Тянем-потянем
Давно тут не была, что у меня на данном этапе...
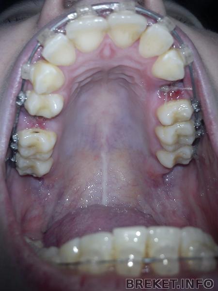
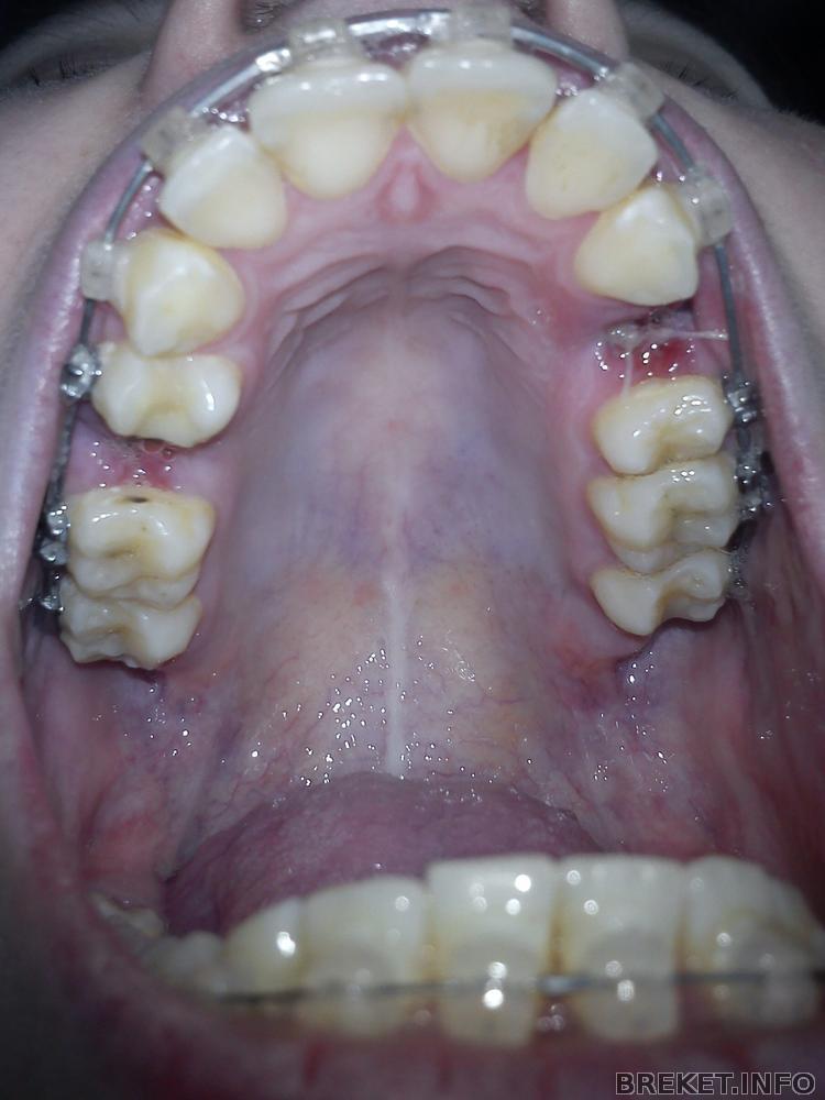
Значит после эластичных цепочек (кстати, тянут зуб они только неделю, потом только держат) в январе мне поставили железные пружины и проволоку которую закручивают для регулировки давления и за 2 месяца клык с одной стороны сдвинулся на пару миллиметров и с другой стороны четвёрка пол пути прошла, закрывая щель. Сегодня на приёме, мне поменяли дугу на нижней челюсти и на верхней затянули сильней крепление, чтобы клык встал на место, а с четверки всё сняли, так как её развернуло и нам нужно, чтобы она вернулась на место.
План лечения мне объяснили так: блоками зубы назад двигать мы не можем, так как центр не выровнен, поэтому двигаем по одному (процесс долгий получается
) Щас до апреля подвинем на место клык, далее двойку и подберёмся к единице, выровняем центр и далее уже все вместе зубы будем задвигать назад и закрывать щели. В общем придётся мне всё лето проходить с большими дырами в зоне улыбки. И врач сказал готовится ещё к большим перемещениям, скоро год, а работы ещё уйма.
Ну и фотки у меня пока только ноябрьские, после удаления зубов:



