последние изменения: фото
здравствуйте)
в пятницу я наконец посетила орту, по этому поводу уже была запись, но только сегодня могу залить пару фото с результатами приема
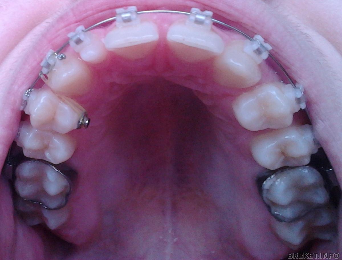
основные изменения были на вч. появилась кнопочка на 14ом, чейн, прикрепленный к этой кнопке для того, чтобы тройка скорее разворачивалась и замки на семерках с обеих сторон
семерки не видно, но на них ничего особенного там и нет, только трубочки
кстати, вчера ночью у меня почему-то начала довольно ощутимо ныть семерка с левой стороны...после обезболивающего малость отпустило, но болит все равно, есть сложновато
в общем, вот где-то такое у меня сейчас творится на вч
нч не фотографировала, так как там нет никаких существенных изменений кроме дуги
общий вид сейчас примерно вот такой
работы еще и работы...центр не на месте, до затягивания промежутков еще минимум одна дуга, двойку надо будет подрастить, а то она так мне не нравится сейчас...в общем, вижу, работать еще долго придется
сбоку вид следующий
орта обещала, как только довернется клык, поставить на вч новую дугу для работы над наклоном, но предупредила, что при этом щель между единичками может увеличиться...буду на выпускном с дырищами между зубами, я понял)
где-то числа примерно 23го-25го снова собираюсь в Киев, авось и попаду к орте, надеюсь, клык до того времени повернется
но все-таки вижу в брекетах и положительные стороны) к примеру, у меня наконец-то довольно пухлые губы, не может не радовать) на паспорт сегодня фоткалась, так обрадовалась, что я на фотке с такими губками милыми получилась) вот как сниму брекеты, так меня по паспорту признавать не будут)
в общем и целом - жду следующего приема, надеюсь попасть к орте как можно скорее, верю, что клык будет умничкой и станет на место как надо
Комментарии
7Svetlanka77, эхх, успехов-то почти и нет еще..но в любом случае успокаиваю себя тем, что не зря все делается) вдохновляюсь фотками тех, кто уже снял)
_beIIami_,, Уже полгода прошло ВЧ? Вы 4-ки удаляли или первоначально щели такие были? Я так поняла, что щели закрыть очень тяжело..
Edess, уже полных полгода есть...ну малость исправляется, не такая уже жуть, как была) но все равно...
четверки на месте, это с двойками проблема, одной нет вообще, вторая недоразвитая
плюс план лечения менялся на ходу, потому слева щель, которой уже не было бы, если бы сразу начали тянуть в нужную сторону
хотя щели будут закрываться через одну дугу, пока зубы просто выпрямиться должны







Поздравляю с успехами!!! Так держать!!!