Кажется, я определилась с хирургом...
Сразу скажу спасибо Даше!
Если бы не ее волшебный пендель, я б так и ходила до конца лечения, а потом бы поставила мост.
Месяц назад, полазив в интернете, наугад, пошла на консультацию к одному хирургу.
Неразговорчивый, сдержанный, не красивый от слова совсем, лет 45-47 дядька.
Посмотрел мое КТ годичной давности, сказал, все сделаем. Дорабатывайте с ортом место под имплант и приходите.
Цена вопроса 81,6 тыщ за синуслифтинг+ имплант.
Я немного прифигела и мысленно начала запрашивать у вселенной деньги ![]()
А потом уже начала интересоваться самим доктором. Оказалось, он работал лет 10 в нашей муниципальной больнице челюстно- лицевым хирургом, потом ушёл в самую раскрученную стом клинику.
И ... сюрприз! Сейчас работает одновременно в нескольких клиниках.
Я записалась к нему же на консультацию в другую стоматологию.
Он меня не вспомнил, посмотрел ещё раз то же КТ.
Все реально, все сделаем. С вас 63 тыщи. ![]()
Вот так нехитрым способом я сэкономила почти 20 кило рублей. А ручки- то те же!
Комментарии
Слушай, как-то резво он тебе коронки насчитал. Не развод
Или и до этого предполагала ставить?
Нет, ставить не собиралась, но верю.
Потому что там зубы леченые- перелеченные.
И сейчас надо тоже старую пломбу менять, так что семёрка скорее всего полюбэ под коронку.
За 5ку ещё поборемся...
Чо та я так разошлась с этими зубами, что меня уже не пугают такие перспективы ![]()
Нуачо? Делать, так уж по полной
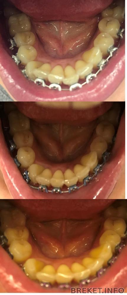
Муся, согласна! Кстати прогресс очень даже
Внизу клычок осталось подразвернуть.
Я немного прифигела и мысленно начала запрашивать у вселенной деньги - слово в слово мое теперешнее состояние... ![]()
Дай пять!
Муся, верх красавчик прям уже. А низ, смотрю у клыка щель даже появилась - а он туда че то пока не торопится впихнуться. Может пружинку какую-нибудь попросить, чтоб его подтолкнуть деликатно в правильном направлении?
Хороший результат!
Кролик, квадратик, спасибо!
Кто ещё, как не сослу... собрекетоносцы могут оценить?
Алена, у клыка щель не просто так появилась: мы в прошлом месяце моляры сепарировали и пружиной раздвигали...
А двигается он нормально: сейчас мы его в ряд запихнули, потом в вертикальное положение поставим.
Клыки же длинные, упрямые... у меня уже вокруг двойка и четверка десять раз повернулись, а этот медвед...
А почему синуслифтинг на неопределенный срок?
Потому что говорит, надо пятёрку поворачивать.
А это долго.
Но я ещё в конце апреля со своей ортой поговорю: что она скажет...
Так а синус предполагается делать одновременно с имплантацией или отдельным этапом? Какая высота гребня по КТ? Если это отдельный этап, то можно делать синус пока и параллельно пятерку разворачивать. Там еще имплант пока интегрируется...
Чо та я так разошлась с этими зубами, что меня уже не пугают такие перспективы
я по началу тоже такая как осиновый лист - а может пломбочку?... сейчас уже и коронку и виниры и еще черт знает что)
хороший прогресс у тебя, отзывчивые зубы - молодцы!!! зависть
Отдельно.
Но пятерка рядом с местом имплантации. Ссусь
Мымрачка, у меня всего то 5й месяц пошёл: великий застой ещё впереди
Мымруша, я тоже черт знает что! Я на все готова! Даешь импланты и виниры! И пластику десны!
Я на пластику десны тоже согласная ) а вот виниры чего-то не хочуу... Стёрты внутренние углы у верхних передних резцов, нужно будет как-то реконструировать
))))) Те же руки и со скидкой - вот это по-нашему, одобряю и двумя руками за поддерживаю ![]()
Прогресс очень хороший, заметно по дуге выстроились
Смайлик

Параллельно, отвечая на мои вопросы, согнал в кабинет терапевта ( я нашла у себя меловое пятно), который сказал, что мои 5ку и 7ку надо под коронку: большие пломбы.
И ещё пригнал местного ортопеда, посмотреть на место имплантации, который сказал, что ту же 5ку надо разворачивать вокруг оси.
И таким же нехитрым способом я попала на 2 дополнительные коронки и отсрочку синус лифтинга на неопределенный срок