1 месяц)
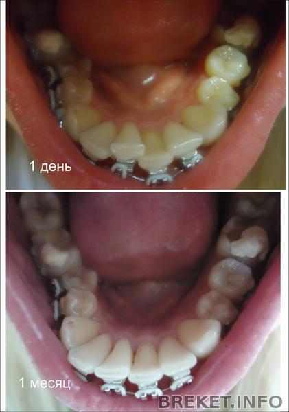
Ну вот и прошел 1 месяц. Не сказала бы, что быстро, очень ждала приема. Зубы ещё до коррекции за дня 4 начали жутко болеть, то один, то другой. Когда чистила было ощущение, что чищу по оголённым нервам. Начали двигаться)) Сегодня была на коррекции, заменили дуги на более толстые, вроде круглые 0,12. И отправили гулять 6 недель) Сказала раньше не приходить)) Зубы по прежнему кривые. Но все же результаты небольшие есть)
Заметила, что зубы на НЧ подравнялись. Ровняем без удаления.
Один зуб почти встал в ряд до коррекции и ещё один за пару часов после смены дуг. Наконец то открылся зуб, на котором образовался зубной камень. На зубах редко образуется даже зубной налет, а тут такое...
ВЧ почти без изменений, только одна единичка поехала вперед, по фото немного видно
Впрочем, похвастаться больше нечем) Зубы болят, но терпимо) Кушать ещё не пробовала, что-то в последнее время плохой аппетит. Ортофея поругала, что похудела, сказала, чтоб быстро поправлялась, на след. коррекции проконтролирует))
Эх, 3 кг как и не было...Щёки пропали, что больше всего расстраивает
А, ещё... сегодня поздравила ортофею и ассистентку с прошедшим 8 марта, подарила по коробке конфет) Так она все шутила, мол, вот ты нам сладости, а мы тебе по зубам и мучить))) Смешная она у меня))
Комментарии
не могу налюбоваться, такие чистенькие, аккуратненькие))
Насчет поехавшей единички - это не из-за того, что брекет наклеян не также, как на другой единичке? Или это не имеет значение? Меня мучает этот вопрос, потому что я заметила что у меня по разному наклеяны замочки на единичках (разное расстояние до боков) хотя они у меня ровные, и сейчас я думаю, что это неправильно
Panika говорили до года, но не факт, всё индивидуально, как будут двигаться)
elvirochka1903у меня не ровно единицы расположены, левая часть (на фото правая) вогнута немного вглубь, будут вытягивать. По дуге видно, что она криво идет. Не волнуйтесь, на первой коррекции спросите, может он вам специально так приклеивал, чтобы наклон зуба поменять, если так не запланировано получилось, то переклеит) Все равно первая дуга предназначена расшатывать дуги, так что ничего страшного не случится))
Martinss спасибо, жаль, что кривые
Решила зубы оздоровить полностью: бросила курить, пью кофе раз в месяц, избегаю красителей) чёрный чай вычеркнула напрочь, только зеленый)) Привозят из Китая, налета даже на кружке не оставляет)) Но от шоколада никогда не откажусь!)))
Katya_art узенькая НЧ, 6 могут уехать.
Главное, что результат уже есть, мои первые результаты в 1м 9 дней показались))
А перед каждым приёмом зубы как чувствуют начинают ныть и болеть)))
Улыбашка надеюсь расширят зубной ряд, а то зубы повваливались внутрь, аж бесят))) Челюсть очень узкая, особенно нижняя
Результат есть! зубки белее стали!
ого, столько всего ради здоровья зубов!)) я пока не собираюсь всего этого делать, но часто думаю об этом) может со временем что-то надумаю))
Leno_op4uk зубы и были такие) просто тогда при искусственном освящении фотографировала)
Martinss как-то само получилось) настроила себя и теперь даже не испытываю желания, а нооборот радость, что смогла отказаться хоть от пары вредных привычек))))


Быстро зубная боль станет привычной и тогда вы начнете есть все подряд, одной из причин будет то, что "нельзя" пойдут яблоки, орехи и т.д.
У вас немалые сдвиги, тк зубы оч кривые и для малейшего выпрямления нужно нехилое усилие. Так что они довольно быстро сдвинулись с мертвой точки. Какой срок вам прогнозируют?