О лечении без удаления и восьмёрках...(много букв)
Здравствуйте, дорогие брекетоносители ![]()
Просматривая Ваши дневники и фотографии, очень часто натыкаюсь на случаи, когда лечение ведётся с удалением зубов - это с одной стороны, с другой же - многие из Вас, выбирая ортодонта, отдают предпочтение тому, который обещает всё исправить без удаления зубов. Я задаюсь вопросом: как это возможно? Неужели один и тот же результат можно достигнуть разными способами? Или же это будут совершенно разные результаты (в плане длительности лечения, качества результата)?
Это что касается первой части моих мыслей
Второе, о чем хотела бы спросить - о восьмёрках. Нередко наталкиваюсь на мнение, что восьмерки - ненужные зубы. Больше всего пугают заявления, что из-за этих "ненужных" зубов в последствии все поедет обратно. В связи с чем возникает вопрос: это по-любому так? Или же если восьмерки уже прорезались и стоят себе спокойно, то все нормально?
И третье..
Хочу рассказать о себе.. Точнее о моем лечении=) Еще в декабре один терапевт высказал мнение, что мне нужно удалить верхние восьмерки, якобы из-за них у меня зубы и искривились. Перед тем как установить БС на консультанции у моего орта я высказала данное мнение, на что мне был дан ответ: лечим без удаления, все нормально, все помещается (конечно, более красноречиво, я просто не сильна в терминах
) Но если вдруг - то удалим. Меня пугает это, что значит "если вдруг"? Это что ж - всё лечение насмарку?
На идеальной модели моей челюсти всем зубам спокойно хватает места, но это ж модель...
Восьмерки у меня прорезались давно. И вроде все вылезли. Только одну нижнюю прикрывает десна (как там это по научному?
). На снимке (где он, блин, василий) никаких неожиданностей не выявлено, никаких горизонтальных корней и т.д.
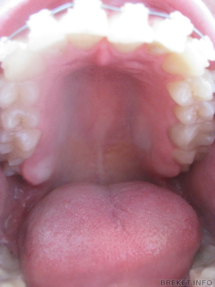
Так! Выкладываю фото) У кого есть мнения - высказывайте, пожаааааааалуйста, завтра иду к орту менять лигатуры, заодно поспрашиваю как там у меня во рту - что помещается, что нет.
1. Нижняя челюсть. Видно десну над восьмеркой (даже над двумя)...И кстати вот не понимаю куда моя кривая единичка встанет - ну нет ей места
Фуууу, что за слюни на 7
2. Верхняя челюсть. Ну не могу я сфоткать лучше Тут конечно ничего не видно.. Но более менее видать неровный зубной ряд из-за которого неправильный прикус (слева на фото, зубной ряд вогнут в ротовую полость).
А восьмерки там, вдалеке торчат:)))
3. А это - 2 недели лечения. Кстати, расстроилась увидев эту фотку. Я то считала, что у меня уже практически все ровно
А на фотке прям этот контраст между верхними единицами ого-го как заметен.
Спасибо всем, кто прочёл ![]()
Комментарии
Аланская, сейчас тут панику разведем с Вами. Если Вам 8-ки удалят, у Вас что ж 8 зубов останется н одной челюсти? Это слишком...
У меня верхние 8-ки выросли еще в детстве без проблем. Они по размеру большие, с хорошими корнями, стоят себе ровненько. из-за смещения зубов в детстве, эти 8-ки сдвинулись вперед и стоят на месте 7-рок, поэтому я ими жую вовсю))) Об их удалении не было и речи, на обоих 8-ках пломбы стоят, никто не предлагал удалять. А вот снизу одной уже нет и вторую скоро удалю. Они растут, а места для них нет.
Мое мнение: если есть достаточно места для 8-рок и если они полноценные и здоровые, то можно их оставить, а если нет, то удалять без сожаления.
Я бы сфоткала свои, но не могу пока что рот открыть нормально.
