6 месяцев и 12 приемов (многобукв)
Вот и прошли первые полгода. Когда-то мне думалось, что время ношения будет легким и безоблачным) тем временем появляется все больше вопросов и больше проблем.
В целом, зубы меня радуют, правда. Они никак не виноваты, что размеры моей челюсти не подошли под их размер, я уже перестала считать сепарации, так как орта пилила каждый раз разные зубы по мере их выравнивания. Радует, что зубы выдерживают и никакой чувствительности, и прочих проблем пока не замечено.
12 приемов, да, я не шучу) Самое большое расставание с ортой длилось месяц, самое маленькое - 3 дня. Да, я конечно стараюсь соблюдать диету, но все же без твердой пищи жить не могу, поэтому у меня вылетают дуги и отваливалось уже 2 семерки (по факту 3, но одна была во время удаления), один брекет даже съела (принимайте меня в общество железных людей!!)). А после обычно следует отрезание дуг, заказ брекетов, приклейка и бла бла все по кругу...)) благо за приемы я не плачу, вот и позволяю себе некоторые шалости. Но в таком постоянном хождении есть и свои прелести - я постоянно под присмотром и даже на внеплановых приемах орта все время делает какие-то манипуляции.
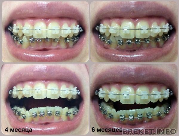
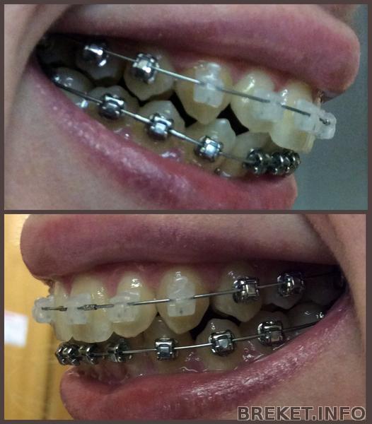
ВЧ: наконец-то добились выравнивания передних резцов, хоть и не до конца, но один противный резец все же стал поддаваться. Поставили новую дугу (18я). Семерки перестали выпадать из общего ряда (мне казалось уже, что сдвинуть их вообще невозможно), в целом, все выглядит достаточно красиво для этого срока)
НЧ: нижняя челюсть продолжает радовать неимоверно. Пружина быстро справилась с семеркой (двигали чуть дальше, на место удаленной 8ки), потом переставляли между 5 и 6, промежуток был не очень большой, но для клыка и такие промежутки оказались достаточными. Каким-то чудесным образом он начал вставать в ряд, осталось еще немножко и низ тоже станет ровным)), челюсть из-за этого немного перекосило, но придется потерпеть
После майских поставили новую дугу (16 вроде). Сейчас вернули пружину между 6-7, хотя орта боится потерять контакты, но думаю все будет хорошо, там еще можно чуть оттянуть.
Кстати о контактах, зубы действительно стали смыкаться, наверное, не так идеально, как должно быть, но мне уже достаточно комфортно. Было время, когда я одна сторона была подвешена в воздухе, в другая просто не смыкалась, я тогда даже просила поставить мне какое-нибудь разобщение, было ужасно неудобно)
Все, позитивная часть закончилась, дальше будет нытье)
Прикус у меня дистальный, думаю, все тут понимают, что это значит в эстетике лица. И брекеты я ставила не только ради красивых зубов, но и ради красивого профиля тоже. Он у меня достаточно тяжелый и красоты не добавляет. Окружающие, естественно, не разделяют мою панику по этому поводу (классика жанра). Примерно месяц назад орта завела разговор об удалении четверок (4х), хотя изначально в планах такого не было. И я что-то не сильно хочу удалять здоровые зубы, тем более неизвестно, как я буду выглядеть потом (впалые щеки мне вряд ли пойдут, а еще у меня немаленький нос, и когда челюсти уйдут назад, это будет бросаться в глаза еще сильнее). Короче, ушла я тогда расстроенная.
