Елей в уши брекетоносца и вообще позитив))
"- Ой, как здорово! Как быстро всё подвинулось! Давайте вы пока ко мне каждую недельку походите?"
Если бы не руки в моем рту, я бы улыбалась))) Четверка неожиданно быстро устремилась занять место удаленной пятерки, что дает надежду на более короткий срок лечения (прогноз снятия - октябрь-декабрь).
А ещё я только сейчас поняла, что самое страшное позади: страх боли и удаления зубов, пластики уздечки, страх фиксации и привыкания к жизни с брекетами (умножаем на 2 челюсти), опасение потерять зубы когда они расшатались на первой дуге и ещё куча всякого... Всё позади. Сейчас я спокойна, как удав, и страшнее чем было - уже не будет)) Осталось просто спокойненько доходить, слепить из того что уже есть красивый результат и распрощаться с брекетами. Про страх рецидива и поломки каппы думать не будем
Жизнь прекрасна!)) Брекеты - это великое добро хоть и кажется вселенским злом временами!
Да здравствуют зубы ровнюшные, и эксбрекетоносцы улыбнюшные! ![]()
Сколько сосредоточенности сейчас было в твоём взгляде! ![]()
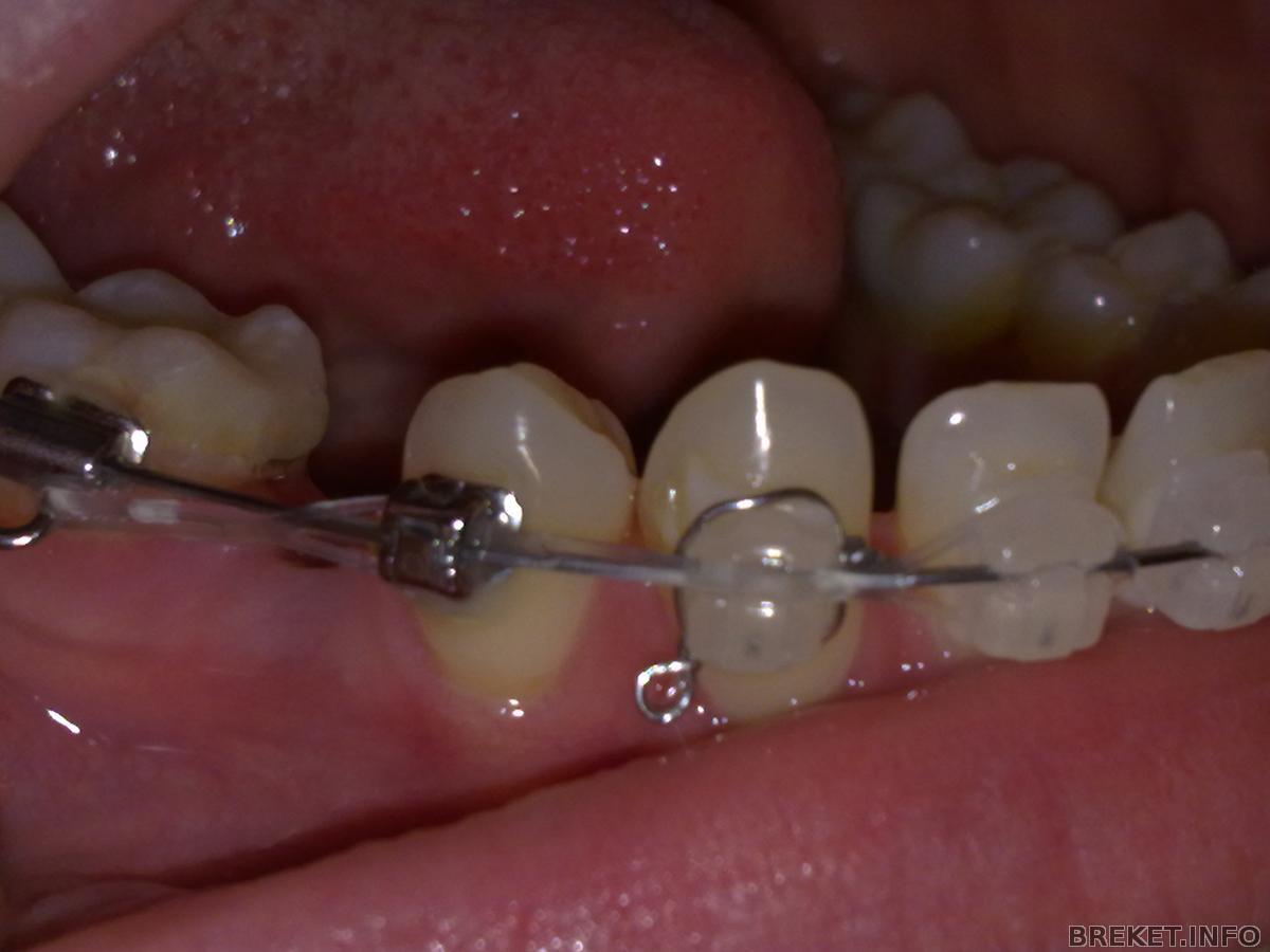
Ну и фото наконец)) ВЧ почти год, НЧ почти полгода
После удаления четверки прошло 3 недели. Все щели получены тягами до удаления + чейном за последние 2 недели. Йухууууу!!!)))
