+1 брекет на 7-ке
Сегодня был еще один поход к ортодонту. Утро началось со слов: "Блин проспала".
Да я проспала поход к ортодонту. Вот что бывает если играть в приставку до 3 ночи.
Поехала и ждала, пока окно появится чтобы получить долгожданную, неделю ждала, кнопку)) Через 40 минут ожидания, появилось окно. ![]()
Но сначала, расскажу о недовольной девочке, которой сняли брекеты. У нее было такое недовольное лицо... эх если бы мне сняли мои оковы, я начала бы прыгать от радости. А она вышла с поджатыми губами и даже до свидания ортофею не сказала. ![]()
Зашла в кабинет, уселась в кресло, ее брекеты лежали перед глазами, я не сдержалась и спросила о снятии.
Ортофей улыбнулась и сказала, да сняли ей брекеты. Я решила хитренько спросить сколько мне еще носить? Но ответ так и не получила. Как зубки станут там будет видно.
Потом рассказала, что немного боюсь кнопку ставить, накаркала блин
химией намазали зуб а я языком дернула и немного дотронулась... эх не судьба кнопку поставить. Нельзя чтобы на зуб слюни попадали. А у меня в этот момент такое ощущение, что все слюни за год собрались.
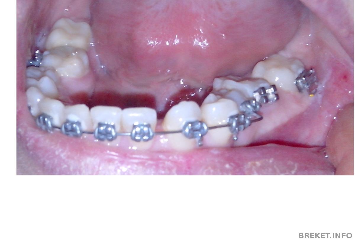
Решили ставить брекет на 7ку, правда только одну.
Смотрю ортофей берет щипцы и брекет давай дергать на 6ке, всего пару секунд и никаких неприятных ощущений и брекет отклеили юху...
я этого очень боялась, что будет больно, что зуб выдернут, но тут раз и все.
Прилепили мне два новеньких брекета, но дугу решила поставить через 4 дня. Интересно как 6 станет в ряд, и 5ка тоже где то гуляет, в отпуск уехала следом за 6кой)
ну ничего, мы это дело в четверг поправим уже 8 дугой на НЧ.
Заметила, что химия которой обрабатывают зубы быстро сушит губы, возможно именно от нее губы еще месяц после установки БС сушит. Очень непривычно брекет на 7ке чувствовать, постоянно языком трогаю его. Он уже успел сделать каку на моей щеке(
шустрый брекет.
Фотоотчет прилагается:
Комментарии
Бурундучок, спасибо))) ![]()
На 6 был крючок, а теперь брекет, а на 7 поставили крючок)
До четверга буду считать дни, чтобы поставить дугу, а то 6 и 7ка в свободном полете.
Девочка бука еще та, ортофей очень добрый и хороший, даже не знаю, что могло пойти не так. Разве что, очень любит деньги и ей было сложно с ними расставаться
![]()
Когда рассказала другу об этой девочке, он сказал, неужели ты бы жалела деньги на снятие, я ответила- конечно же нет. Я была бы очень рада, что мои брекеты помогли и теперь я буду улыбаться во все 28 оставшихся зубов, каждому прохожему))
Хорошо, что у меня фиксированная стоимость с учетом снятия)
Улыбашка, а почему раньше на 7-ки не ставили?.. И вообще - их всегда ставят или нет?
Улыбашка, а я разглядывала-разглядывала и не поняла, что это крючок... тогда вопрос: зачем нужны крючки? это же не те, за которые тяги цепляют?
а может, она очень любит брекеты и не желает с ними прощаться? ![]()
тут по-моему все любят свои брекеты, но тем не менее мечтают их снять
Жаворонок, бычно их не ставят на 7ки, только до 6-ок. Ставят только в том случае, если 6 плохие или слабые. У меня 6 и 7ки были в ряду, но когда начали перетягивать и ставить в ряд все зубы, 6ки не выдержали напора и ушли в отпуск в сторону языка, а теперь будем их на место тянуть. Поэтому на 7 брекет поставили.
ух ты) тебе начинают семерки подключать)) уррааа!!!
Martinss, медленно идем к нормальному виду зубов)) Я так рада
представляю как)) я сама уже жду-не дождусь когда мне на седьмые брекеты нацепят)) кстати то, что тебе сначала на одну семерочку брекет приклеили внушает мне надежду) может и мой орт хотя бы со стороны удаленных восьмерок поставит)
Поздравляю с обновками!))
Martinss, если ты его попросишь, то конечно сделает))
Katusha_xD, спасибо)))
Эх, тяжело наверное привыкать к новому брекету, на фото видно потёртую щёку (( Надеюсь, быстро привыкнешь!
И зубы порадуют, и оправдают эти мелкие временные неприятности!
Алхимик, очень непривычно с ним жить, щеку он успел немного повредить.
Очень странные ощущения, далеко в щеке кусочек металла, который больше похож на инородное тело чем на брекет. Даже не представляю, что чувствуют те, у кого брекет на 8 ках.
Улыбашка , с обновочкой тебя!!!)))) Охо-хо, у меня брекет на 8-ке с левой стороны на ВЧ, сколько труда стоило его преклеить... Очень трудодоступное место, разодрали мне рот, уголки рта потом краснючие были. У ортши рука затекла мне щеки оттягивать. Она ещё шутила тогда, что щеки у меня накаченные, ей тяжело пришлось. А мне-то как тяжело пришлось!
![]()
Кстати, насчет губ, у меня тоже очень сильно сохнут на приеме, я всегда прошу чтобы мне их смазали. У моей ортши есть какой-то суперпитательный крем для губ с витаминами, так вот я никогда не отказываюсь, когда мне предлагают намазать. А когда не предлагают - сама прошу!
Leka89, спасибо)))
Ох милая, тебе пришлось потерпеть, но снимать брекеты легче чем одевать это радует.
Орт у тебя веселая, врачи без чувства юмора это унылые бяки)
вот я слепец. так давно жду от тебя постов. а этот не заметила ![]()
Восьмая дуга на НЧ. Вот это да...
Значит на 7 каж ни ахти, носить брекеты...
Тебе только на нижней подклеили? ( по плану только одна)
Ух, мой след прием через 16 дней....тоже...блииииииииииииииииииииииииин....16 дней(((((
Меня еще новее дугой укомплектовали... вместе с 7 зубом. Пока не пишу, жду результатов, 6ки которые уехали болят истерически....
не то что жевать, говорить больно. Надеюсь, что скоро они заедут на место. Наглость это конечно второе счастье, у каждого отпуска должен быть конец.


поздравляю с новенькими
тоже хочу)))
а зачем поменяли брекет на 6-ке?
обалдеть, уже 8-я дуга!
у меня примерно так же задние зубки расположены.. и не двигаются что-то.
девочка бука... интересно, что её не устроило...