1,5 года!
Всем большой брекетоносный привет! ![]()
Я как обычно проморгала дату!
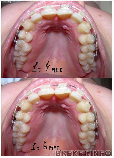
Целых полтора года в брекетах, даже не верится! А точнее, 1 год 6 мес.ВЧ и 1 год 5 мес.НЧ...И радостно и грустно.
Сделала фото, но даже выкладывать не хочется, изменений особо нет, все так медленно двигается. Может попозже добавлю. Помню, на установке орт говорил, что максимум 1,5 года... Конечно, я настроила себя на 2 года, т.к. сама вижу, что снятием и не пахнет.
p.s. Всё-таки выложила фотки. Оцените. На ВЧ единичка так и не двигается, а НЧ вообще налево смещается вся(
Комментарии
И все-таки нам бы фото
У вас уже может глаз замылился?
11.04.2012 - 06:44
Поздравляю с датой. Еще немного потерпеть и будет снятие. Мне же до него еще топать и топать )
11.04.2012 - 11:39
Фотки добавила, оцените)
11.04.2012 - 23:24



Почему-то тоже изначально настроила себя на 2 года, хотя орт говорил, что за год-полтора справимся - прям сила самовнушения какая-то