5 признаков того, что вы пишите курсовые/диплом, или почему я наконец выкладываю фото своих зубов
1. В доме идеальный порядок, вещи уложены в цветовом порядке спектра
2. Все сериалы пересмотрены, изучены биографии актеров, имена их домашних животных
3. Холодильник забит такими изысками, что даже бабушка не постеснялась бы попросить рецепт
4. Записи на Брекет.Инфо появляются с небывалой частотой
5. На экране пустой лист Word, на столе куча бумаг, в руках телефон, в глазах уныние и безнадега.
У меня пока даже Word не открыт. На предстоящей неделе я должна сдать 2 КР, 3 ККР, реферат и оч сложный экзамен. Поэтому что я делаю? Правильно, заваливаю вас постами.
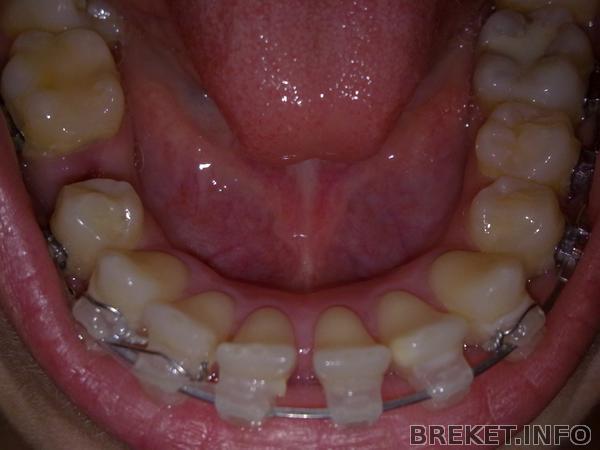
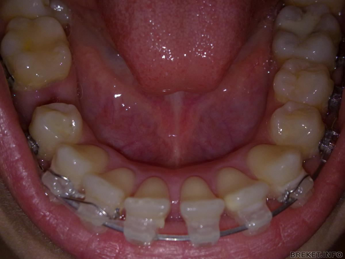
Теперь речь пойдет о процессе, решила показать чего мне наворотила во рту ортофея, я офигела от такого изобилия всяких штук, ну и вообще что творится в рту моем. Любопытных прошу под кат.
Не пугайтесь, зубы у меня не таких желтые, это камера и вспышка на телефоне дурацкие.
без семерок выглядит вполне сносно, место от удаления 5ки довольно быстро занимают соседи. Прошу обратить внимание на 6ку с той стороны, мне одной кажется, что она поворачивается вокруг своей оси?
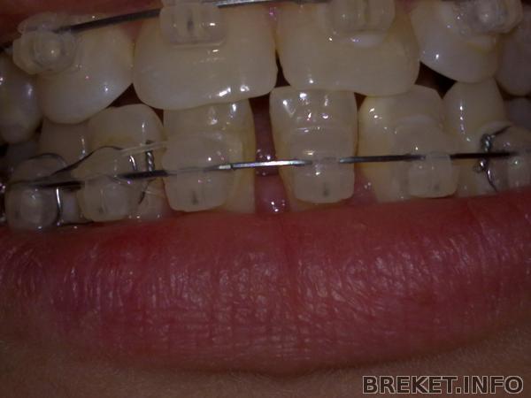
На последнем приеме орт поставила пружинку от 2 до 6, не сняв с 3ки давно неиспользуемую проволочку за которую я цепляла тяги, а в довесок, улыбнувшись ассистентке, открамсала 2 звена чейна и соединила ими 2 с 5. Ну не извращенка? Отдельного внимания заслуживает факт, как приятно всё это чистить ершиком, особенно с мегачувствительной шейкой 4ки.
Фото сделано через несколько часов после манипуляции, перед приемом единички плотно друг к другу прижимались, а за полдня она утянулась чейном вон на сколько (очевидно, за счет того что была щель между 1 и 2).
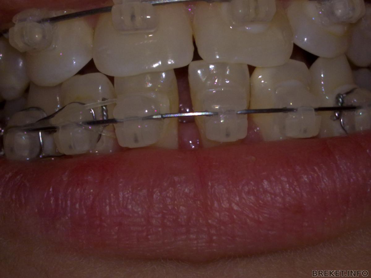
Продолжаем экскурсию. Так выглядит смыкание слева, по сравнению с другой стороной относительно сносно (да-да, я оптимист) видимо, за счет того что там не удалялись зубы (4ка ВЧ удаленная 12 лет назад не в счет).