Ляпота, Вы меня успокоили, у меня вроде смирно стоят, уж лет 5... ААА, забыла рецессию сфоткать
Опять волнуюсь!
Polyaa, у Вас они только наклонены сильно (на ВЧ). Видимо, им места впритык хватало, вот они и повернулись. Вот это сложно исправить.
У меня ровно стоят, но это только из-за 5-ки, которая вторым рядом выросла и место освободила. Фоткайте рецессию)
Расположение восьмерок нужно смотреть на снимке.
Вот и мои прекрасные, крепкие, "ровные" но, по сравнению как они бывают у других. Я бы их оставила.
. Мой Орт когда глав-врача, он же хозяин клиники, лечила-ему не удалила их. Мне мой терапевт показывала его слепки "идеального прикуса". А у меня челюсть еще ширше. орт как то сомневается в их точном удалении. В общем я жду что вам там ответят
У меня сверху слабые были 8-ки... так я их удалила еще так лет 10 назад, разболелись жутко ) а на НЧ есть, и пока не говорили что бы удалять...
Мой орт не практикует удаление четверок, т.к. эти зубы достаточно важны по своей функциональности. В самом крайнем случае он удаляет пятерки, но да и такое редкость. Вообще, как он объясняет, с удалением, к сожалению, риск рецидива (образования межзубных промежутков после снятия) выше.
Практикует удаление восьмерок, чтобы те, начиная расти, не испортили результат, не занимали места и вообще не беспокоили. Зубы мне выравнивают, соответственно, с удалением одних лишь восьмерок. Что всему найдется место, я не верила очень долго, только сейчас осознаю, что это не сказка и не сон. Чтобы запихнуть все зубы в ряд и получить межзубные контакты, мне в будущем поставят многопетлевую дугу (она приведет прикус в порядок). Такое лечение по времени занимает меньше времени, чем лечение с удалением премоляров, т.к. не нужно закрывать промежутки удаленных зубов.
моей сестре оставили 8-ку полуразрушенную,т к отсутствует 7-ка и если она поставит коронку вместо имплантанта, будет к чему крепить
Mari_ya, прочитала ваш пост и испугалась... Предстоит удаление 4к. Теперь вот опять сомневаюсь.
Mari_ya,ерунду ваш орт сказал...или вы не так его поняли.
Риск рецидива выше у тех,кто лечится без удаления. Так как зубы буквально впихивают в зубной ряд и со временем под воздействием лицевых мышц,щек, генетической памяти и проч.они стремятся вернуться в первоначальное положение. Часто это приводит к изменению прикуса, зубы выходят вперед. Люди мучаются годами,а потом идут,удаляют 4-ки и снова вынуждены носить БС. Что касается трем (если зубы удалены),то их гораздо проще скрыть эстетически,нежели скрыть выпершую вперед челюсть((
"Риск рецидива выше у тех,кто лечится без удаления. "
Да, кстати. Я именно такой вариант и слышала, а не наоборот.
Спасибо всем!!!
Надо всё-таки еще раз орто сказать насчет восьмёрок...
evangelina, ерунду говорят врачи, которых учат по советским книжкам. О том, почему четверки не следует удалять, можете почитать в инете. Это не моего врача выдумки.
При лечении без удалении зубы не "впихивают". Пружинами создается место, на которое перемещаются зубы. О многопетлевой дуге тоже в инете полно написано, если ваш орт вам не рассказал, что таковая существует и для чего нужна.
Правильный прикус сохраняется после снятия не ретейнерами (и с ними при неправильном лечении все уедет), а зубными контактами, тем, как челюсть смыкается.
Я не говорю, что удалять четверки не надо, я написала то, что говорит мой врач по этому поводу. Можете пройти мимо и слушать своего орта, можете прислушаться.
lapaxa, бояться не надо) просто походите по разным врачам, послушайте мнения, а потом уже выбирайте. Но с умом)
если челюсть маленькая, то сколько не создавай места пружинами и петлями на дуге, зубы либо наклонятся вперед, либо выйдут из полостей (тот вариант, когда на деснах спереди просвечивают корни), это и есть то самое неправильное лечение.
