаж,прям в слух сказала "ВАУ!!" ![]()
Этих подвижек я ждала так долго, особенно первые недели психовала
,каждый день заглядывала в рот,пытаясь что-то заметить. Но активно зубки начали двигаться неделю назад где-то.
Так что, кто только установил БС и не видит результатов, терпение друзья, только терпение ![]()
Конечно, самое радостное для меня-это клык, который после смены лигатур активно распихивает своих соседей, занимая свое законное место. То то я теперь каждое утро не могу дотронуться до единицы со стороны этого бойкого, да и весь ряд справа ноет переодически.. Поймала себя на мысли, что мне нравится эта боль ![]()
Вот моя пасть, и как же радостно в нее теперь смотреть ![]()
Отлично видно, как клык протискивается, да и зубы в рядах справа и слева встают друг напротив друга!!
Может у меня глюки и я придумываю,но похоже, что челюсть стала расширяться! А?
За это же говорит появление нехилой такой дистальной щели! теперь мой прикус не только глубокий,но и дистальный,блин((
Еще коллаж, с неудачным изначально ракурсом, но я почти приловчилась так снимать. Тут тоже заметно изменние положения клыка
В общем, я очень рада
Еще одна новость, да и причина, почему я не смогу сделать пост во время, то есть 13го числа
Я записалась на удаление восьмерки на среду. Так что дорогие и любимые, продолжается веселуха и в строю хомяков скоро прибудет
Комментарии
Да, действительно есть изменения) Поздравляю.Приятное чувство)
Поздравляю! Движется и правда!) это чудесно
зубы каки белыеее
, клык прям хорошо двигается)
Маруся26
ураураурааа! ![]()
Vikanik
Очень приятное) Дождалааась!
Alesja
Наконец-то заметно стало,и не только моей линейке
Викундель
Ахах если бы так, конечно, после бионики отбеливающей они посветлели, но большие заслуги у съемки со вспышкой ![]()
Ага,клык прям с места в карьер стартанул, а тож как вкопанный стоял
Я помню, что у тебя на днях два месяца, потому что мы в один день установили)))
Поздравляю с мини датой)) а еще больше поздравляю с результатами)) Клык старается, как может))
у меня в этом месяце как раз ничего и не болит. Совсем. А так хочется)) как бы странно это не звучало)) но ничего, через пару недель буду восьмерки удалять, там и начнется веселуха)) тебе, кстати, удачи и безболезненного выздоровления, после будущего удаления восьмерки))
Mairead, тоже хоту попробывать такую пасту, все никак не получается
Martinss
Привееет))
А я про тебя помню ![]()
Спасибо, они очень долгожданные,что вдвойне приятно
Я тебя тоже поздравляю заранее ![]()
ну не расстраивайся,заболит еще ![]()
Главное-хороший врач,и все будет гуд!)
Спасибоспасибоспасибооо
Викундель
Попробуй обязательно,она хорошая) И вроде как самая безобидная
Mairead, клык упорно двигается на свое законное место)
по удалению 8 не переживай, у страха глаза велики, на самом деле ничего страшного, ничего не чувствуешь вообще)
Ох.... восьмерки...
.... отпишись потом.
Зубки молодцы!
Улыбаш
Да я и не переживаю особо то) иду ведь к своему любимому хирургу ![]()
Ксюх
Отпишусь конечно,времени- то будет много ![]()
Зубки да,молодчаги) а еще буква "П" еще чуть-чуть и выровнится
Клык просто умница)
Мне тоже нравится, когда они болят, т.к. у меня точно, если болят - двигаются )))
Ты главное не смотри в "зеркала"))))
Я в шоке была что у меня П пропала.
Скоро и у тебя будет такой радостный пост.
Ты даже не представляешь.....на сколько это круто осознавать, что укус на колбасе будет параболой!
Но все впереди) Почти дуга из зубов это чудесно
Edess
Да, умняша такой, я оооч рада, ведь это мой самый главный комплекс был всю жизнь... и прям не верится что его теперь нет ![]()
Вот и у меня болят-значит двигаются,значит хорошо.
![]()
Xenia
Да не Ксю, я теперь спокойна к зеркалам)) только улыбаюсь теперь себе с утра всегда ![]()
Да и ближайшие недели не получится так пасть разявить,чтобы заглянуть ![]()
Очень меня это радует,потом чтобы приятно удивиться,когда швы снимут и все подживет))
А меня не сколько превращение "П" в параболу радует, а то, что челюсть расширяется, я прям не верю в это, особенно когда смотришь тут у девченок с похожими случаями, из такой уузенькой челюсти, получается таки прям красивуший широченный ряд-мечта
Ох. Переживаю за тебя. Восьмерки
.
Но главный прикол в том: Что лучше 4д кинотеатра как операционная..ты не увидишь
)))) все на столько будет натуральным, а похоже ...что все такие не с тобой!)
Готовься к худшему, но думай о лучшем.
Я была готова, что меня будут пилит часа 2. Прошло все за час ( анестезия и сама операция), но у вас у Москвичей по-любому современное оборудование, тот же слюноотсос...у меня была вата.
Ну главное: Молись!) Если будет страшно.Обещай себе сделать что -либо..лишь бы это закончилось скорее....а как закончиться обязательно сделай! Рассказывай анекдоты мысленно себе) но не хохочи во всю ->
а то лишнее вырвут.
13 это четверг.
Круто, что так быстро назначена дата. Приди. И победи эти коварные восьмерки!



расширилась