А вот так (а если честно - ещё хуже) выглядит смыкание справа, где была удалена 4 ВЧ год назад, 5 НЧ месяц назад.
Анфас в сомкнутом состоянии, если это можно назвать смыканием. После окончания всех манипуляций центру ВЧ будет соответствовать промежуток между 1 и 2 с пятнышком (но интуиция в пятой точке шепчет, что так не получится и будет там красоваться середина 1ки)
Так эта красота неописуемая выглядит при разговоре (а на прием, на котором, надеюсь, стянут чейном уже все зубы, попаду только через месяц)
Ну а это улыбка. В анфас ещё сойдет, но нижняя губа в профиль меня бесит)
Комментарии
Она) Это она)) Я вот думаю, обратить её внимание на это или не стоит... Тыкать носом как-то неудобно уже, я с вопросом когда семерки будем исправлять её уже достала (раза 3 спрашивала, думала вдруг забыла, а она говорит рано ещё, позже, да, успеем до снятия исправить, нет, лечение они не затянут)
А с другой стороны - как не тыкать, если я сажусь в кресло, она смотрит на наклон и щели, смыкание, цепляет на зубы что-то и отпускает - итого 2-4 минуты в кабинете?...
Но с другой стороны, когда будет подключать 7ку по-любому увидит что 6ка развернута, это видно по направлению трубки (на фото губа, увы, закрывает)...
Ооооооооох этот вечный винегрет в моей башке
MoonLady, ну я имею ввиду "он - ортодонт")) У меня тоже самка(как выражается Халва
), но пишу я всегда он ![]()
А мне кажется, что когда семерки подключат, то шестерка сама встанет как надо.
Varechka ага, если замочек поставят. Изначально орт говорила что может кнопочку. А если кнопочку - то внутрь, и тогда 6 ничего не будет поворачивать...
MoonLady, Varechka, поржала я с Вас - грамотеи
Ворд хоть открыть, што-ли
Хоть вкладка будет ненавязчивым напоминаем
да-да, все так)
как же меня выбешивало это время - в итоге диплом я писала за 2 недели)) до этого типа материал балду пинала несколько месяцев
PS по юрид.предметам могу помочь
Watson, а по социологии?
И это ты называешь признаками написания диплома???
У меня всегда было наоборот - в комнате хаос, все мечты о любимой книжечке, а не научных публикациях и журнале Cell, в холодильнике мышь повесилась, открыто параллельно несколько вордовских документов....
А что касается зубов - столько всего накручено. И такие щели появились ![]()
Но это же всё промежуточные результаты, верно? У меня сейчас тоже такие щели, что ужас-ужас.
Халва у меня методичка открыта, но че-то ни фига она мне не напоминает, полдня никак не дочитаю ![]()
Watson спасибо за великодушие, юридических предметов не имею, экономика и региональное управление у меня))
Алхимик скорее, признаками необходимости писать диплом)) Когда настает последний момент и жареный петух клюет меня в сочную ягодицу, я пашу днями и ночами, создавая в перерывах хаос в комнате и пустоту в холодильнике)))
Промежуточные результаты)) Просто обидно, что у меня второй год лечения пошел, а одни "промежуточные" результаты сменяются другими. Когда начнем наклон семерок менять (одна завалена к языку, другая к щеке, и смыкаются они не жевательными поверхностями а боковыми) - рот наверно вообще закрываться не будет, и снова будет "промежуточный результат"
Есть ли жизнь после брекетов? Иногда я начинаю подозревать, что в моем случае ею станет следующая жизнь
"в сочную ягодицу"
Что-то мне стало резко стрёмно надевать низ... ![]()
А много народу с такой же нижней губой?
Или только те, кому в жизни чаще везло?
Дружище Бобёр Думаю, таковых большинство. То есть если при улыбке твои нижние зубы не видны - то губа будет как раз на брекетах, что и создает вот такой эффект... Куда ты денешься, и тебе нацепят, и ты будешь губастиком)))
Спасибо, уже предвижу, что это мой случай..
И полтора года с такой вот отвисшей губой жить...
Ооой, дипом же...









Мне тоже кажется, что шестерка малясь кривовата, но не критично)
Вот он тебе накрутил-наворотил то всяких проволочек и пружинок
А губа у меня так же торчит и тоже меня бесит