Третий прием
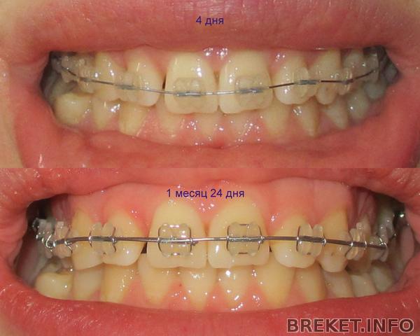
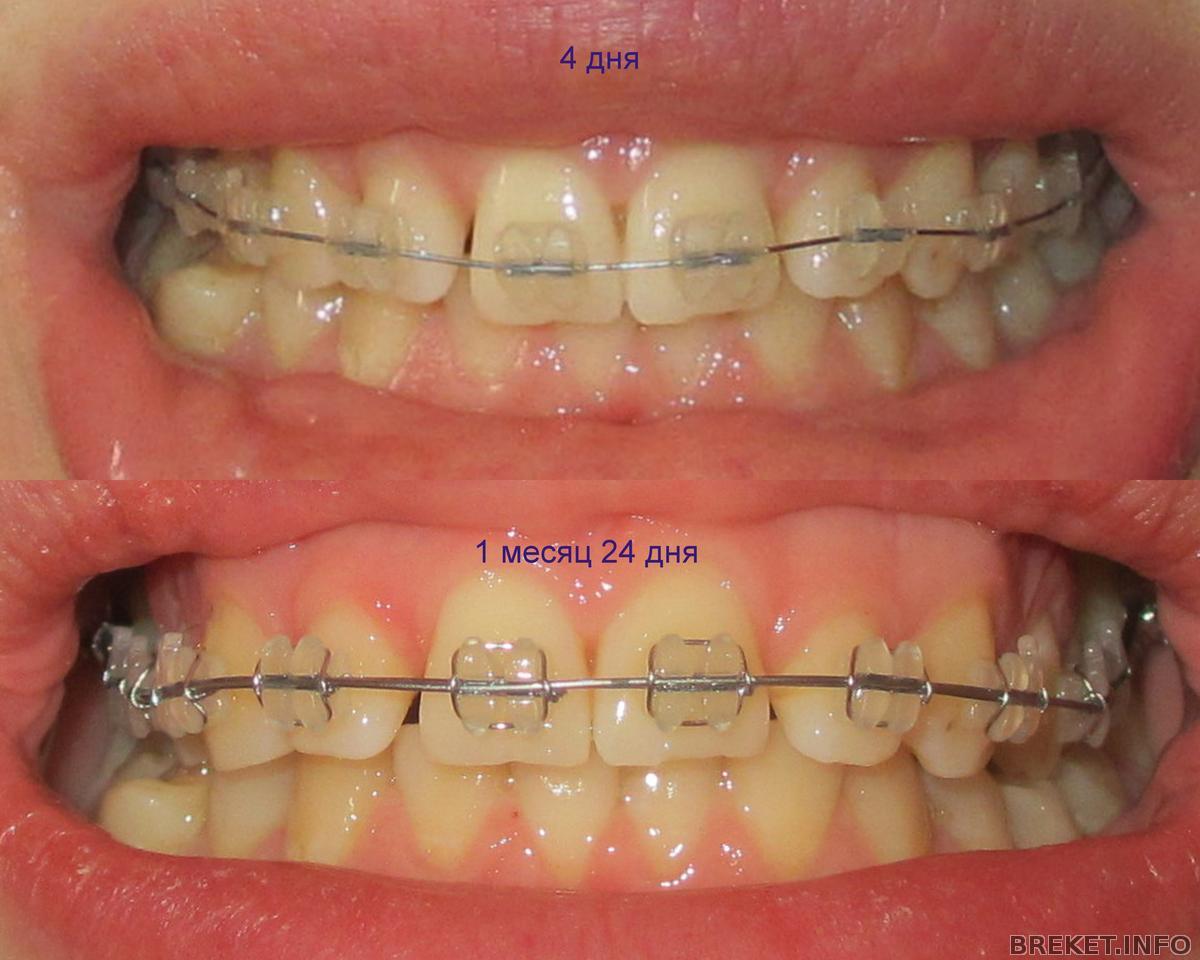
22.04 была вторая коррекция. Вставили мне вторую дугу на ВЧ, т.е. теперь у меня там 2 дуги.
На НЧ пока не поставили брекеты-обещали в следующий раз.
После этой коррекции прям все стянуло. И уже на второй день прикус поднялся за счет дальних семерок, которые мы двигаем на место удаленных лет 10 назад шестерок, контакты естественно разошлись.
Единички встали ровнее мне кажется, дуга распрямляется, что радует.
С правой семеркой вроде как проблем не должно быть, она уже рядом с шестеркой и по оптг норм, а вот слева она под наклоном - орт сказал попробуем выпрямить и через 4-5 месяцев будет ясно сможем или нет - если нет, тогда придется удалять восьмерку, которая только начала прорезаться и раздвигать, чтобы было место под имплант (Черт меня дернул в 2006 не поставить сразу имплант - они тогда только начинались и было страшно, да и денег особо не было).
в целом зубы всегда более менее ровные были, за исключением пятерок снизу, которые не влезли, когда росли, но вот года три назад моя стоматолог удивилась услышав как щелкает сустав и отправила к ортодонту. Тогда ходили в ЦНИИС на консультации и мне скзали в моем случае виной прикус (из-за удаленных шестерок зубы начали менять наклон и положение и к тому же передние зубы сверху начали разъезжаться) и сказали ставить брекеты.
Пока готовилась к установке и делала все снимки, слепки и т.д. узнала, что беременна и пришлось все отложить.
И вот 1 марта мне установили брекеты на ВЧ.
Но доктор сразу сказал - не факт, что с суставом проблема решиться.
Но я уже четко решила, что помимо работы с суставом надо выровнить зубы и прикус сделать как надо, т.к зубы начала стираться в последнее время сильнее.
Следующий прием через месяц - буду полностью укомплектованной
А пока терпим мучения после коррекции, ибо семерки ноют и болят при нажатии, остальные зубы не сильно беспокоят.
Да, и уже успела удали два зуба мудрости снизу - они мне успели добавить небольшой заборчик впереди.
Была уверена, что мне ставят самолигирующие брекеты, но мне сначала лигатурки резиночками одели, теперь проволочками. Меня не особо это напрягает, точнее вообще не напрягает, просто интересно это действительно не самолигирующие ? (У доктора забыла спросить) Обещали Clarity sl
Комментарии
Ляся, да, надеюсь брекеты положительно повлияют на сустав.
Вообще меня конечно больше функциональная сторона беспокоит и здоровье зубов
Т к эстетически и до не прям плохо было
Вообще надеюсь на лучшее



Да, изменения видны
Все-таки суставу будет легче после брекетов, правильно, что поставила.
Ждем комплекта