Предвещая вопросы по поводу ТРГ: мне ее делали, по результатам удаление не показано, но цифры были почти на границе. Поэтому сейчас думаем только об эстетике
На прошлом приеме все же решили не удалять, точнее решила орта, мне остается только верить и надеяться, что все делаем правильно. А сомнения вызывает то, что даже после снятия нижние резцы останутся в протрузии. Так себе альтернатива)) но, если удалить, останется сагиталка. Из неизвестности после удаления и протрузией я выбрала второе, так как низ в глаза не бросается и у меня еще впереди одна сепарация, может будет не так критично. Хотя сейчас резцы уж очень сильно вышли вперед.
Вообще изначально в планах был аппарат для выдвижения нижней челюсти, но смысл в нем пропал, после того как зубы стали смыкаться, а я даже хотела его ставить, чтобы выдвинуть НЧ вперед. А сейчас двигать нечего, орта предлагает просто увеличить подбородок после снятия и оставить все зубы на месте.
Трудно понять, какой будет результат в конце, когда на ВЧ достаточно объемные брекеты и еще достались незатянутые промежутки после сепарации.
Комментарии
А по расчетам в чем оказалась причина такого прикуса? В недоразвитии нч или ее задней позиции? Визуально нч не выглядит недоразвитой.
Прикус так вообще красота!
СоваМурашка, спасибо
честно, сама уже настроилась на косметическое решение проблемы) подбородок и правда маленький
Antigen, завтра очередной прием, надо спросить
даже удивляюсь себе, что раньше не узнала. Но что-то мне подсказывает, что дело не в задней позиции, да и орта говорила частенько, что НЧ маленькая
Классно,что не удалять! Будем надеяться, сепарация решит ваш вопрос на нч!!! Раз цифры на грани, должно помочь!!!
ЮлияHowes, я сама рада) думаю, осталась только одна сепарация, клык уже вместился за эти дни, осталось зубы чуть назад задвинуть, чтобы не было такого перекоса ![]()
Еще орта собирается переклеить 4 резца на НЧ, чтобы создать обратный торк) посмотрим, что будет дальше
Очень здорово! У меня клык правый такой же был, ставили в ряд 7 мес. И да, клыки и двойки на нч сепарировали, довольно много спилили, теперь хорошо стоят. Вообще смыкание классное должно быть, зубы в проекции стоят идеально, по-моему. Хорошо, что без удалений! Тоже думаю, что при удалении лицо бы испортилось в вашем случае, а с возрастом всё это ещё и усугубилось бы.
У моей подруги ситуация с подбородком похожая, челюсти стоят правильно, смыкание хорошее, а длины подбородка не хватает, также скошен профиль. Сказали только имплантом скорректировать можно.
Lesenka, спасибо) еще раз убедилась, орта правильно решила
На первый раз будем делать гиалуронкой, а если понравится, поставлю имплант (на него еще накопить нужно
) Я сама, сделав кучу фоток, другого выхода не вижу уже, в анфас все уже сейчас прекрасно смотрится, и мне страшно что-то кардинально менять удалением, да и сроки ношения в этом случае будут куда больше
Да, филлеры как вариант можно. Но они тоже недешёвые. Один шприц в среднем 15т.р. стоит. Да и эффект сколько продержится, неизвестно. Но зато есть возможность увидеть себя как оно, с другим подбородком.
Marianne, удачи! Пиши!
Lesenka, как раз и хочу посмотреть, какой будет результат, чтобы с пластики не начинать) а филеры будет делать другой стоматолог (на все руки мастер
), и будет у меня скидка хорошая, так что грех не попробовать
Ого, уже нашу общую боль тебе ставить вроде как и не нужно?
интересная ситуация получается, не думала, что такое возможно)) Посмотрим, что будет, реально сдвиги есть, и суперские! Так что держись и пиши обязательно как дела, будем бороться с нашими профилями)))
А почему-бы не пройти диагностику в другом месте? С описанием и тд. Это не такие большие деньги, за то уж ясно будет, почему профиль выпуклый...




Вы такая красивая! Мне нравится ваша улыбка, тем более если удаление не показано, зачем удалять) Может правда увеличить подбородок и все будет гармонично?
по профилю хочется скорее выдвинуть подбородок/нижнюю челюсть вперед, чем удалить зубы и задвинуть все это назад