Ааааааа, блин:(
Мне кто-нибудь может сказать, глянув своим опытным глазом, у меня есть место?
Расчеты ортодонт наверно перед лечением не просто так делает. С помощью них он выбирает наилучший вариант ля пациента.
Тем более есть три вар-та: либо крупные зубы, либо маленькая челюсть, либо и то, и другое сразу. Лечение, в каждом случае, думаю, тоже будет разным.
Mari_ya, а вдруг он нихрена не делал:(
Блин, хочу удалить верхние восьмерки... правда тогда наверно и нижние надо будет удалить...а внизу у меня куча места и они так стоят уже с 1 курса и не ползут никуда..
Polyaa, а куда ж он денется? Снимок и слепок делал? Наверняка и расчеты по ним делал.
Если восьмерки вылезли и не мешают остальным зубам, и орт молчит на эту тему, то просто надо спросить) Может, и не надо будет ничего удалять. Чаще всего удаляют те, которые, как показывает снимок, неправильно стоят. И чаще всего еще даже не вылезли. Ну или чуть-чуть показались.
Polyaa, у меня восьмерки все зубы подвинули, пока лезли (когда их еще не было видно т.е.). Когда они вылезли, я собралась заняться зубами и пошла по ортодонтам и мне говорили, что удалять уже нет смысла - они уже вылезли и ничего больше двигать не будут. Они ненужные т.к. как правило слабые и портятся первее всех остальных... кариесом поражаются, разрушаются. И их удалют если они не вылезли еще или вылезли не до конца - чтобы рецидива не было.
Mari_ya, слепок делал, снимок я притащила на диске (за неделю до этого орта делала в другой клинике), значит наверно посчитал:)
Mari_ya, Skoll, спасибо, мне полегчало)) вылезли уже давно...лет 5.. и кстати когда вылазили ничего не подвинули..у меня как коренные зубы выросли почти сразу такая кривотня была. Значит пока доверюсь ортодонту) но все-таки спрошу, на всякий случай..
Mari_ya,я думаю,это вам надо было пройти мимо этого поста. Всегда лучше пройти мимо,чем написать глупость.
Расширить челюсть можно только в период роста костей,скелета и проч. Взрослому человеку расширить челюсть невозможно. То,что вы написали про пружины -смешно. Интересно,откуда взялось место-то от пружин? Это НАГРУЗКА на костную ткань,не более того. Это именно впихивание зубов. Конечно,удаление - это серьезный шаг. Это тоже плохо. Но орт должен предупреждать о негативных последствиях в обоих случаях,а не заманивать пациента "прогрессивным" лечением без удаления. Челюсть и костный блок,увы,не резиновые. И все зависит от имеющегося у человека ресурса и его здоровья. Никакие современные новейшие учения не помогут.
Пишу не голословно. Тоже повелась на лечение без удаления. В итоге имею ад. Более 20 консультаций у лучших врачей в России, Израиле...в Германию собираюсь. Так что,уж простите,Я знаю,что говорю.
Polyaa,не поверите...мне тоже орт все рассчитала до лечения. А зубы НЕ ВЛЕЗЛИ в зубной ряд...Вот так вот...
evangelina, мне жаль, что у Вас такой неудачный опыт лечения. Могу посочувствовать и пожелать удачи в дальнейшем. И кстати странно от взрослового человека слышать о мнении врача слово "глупость". Я не знаю, чем и как лечили Вас, но видимо зубы Вам "впихивали", раз Вы за границу собрались. И на Вашем месте я бы уж точно не стала говорить человеку, который лечится без удаления, что врач его говорит "глупости" и делать странные намеки, проецируя все на свой неудачный опыт. Технологии?) Вы ортодонт, чтобы знать все о технологиях и о том, какие они на сегодняшний день существуют? Может, просто не на "своего" врача попали?
