Сняяяли!)))
Ураааа!Наступил этот счастливый момент наконец-то!)
Снятие было кошмарным,знала бы что так отвратительно снимать сапфиры, носила бы металл,ибо он откусился моментом.
А вот мои сапфиры трещали,хрустели,летали по всему кабинету,и куча осколков во рту. И ощущение что зубы оторвут вместе с брекетами.Бррр. Еще и зубы стали очень чувствительными.Моя орт сказала носила такие же,и снимала их себе сама,боясь неадекватно отреагировать на врача...)
Потом была впервые в жизни чистка Эйр Флоу, ощущение не из самых приятных.Десна кровоточили жутко, но таких чистых зубов у меня не было никогда!)
Покрутили имплант, поставили чуть другой формирователь, с наркозом это было лучше,чем на живую, было больно.
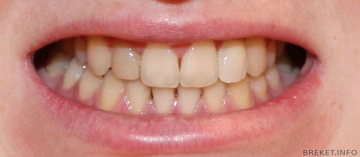
После отправили пополоскать рот и чтобы десна успокоились и я увидела вот это!))
Не верится,что это мое,никак!)
Хотя прикус не идеален, но не сравнится с тем,что было раньше.
Теперь в пятницу поставят протез бабочку, на место будущей коронки,ибо делать ее около 2х недель,а еще врач хочет поставить временный абатмент чтобы с ним формировалась десна,как нужно. А после уже постоянную коронку.
Наклеили ретейнер снизу 3-3
Сверху 1-3. После коронки доклеят и каппа.
Мой путь в 2.5 года почти пройден...)
Осталось совсем чуть чуть)
Всем скорейшего снятия!)
Для тех,кто не в курсе до...) Здесь работа расширителя.
Комментарии
Снятие..... Для меня это слово так дело...)))
Поздравляю! У вас последние штрихи и голливуд))
Кстати, вам изначально обозначили срок лечения 2,5 года?
Tush, мне вообще его не обозначали. Говорили 1.5 с брекетами,но с брекетами я отходила чуть меньше 2х лет,а так еще расширитель челюсти носила. С июля 2011 до марта 2012
Красота!)Поздравляю,вы героиня!
Поздравляю, вы - молодец!
поздравляю
Какое это счастье и облегчение!
Вы такая умница и терпеница, ваша награда- чудесная улыбка!Искренне поздравляю !!!!!
Поздравляю!
Liisska, со снятием! Замечательный результат!
Имплантик вставите - и будет Голливуд.
Поздравляю!
Зубки красивые, поздравляшки!
Очень рада снятию!!! Урааа!!!
теперь можете блистать и не прятать свою улыбку а радовать ею всех!) Поздравляю!
Спасибо всем,огромное,очень приятно!)
присоединяюсь к поздравлениям!
очень красивая улыбка, поздравляю!!
Liisska, поздравляю с окончанием брекетной истории! ![]()
Результат потрясающий!
Замечательная улыбка!
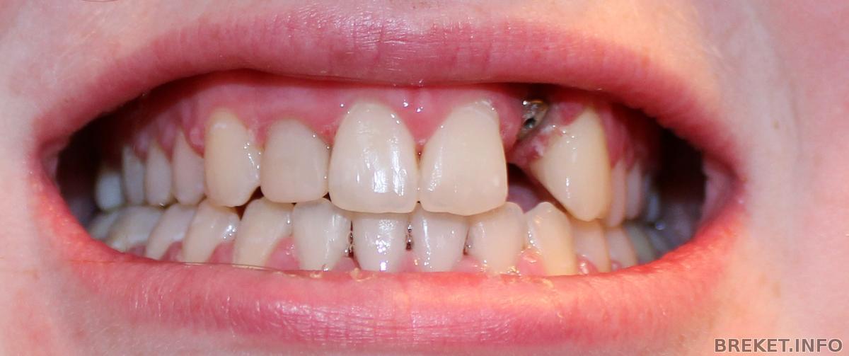
Liisska,меня в конце носки брекетов также ждет имплантация 2-ки,подскажите,вам сняли брекеты вживили под имплант основу(не знаю ,как верно назвать),и Вы ходите пока вообще без 2-ки с дыркой,простите за вопрос,интересует,потому что самой все это предстоит.
Стремящаяся, Нормальный вопрос
если Вы видели - то у меня искусственный зуб висел на брекете. Имплант поставили в октябре,ждали пока приживется. За неделю до снятия поставили формирователь десны. Сняли брекеты,сделали слепок для коронки(ибо делается больше 10 дней,а ве таки без зуба мне не хотелось). Думали сделать протез бабочку, но в итоге поставили абатмент, и временную коронку.сейчас это все выглядит так
Без зуба в итоге я отходила три дня,через месяц поставят уже постоянную коронку, а пока ждем пока вернется десна на место.



Красота какая! Поздравляю!!! Еще чуть-чуть и красота