Год, месяц, день
Приветствуею всех брекетоносцев и тех кто собирается ими стать
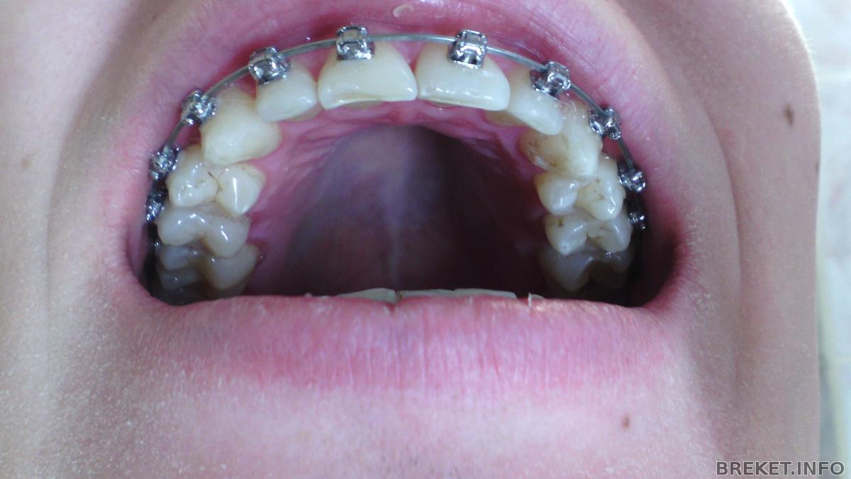
ВЧ- 1 год 1 месяц 1 день
НЧ - 1 год 3 дня
Время пролетело незаметно, а со временем появился результат.
Такими мои зубы были в момент установки системы на ВЧ
Результат на сегодняшний день
Даже если бы их пришлось снять сегодня, я бы не расстроился, результатом уже доволен. Сустав челюстной не щелкает, прикус стал выше, нижняя челюсть приняла форму дуги, а не кирпича. Все отлично! Но думаю что еще год брекеты поживут со мной
.
Тем кто только думает ставить/не ставить могу настоятельно порекомендовать поставить. Время летит незаметно. Не успеваешь оглянуться - год прошел.
Всем скорейшего лечения!
Комментарии
///Сустав челюстной не щелкает///
Какая хорошая новость ))). А до этого сильно беспокоил сустав? Болел, хрустел, щелкал, вывихивался?
Vikanik, можно было раньше добиться такого результата, две или три дуги не вовремя сменил, но все равно цель ближе и ближе ![]()
И тебе успехов и терпения
Хороший результат)
Наконец-то из Иваново, а то я никого еще у нас в БС не видела
PS и если не сложно, можно ответить, где ставили?
Tuzya, не силно, но при жевании чувствовалось что он неправльно как то работает.
Поздравляю с установкой. Как ощущения?
Watson, ставил брат ортопед
, я у него подопытный первый пациент, но зато платил только за систему, лечение бесплатно.
В окей на кассе девушка в брекетах работает, в прайм фитнес была инструктор в брекетах и парень занимался, школьника одного видел где то, и на этом ресурсе парень есть ивановский.
А ты где ставила? Сколько за курс?
у меня тоже такое ощущение что я у своего орта даже если и не первая, но точно где-то в первой пятерке подопытных
брат - это хорошо
aridna, фотки счастливых пациентов с ровными зубами как доказательсво профессионализма ортодонта. Не показывал врач?
Watson, жена брата стоматолог-терапевт тоже неплохо
в общем повезло с родственниками) а у меня просто терапевты- но мне и их хватает ))
привет! и правда . как все замечательно!!!! браво ))) мне нравится.
У нас тоже друзья семьи - муж и жена, ортодонт (по коронкам) и стоматолог-терапевт. Вся семья ходит только к ним. Я даже летаю в Новосиб на прием к стоматологу )))
Пол стоматологии родственников, а дуги не вовремя менял, как так
Tuzya, не силно, но при жевании чувствовалось что он неправльно как то работает.
Поздравляю с установкой. Как ощущения?
Если про ощущения вопрос ко мне ))). То ощущения - плохие (((... ни как в гаромнию не придем )))
Skart,
да да, слышал что москвичи ездят вставлять зубы в другие города где дешевле
элайнеры наверное медленнее чем брекеты работают??
Timka, жизненные обстоятельства
, часто в моей жизни случается так что третьи силы мешают осуществить задуманное, но все же цель ближе и ближе
про перелеты это точно - у меня знакомые вообще из США в Канаду к стоматологу летают )))
ezerra , да ты прав, элайнеры медленнее работают. Это минус, но есть плюсы )))) поэтому я не грущу - а все идет как должно )))). Наверное это всё мои "третьи силы" так спланировали





Да, конечно результат впечатляет!
Очень здорово зубки поработали . Действительно , время пролетает так быстро....
Терпения тебе!!! Просто молодец!!!