Нууу... Непривычно)
Итааак, настал день "Х", как его обозвала одноклассница)
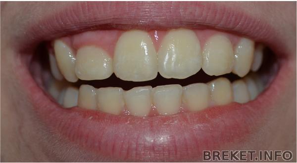
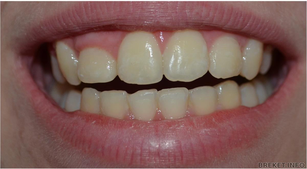
Сегодня сняли, да~
Скажу честно, результат вводит меня в печаль
Однако лучше моя орт уже сделать не смогла.
Но мне теперь непривычно и кажется, что с брекетами-то лучше смотрелось .-.
И лицо лошадиным кажется
Но тем не мение, мы теперь свободны)
Я пришла, села в кресло, рассказало орту о кошмаре(1), и она начала снимать брекеты~ Хруст стоял такой, будто мне зубы ломают =D. Когда она их убрала, первое, что я произнесла: "Марина Дмитриевна, куда делся второй ряд моих зубов?! =DD". Она сказала, что это все спрашивают)) Потом мне счистили клей и поздравили со снятием))
Я подарила Марине Дмитриевне подарок(2), отдала фотографии за год и... мне было так жалко уходить Т___Т Я все-таки уже привыкла ездить туда каждый месяц т_т. И еще я забыла попросить слепок >>.
В целом вся процедура заняла ровно полчаса)
И знаете, я до сих пор не могу привыкнуть) Такое ощущение, что во рту чего-то не хватает) И верхней губе слишком гладко!!! Спасают только ретейнеры ощущением чего-то родного =DD
(1) Про кошмар. За все время ношения брекетов мне снилось всего два кошмара и оба связаны с зубами). Первый я уже как-то описывала, а второй приснился сегодня ночью)
Я же вчера насмотрелась видео про снятие вооот... это дало знать)
Сам кошмар.
Приезжаю я на снятие. Однако М.Д. снимает мне только дугу и вручает мне щипцы для снятия брекетов. Я беру эти щипцы и еду домой. Дома перед зеркалом я сама снимаю себе брекеты. Все вроде отлично, но через несколько дней у меня расшатывается тройка на НЧ и выпадает. Я пробую поставить ее на место, а она не держится!
Проснулась я со словами: "Это был сон!.." Выдох облегчения.
(2) Про подарок.
У моей орты есть двое дочерей: Алина (2 года) и Даша (4 года). Так вот, еще год назад я видела в детском мире нашла вот такую игрушку http://www.am.lv/primg/thickbox/373/010/373010_p_e3bcb88ec0183c003f07ec3...
У меня в детстве была такая же, но без брекетов - просто как стоматолог)
Вчера, когда пошла покупать, очень боялась, что ее не будет уже, но, к счастью, мои переживания были зря ^_^
Марине Дмитриевне очень понравилось, они всем кабинетом рассматривали =D
Вообще, самое томительное ожидание - когда остается 2-3 часа до снятия)))
Вот прилагаю фотку свободных зубов ++
В основном все портит двоойка... Из-за которой и центра нет и линия десны корявая~
Забыла добавить.
Ходила в другую клинику узнавать про каппы. Ну, у нас одна каппа стоит 1000р. Это недорого, я считаю .-.
Так что скорее всего, буду делать)
И да, меня и в той стоматологии уже в лицо знают =D
Комментарии
Я где то прочитала, что такого рода десну можно подрезать. Может я что и напутала.
Можно, но не мне ._.
В моем случае это приведет к оголению корня зуба V_V
Поздравляю со снятием!!!!
![]()
Такая классная игрушка, тоже такую хочу!
Эх, спасибо)
Игрушка и впрямь зачетная)
Я помню как в детстве любила в ту, свою, играть **
блин крутоооооо) тоже хочу ощутить гладкость зубов !))
поздравляю со снятием ))
Все впереди)))
Спасибо)
Поздравляю!!!!!!! Игрушка классная)) У меня тож были набор доХтора и парикмаХера
Спасибо)
А я вот парикмахера все просила - так и не допросилась Т_Т ))
Игрушка офигенная! Жаль, у моего орта детки уже взрослые, воспользовалась бы идеей!)))
Со снятием!!!
А мне все нравится ![]()
А подпиливать "края" зубок будешь?)
поздравляю со свободой))) (как тюремщики прям)
да мне тоже интересно будешь ли подпиливать края?
P.S. не забывай заходить к нам на сайт)))
Смотря какие именно края вы имеете в виду)
Я просто боюсь, что если подпилить, то эти подпиленные зубы станут короче всех остальных ._.
На сайт забывать заходить не буду))
И да, люди, дайте совет ._.
Я хочу отбелить зубы, но мой стоматолог не очень эту идею приветствует .__.
Которые волнистые :DD
p.s. Если эмаль слабая, то не надо =="
Да и вообще! Ты на зубы брекетами почти 1,5 "давила". Дай им отдохнуть, "сил набраться" :3
Не, именно волнистость я убирать не буду)
Окай)
Эд, слушай, я тут посмотрела рентген твоих зубов... Тебе ортодонт не говорила, что 8-ки надо удалять? Я тебе гарантирую, что когда они начнут резаться, особенно нижние, тебя ни одни ретейнер не спасет. Они у тебя в 7-ки упираются. Вылезти полностью не вылезут, а вот весь нижний ряд в кучу соберется.
для чего подпиливать?.... я бы просто нарастила немножко единичку для симметрии ...
Эд, слушай, я тут посмотрела рентген твоих зубов... Тебе ортодонт не говорила, что 8-ки надо удалять? Я тебе гарантирую, что когда они начнут резаться, особенно нижние, тебя ни одни ретейнер не спасет. Они у тебя в 7-ки упираются. Вылезти полностью не вылезут, а вот весь нижний ряд в кучу соберется.
Ой, у меня целая эпопея была)
Ортодонт говорил удалять и я всеми руками и ногами "за", а вот все хирурги города отказываются это делать до того момента, пока мне не исполнится хотя бы 20 лет =_=
Я очень долго ходила всех уговаривала, но они поговорили с папой и теперь у меня нет шансов .-.
Остается надеяться, что они не полезут пока. Маме вон 37 сегодня, а восьмерок нет)
для чего подпиливать?.... я бы просто нарастила немножко единичку для симметрии ...
Вот про наращивание тоже думаю, но пока мне проблем и так хватает .-.


Ах да, но неоспоримая радость у меня все же есть ^___^
Поздравьте меня с первым местом в отборочном этапе олимпиады среды 10-х классов *О*