Микровинтики - это как?)
Всем привет!
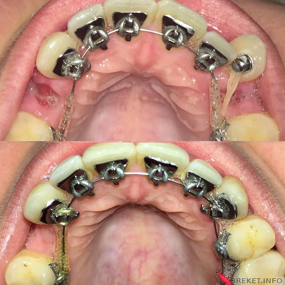
Сегодня было третье моё посещение у ортодонта, и мой клык наконец-то включили в систему спустя 10 недель!) Очень рада, хоть всё и болит) Даже сделала сегодня фото с улыбкой и, что удивительно, не ужаснулась!)
Комментарии
Здравствуйте! А для чего планируется установка микровинтов и куда? Мне установили в начале апреля, процедура очень простая. Описала ее здесь http://breket.info/blogs/1074473770 . Насчет повреждения корня, все ведь рассчитывается, а не наугад втыкают.
Мне тоже интересует тема микроимплантов. У меня улыбка немного кривит, орт сказала будем микроимплантами убирать если тебя смущает это. Страшно конечно((
Aradhana, спасибо большое!
Silenciosa, вроде бы, вниз, чтобы подвинуть жевательные зубы и закрыть промежутки от удалённых зубов)
Mila, не переживайте, все будет у нас хорошо)



Ваша улыбка уже очень красивая стала!
По поводу микроимплантов мне тоже это предстоит, почитала на эту тему - вроде как процедура гораздо более простая, чем установка стандартного корня для импланта (и оно понятно, все таки ширина 1-2 мм) По стоимости моя ортофея сказала, что будет стоить в районе 7 тыс. Ну и в конце лечения, когда он свою функцию выполнит - его уберут.