Скоро и мне поставят БС, ЖДУ НЕ ДОЖДУСЬ)
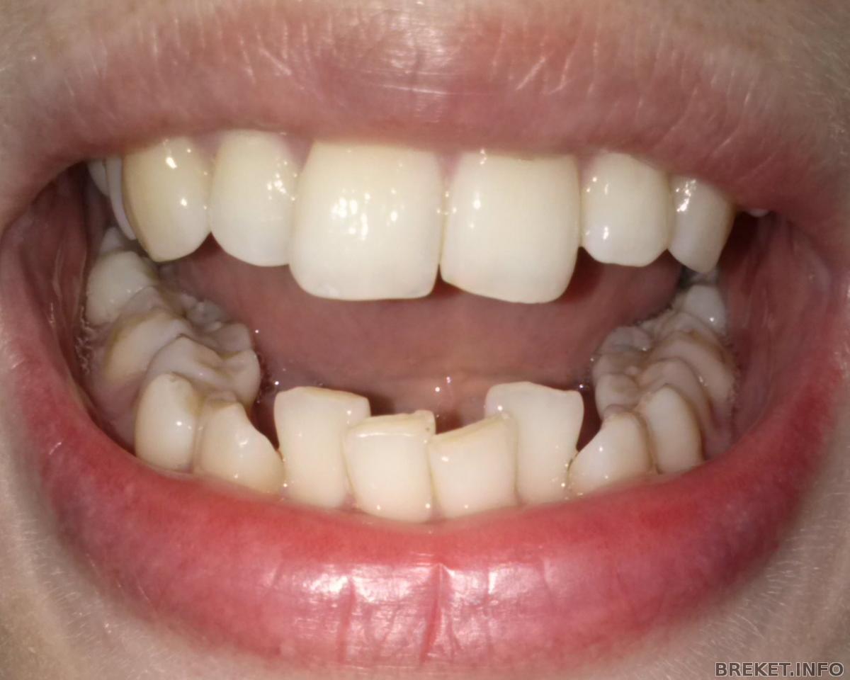
Приветик, ребята! Моя история будет историей из многих... Но все равно расскажу вам. Шла к этому лет десять, сейчас мне 25, а в те далекие времена мне ставили пластинку на верхние зубы, но я с ней проходила не очень долго, буквально пару месяцев и убрала (!а зря!), так как я с ней не могла ничего делать, речь стала искажаться, в ней накапливалось много слюней и много, много чего могу припомнить о ней. Сейчас нахожусь в декрете, и вот подумала самое удобное время. 13 МАРТА ИДУ НА КОНСУЛЬТАЦИЮ, будут делать снимок и все скажут. Ребята подскажите, придется ли мне удалять на НЧ зубы для их выравнивания, как считаете? ФОТО ПРИКЛАДЫВАЮ
Комментарии
здесь лучше не спрашивайте ) даже врач по такому фото бы вам не ответил - нужна диагностика и расчет.
Спасибо! Морально я ко всему готова)
Могут предложить для ускорения процесса удалить резец на НЧ - такое иногда при сильной скученности фронтальной части на НЧ предлагают. Но я бы не согласилась. Заведомо отсутствующая стыковка центров.
Посмотри мой альбом. У меня такая же куча мала на НЧ была. Удаляли только восьмерки.
У тебя не большая проблемка с зубками, когда расширят НЧ, все зубы влезут в ряд)))
Поэтому если что то будут удалять так максимум 8ки, на другое не соглашайся!
зато когда кто-то выкладывает фотку с протрузией на заключительном этапе лечения, все говорят, что лучше бы было удалить что-нибудь в самом начале
А восьмерки - это зубы мудрости? сейчас в инете посмотрела, у меня еще нет зубов мудрости, тогда чего удалять???
я тоже была уверена, что у меня их нет. хорошо, если у вас они действительно даже не заложились ) панорамный снимок еще не делали?
Неа не делали, но я думаю, что заложились, так как периодически прорезываются и обратно исчезают. Если их на поверхности нет, они что надрезать и выковыривать будут?????
Именно так. Здесь многие через это прошли. Но не пугайтесь раньше времени )
постараюсь


Ну 8-ки практически всем удаляют, так что скорее всего))