3 дня после снятия и первые «звоночки» проблем
Ребята, прошло 3 дня, и я пребывала в эйфории: радовалась, улыбалась постоянно- мне сняли брекеты. Хотя оговорюсь сразу, я не испытывала стеснения или дискомфорта от их ношения, мне даже казалось это маленькая изюминка, на которую люди, не обращали внимание, а если обращали, то отмечали как положительное…
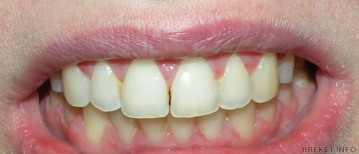
НО, сейчас эйфория сменила тянущейся тоской, на 3-й день я заметила щель между передними верхними зубками (никогда ее не было, ни до брекетов, ни с ними), они всегда плотно стояли «вместе». Когда я обнаружила ее, то сразу стало очень неприятно, и не от того что я перфекционист, а просто по- русски тупо-обидно (не знаю, какими словами, еще выразить свое ощущение).
Мне установили ретейнеры, выдали капу (на ночь) на верхнюю челюсть.
Я хотела улыбаться, но теперь вижу черную полоску между зубками, и начала жутко стесняться. И кстати, на фотографии видно, что нижний ряд уехал на 1 мм.вправо.
Понимаю, что для кого-то, не носившего брекеты, это не проблема. Но для того, кто проносил их 2 года, это не очень приятно, и я, думаю, что вы меня поймете. Даже если это не бросается в глаза, это может продолжаться и щель станет больше и нижний ряд уедет.
Я боюсь.
Комментарии
если и каппа есть, тогда это совсем странно! не ждите долго, идите к своему врачу.
Согласна с Сашей! Нужно не бояться, а бежать к орту! Пусть исправляет! Это его работа!!!
Мой врач принимает во вторник, нужно будет записаться. Когда мы с ней прощались, она сказала показаться через пол года, про щели даже речи не заходило.
Я уже начиталась, что капы это дело исправляют, конечно, не сразу, постепенно, медленно, так как небольшой рецидив почти что норма. Капы делались под ретейнер. А вот вопрос: Капы не нужно менять по истечению какого-то времени или они на весь период после снятия рассчитаны?
ой,я , конечно, не доктор, но , если я правильно поняла своего врача, каппы бывают разные по функциональному назначению.
есть такие которые делаются на ровный зубной ряд с целью удержать его ровным, а есть такие ( у меня вробе будет такая), которые делаются после диагностики с таким расчетом, что они подганяются под идеальный зубной ряд каждого пациента (то что не смогли сделать брекеты, мне ,например, нужно утопить на полмиллиметра левую единичку, брекеты с этим заданием пока не справляются) и доводят "до ума".
возможно, нужно будет просто дольше носить ( не просто ночь, а еще пару часов днем).
Katewil честно говоря такие новости немного настораживают)), мне тоже совсем скоро снимать брекеты. У вас какая была проблема скученность зубов? или вы наоборот ставили брекеты штоб закрыть щели?
Да, Саша, вы правы, придется носить и днем. Я уже в принципе привыкла за 2 дня, конечно, первые ночи спать не удобно с ними- элементарно мешают, но все брекетоносцы знают пара -тройка дней и к любому инородному телу привыкает и рот и язык и даже десны, все дело привычки!))
И еще такая мысль постоянно крутиться в голове, ведь раньше читала, спрашивала про ретенционный период и знала, что длиться он дольше, как минимум 2 года, что законы физики не изменить, и что заложено природой стремиться возвратиться на свои места. Но как только сняли, радость захлестнула, и понимаешь, нет, меня это коснется в меньшей мере, зубки такие ровные и красивые, они на разъедутся.
Теперь я настроилась на следующий период, не буду грустить. Да, не очень приятно спускаться с небес на землю...и два года это ни два дня, но что поделать! )))
Всем терпения!)
Руслан, нет щелей не было вообще, был сильно искривленный нижний ряд, поэтому мало сказать, что я была удивлена, я была шокирована)) откуда, как....
но как только надеваешь капу, все встает на места, и снимаешь какое-то время не видно. Я уже написала выше тираду, что только что осознала, что снятие брекетов, это еще не конец лечению, а начало нового этапа, периода, как угодно...Об этом не надо забывать, а просто настроиться и все будет отлично!
Katewil ретенционный период должен длиться два срока ношения брекетов, чем старше пациент, тем дольше, возможно и пожизненно, как это ждет меня))))
а что ретейнер не удерживает их?? если все возвращается.... я то думала что он крепко накрепко держит передние зубки....
Katewil почитайте эту статью http://breket.info/consult-doctor/1073855770 может это ваш случай, я тоже думаю клеить ли эту проволоку или нет. Если капа в принципе держит и фиксирует зубы в одном положении, то в чем тогда заключается функция ретейнера????
Катюша, посмотрите, у нас с вами одинаковая ситуация!
http://breket.info/images/image1073891103
мне сняли брекеты пару дней назад, но оставили два до понедельника, перестраховаться пока нет пластинки, чтобы щель снова не появилась между единичкой и двойкой. перестраховались так что щель появилась в другом месте!
может быть еще можно пломбировочным материалом заклеить сзади, щелка останется но она будет не черной.
Эх я бы была в шоке, столько брекеты носить и потом вылазит такое чудо. Иди к орту, я вот вчера пошла к своему, чтобы ответы на вопросы услышать, но они меня не успокоили совсем, поэтому к другому орту схожу, если ответы твоего орта тебя не удовлетворят, всегда можно еще к одному сходить.
Katewil капы надо менять периодически, они изнашиваются.

нужно не боятся, а идти к врачу!!
возможно ретейнер отклеился или нужна каппа дополнительно. зубы и без ортодолнтического лечения пребывают в движении. не переживайте так, если щель нельзя убрать ретенционными методами ( есть каппы, которые доводят зубы "до ума"), можно наростить.