Комментарии
Спасибо!))) У меня и правда, как тут писали, кризис среднего возраста брекетоносца))) раньше была готова пару месяцев лишних походить, чтоб закрепить результат получше, а сейчас снять уже хочется...
вот здорово как все получается!!! у меня ж наоборот! ничего не нравиться((( орта хочет к лету снимать, а я хочу до НГ ходить с БС, чтоб идеально все было!!!
Так здорово, что тебе говорят хорошие новости, завидуюююю ![]()
Уже красота!!!
VikiTory Нууу, мне пока тоже не всё нравится, но тенденция хорошая - и это главное!))) А касаемо снятия и недовольства результатом - подумай о том, что могла всю жизнь проходить с тем. что было до БС ![]()
Varechka спасибо, но красота пока сомнительная, т.к. центры сейчас не совпадают, а к концу лечения из-за ассиметричного удаления у нас центром станет промежуток между 1 и 2 (на фото справа), да и орт не говорил о приближении снятия, она говорила что минимум полгода носить ещё и что к новому году точно управимся, а теперь фот так удивилась что надеюсь, снимем пораньше декабря! (эээээх, а ведь когда-то я хотела лишних 2-3 месяца поносить чтоб риск рецидива снизить)
Сколько уже в брекетах?
Тебе удаляли зубы мудрости?
Красиво все получается.
Сколько в брекетах - написано над фото))) 27.03 НЧ будет полгода, 29.03 ВЧ будет год. Зубы мудрости не удаляла, они под костью+корнем на лицевом нерве лежат. Хирург пообещал что они не вылезут и рецидива мне не сделают, я ему верю)
На ВЧ один зуб мудрости был выросшим (с той стороны где в детстве четверку удалили, ему только это и позволило вылезти), но кариес его уничтожил - выдрала, всё равно в щеку рос. Второй на ВЧ растет в семерку (да-да, у меня весь рот через одно место), толкает её в сторону щеки (наклон 45 градусов), удалить восьмерку нереально т.к. она процентов на 20 в семерке 9корень подрассосался), удалить её можно только после удаления семерки. Семерка хорошая, а восьмерка - в меловидных пятнах уже, боюсь, потеряю я оба эти зуба годам к 30ти(((
Внешне красиво, по факту - вот сколько печали...
Ох, проблем то сколько. Крепись.
Кстати так и не увидела дату ношения БС, ни в профиле , ни к фото.
Я завтра к орту, пойду требовать билет к хирургу, у меня 8 ка больно режется( делет(((( ее((( делет
Ох и красота же выходит!! ![]()
а это слово... я действительно вчитывалась несколько раз
MoonLady, тебе хоть сказали примерный срок снятия, а у меня даже разговор не заходил об этом, слишком много проблем еще
У нас разница в 2 дня, но мне кажется, что снимешь ты раньше
И буду я тебе еще больше завидовать
Mairead сама придумала ![]()
Xenia крепись!!!
Varechka не надо мне завидовать, у меня вон сколько скрытых проблем (читай коммент для Ксении)
MoonLady, я прочитала, а у меня вообще две шестерки на НЧ металлические
в общем все мы тут проблемные
восьмерки на нч ретенированные? не боитесь, что они испортят обе семерки?
teriana нижние восьмерки растут не так, как верхняя, и повредить семерки не должны, хирург ничего такого не говорил, сказал что просто не вырастут. Но даже если есть такая вероятность - повредить лицевой нерв и потерять чувствительность лица (а не дай Бог и подвижность отдельных мышц) мне куда страшнее. Если потеряю семерки - буду ставить импланты.



Классно все так написано)скорейшего вам снятия!!!!