Уже второй сюрприз для меня!
Вчера днем в универе внезапно у меня очень разболелась НЧ ![]()
дома вечером выпила анальгин, часть боли прошла
и вот сегодня утром просыпаюсь - а у меня она таааак болит(((((
ни поесть не могла нормально, ни сжать зубки, ни почистить их (слегка обычной щеткой и ирригатором всего лишь)
мама заставила выпить кетанов (сильное обезбаливающее), но я и не очень сопротивлялась ![]()
в принципе, я знала, почему такая боль) это знак, что второй клык тоже стремится стать в ряд)
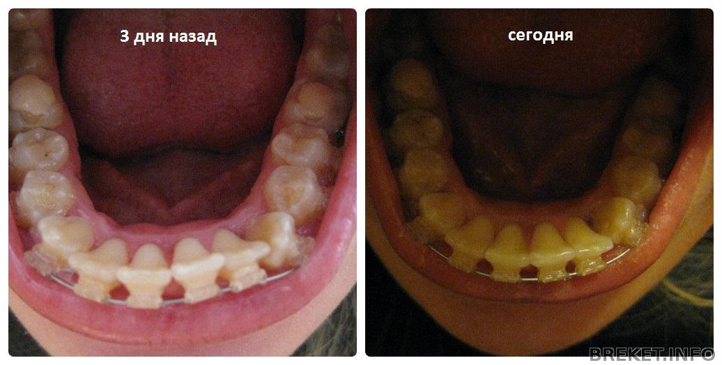
вот приехала вечером домой и наконец посмотрела хорошенько в зеркало на зубки - и о чудо! я была права ![]()
сейчас уже боль немного уменьшилась)
вот еще фотка, это уже лучше видно:
еще вчера он был на двоечке, как и всю жизнь до этого)
в общем, я безумно рада!!!!!!



Комментарии
клаааасс))) вот это да, так хорошо подвинулся))
поздравляю))) я так рада за тебя)) и прекрасно понимаю твое счастье от того, что зуб становится, т.к. у меня практически такое же и я тоже ооочень жду, когда у меня начнутся сдвиги))
кстати, мне мама сегодня не смогла купить Кетанов, ей сказали, что он по рецепту(( дали Кетарол как аналог
Leno_op4uk, да, это действительно так радует!)
главное ждать и не зацикливаться на этом ожидании)
Кайфово! Рада за тебя!
Martinss, спасибо)))))
я помню, что у нас похожие ситуации были)
придет время - и тоже поедет зубик на место)
а на счет кетанова: у меня мама частый гость в аптеке возле дома, ее там все знают, так что по-блату иногда без рецептов продают
Маруся26, благодарю!) уже и боль в радость мне)
еще забыла добавить к посту: мне кажется, что передние зубки легли вперед
кто может трезво посмотреть со стороны и сказать свои мысли по этому поводу?
класс! за 3 дня так ровняется)
Да и верхняя челюсть, я посмотрела ваши альбомы, так быстро за месяц выровнялась! Чудеса)