11 месяцев (+ фотоотчет)
Вот и я приблизилась к отметке 11 месяцев... А кажется ещё вчера всё было в новинку: слепки, ожидание, волнение, брекеты, новые ощущения... А время-то несется с бешеной скоростью. Так глядишь и до снятия дойду и не замечу)))
Хотя в последнее время я начала хандрить. На протяжении последних месяцев заметных изменений я не наблюдаю, покорно жду, когда же раскроется место под имплант, ношу тяги. Хочется выразиться словами Лены (Panika) - сплошная "тягомотина" у меня сейчас идёт. Остается только запастись терпением и ждать, ждать, ждааааать...
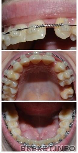
Фото, как всё есть сейчас:
Собственно прикус (
Всем добра и скорейших результатов!))))
Комментарии
Ой, спасибо, Улыбашка,до идеального конечно ещё работать и работать)))
А ты недалеко от меня ушла - 10 месяцев тоже не хухры-мухры!)))
А я вот так же, как и ты, прошу у Дед Мороза хотя бы к новому году снятие...)))
Все так красивенько
не за горами Голливуд
НюшаР, спасибо!)) Всех нас ждет Голливуд, не зря же мы мучаемся столько ![]()
Как у тебя обстоят дела? Пружинку орт не меняла ещё?
Привет! У меня похожая ситуация, не выросла двоечка верхняя. Я только лишь задумываюсь о брекетах. Мой врач предлагает выравнивать центр и открывать место под имплант. Готовлюсь морально. Скажи, пожалуйста, а что с 6-мы зубом? Вы закрываете место или тоже будет имплант? Спасибо!
Polovino4ka, ой, как поздно я увидела комментарий. Отвечу, если ещё актуально конечно же... На месте 6-ого зуба планируется имплант. Как у тебя дела? Решилась на установку?
Клево, все скоро будет идеально))) терпения))) конечно))
leksa, спасибо!))) Сегодня моим брекетам уже 3 года, терпения мне не занимать))) слава Богу я готовлюсь к снятию, и это не может не радовать)))
ОГО, а чего так долго то? На чем застряли?
Беременность и роды оттянули процесс снятия.



Leka89, здорово 11 месяцев жизни с брекетами это победа.
А прикус уже очень близок к идеальному)