Очередной прием! Интересно ваше мнение!
Добрый вечер)
24 апреля сходила на прием, которого ждала больше 2-х месяцев, т.к. врач моя благополучно ушла в декрет. Сказала: "Жаль, что не успели закончить", но может оно и к лучшему. Следующий прием будет уже у другого врача.
На приеме ничего особенного не сделала, надеялась на надкусочные пломбы и на переклейку брекета, но...фиг вам! Сняла цепочку, которая разворачивала нижние зубки, натянула цепочку с одной стороны, прицепив клык. С развернутой 2-ки лигатура благополучно слетела и оказалась внутри меня уже через день... сейчас хожу без нее, после выходных буду звонить и просить, чтоб сделали, иначе за месяц изменений не будет! Пусть прикрутят металлической лигатурой, чтоб уж наверняка!
Особых изменений нет и радостей тоже
Единственное, радует, что единичка на НЧ выровнялась, совсем чуть-чуть ей осталось!
Ах да, забыла сказать, точнее хочу спросить вашего мнения. Несколько лет назад удалили 6-ку на ВЧ слева. Прикус мезиальный. Хочу, чтоб был правильный! Предлагали операцию+брекеты, но отказалась. В финансы тоже упирается все, операция стоит тысяч 200
Удалили снизу 5-ки. Орт говорила, что справа на ВЧ нужно будет тоже 5-ку удалить, но я отказалась, прикус тогда не поменяется скорее всего( и мама против. Если не удалять, сказали, что носить брекеты надо будет на полгода больше, я согласилась! мы хотели раздвинуть зубки и имплант туда сделать. Сейчас, врач настаивает на удалении, аргументируя тем, что смыкания не будет, центр не поставить(я даже на это согласна, зуб здоровый важнее). НО! Она даже не пробовала ничего с прикусом сделать ![]()
С единицей на ВЧ тоже ничего делать не хочет! брекет приклеила криво, сейчас говорит наращивать, хотя по десневому краю неровные единицы
. Она сама говорила, что они должны выравнивать по десне
Эх..руки опускаются((
Надеюсь, что с другим врачом будет по-другому и она попробует что-нибудь сделать, а не удалять зуб и лечить так, как проще для нее!
что-то написала много..крик души! надеюсь хоть что-нибудь понятно
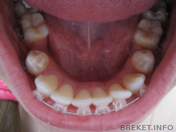
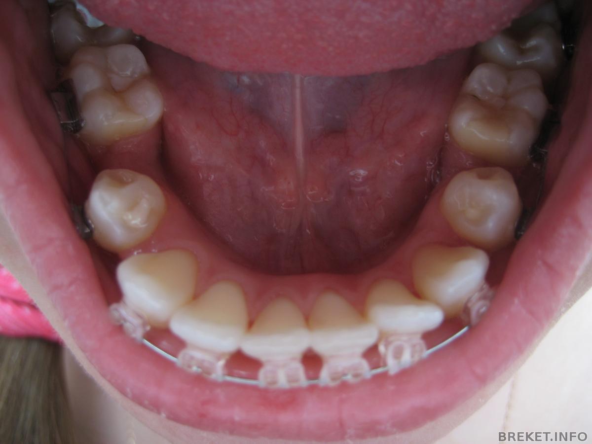
вот тут видно движение 1-ки на НЧ, разница в фото неделя
а вот фото только что
Прикус сейчас
Комментарии
Ляпота, да, буду у другого врача теперь. Я лечусь в детской поликлинике, поэтому сама не выбирала к кому переходить... С врачом скоро познакомлюсь, говорят, что она учила мою ортшу. Пойду к ней раньше назначенного приема, потому что лигатуру потеряла и дуга уже из брекета вылезла((((
А что вы думаете по поводу удаления 5-ки на ВЧ? что будет с прикусом?
Сашулька, сложный вопрос. с одной стороны, все-таки нужно центр делать. Некоторый и 8 зубов удаляют, ничего, это стоит результата. Но нужно удалять, если действительно есть надежда на результат. Везде должна быть логика. Советую пойти на консультации в платную клинику, чтобы узнать мнение других врачей. Консультации обычно дешевые.
Ляпота, 8 вроде тоже надо будет удалять. Мне центр ровный как-то сильно не принципиален, но с ним, конечно, все намного лучше будет смотреться) Вобщем буду с новым врачом разговаривать, попрошу попробовать без удаления исправить все!
Они, врачи, мне кажется, делают так как им удобно((( Удалив зуб, им будет проще все делать..
Сашулька, ну иногда без удаления никак! Удалять ты не хочешь, операцию сделать не можешь))) Надо иногда выбирать)







Да, невесело... а ты теперь будешь лечиться у другого врача, которого тебе твой орт посоветует? Уже ясно, что за врач?