Удаляют не только четверки и пятерки, чтоб место создать, но и восьмерки прекрасно удаляются. Да, есть нагрузка на кость, но когда зубы будут в ряду, прикус скорректируют. И никакое "наращивание" кости не нужно. Если челюсть не заужена, то все в порядке.
Так что свой неудачный опыт не нужно распространять на остальных. Вы здесь вроде очень давно, наверняка видели, как пользователя Anetka лечили.
Mari_ya,да,Вы знаете,я уже практически ортодонт))) И ваш ортодонт для меня не авторитет,поэтому могу сказать,что да, он сказал глупость. Относительно рецидива это и правда неверная информация. И неудача постигла не только меня,но и массу других людей на этом форуме,если внимательно почитаете. Просто им повезло больше с костью,поэтому когда зубы вышли вперед,они просто тихо удалили зубы и продолжили лечение (фактически начали его заново). Я считаю,что новичкам (тем,кто еще БЕЗ БС) полезно знать и о негативном опыте,чтобы сделать правильный выбор.
И знаете,что еще...ортодонтия в России - это пока только способ наживы на клиентах-пациентах. И тут уж в ход идут все способы - и чудодейственные методики и красивые рассказы. Но с природой не поспоришь. Костный базис или есть или его нет. Я вам искренне желаю удачи в лечении и надеюсь,что вас эта беда обойдет стороной.
Да,Анетка - отличный пример лечения без удаления. Но. Обратите внимание,какое кол-во сепараций ей делали. Не у каждого зубная эмаль выдержит такое. Слава Богу,что у нее все хорошо с костями,деснами,эмалью. Мы все здесь искренне рады за нее.
А,да,все восьмерки у меня были удалены до установки БС. И знаете,места они практически не дают)) Их удаляют,чтобы снизить вероятность рецидива.
То, что в России полно ортодонтов, у которых руки растут из одного места, это факт. Но хочу заметить, что есть и нормальные врачи, которые не останавливаются на том, что закончили универ, а ездят по миру и еще учатся, и учатся, и учатся. И тем не менее, Вы же начали свое лечение в России. И почти все тут лечатся в России)
evangelina, для Вас мнение всех людей, не являющихся авторитетом, это глупость? Как же Вы тогда общаетесь каждый день?)) Получается, Ваша ортодонт, которая так и не смогла помочь, тоже глупости говорила? Или что-то неправильно делала?
Сколько ни читала постов, нигде не видела, чтобы люди "по-тихому" удаляли и начинали все заново. Даже звучит, знаете ли, забавно)) Да, видела тех, кто одевает брекеты во второй раз. И чаще всего читаю и вижу: не были удалены восьмерки, не носили каппу, не клеили ретейнер. И вот на встрече брекетоносцев видела девушку. Ей еще в школе выдрали четверки, чтоб клыки на месте были, и дали пластинку. И даже все ровно стало. А сейчас она носит брекеты. Понимаете, к чему я?
Что выбор удалять/ не удалять зависит от КОНКРЕТНОЙ ситуации, от конкретной челюсти и зубов. И что нужно исктаь хорошего врача, который за это дело ответственно возьмется. Ну есть шанс, что выберет врач неправильную тактику. Но он не так велик, если врач НОРМАЛЬНЫЙ. И, как показывает практика, в Интернете сплошь и рядом полно недовольных. А все потому, что если человека все устраивает, он не пойдет в сеть рассказывать, как у него все хорошо. Он будет жить и радоваться. А обиженный и недовольный непрменно пойдет и во всех подробностях расскажет, какие идиоты его окружают и как плоха жизнь) Так что я верю в успех своего лечения, чего и всем здесь желаю.
Mari_ya,не нужно толочь воду в ступе. Я не говорю,что у вас что-то не получится без удаления и проч. Я говорю,что людям надо знать обо всех вариантах развития событий.
Про удаление после того,как не вышло без оного - например Пташка. Была девушка Алиса 77 (не помню точно ник) и еще масса других. Обычно полгода - год уходит на то,чтобы врач наконец признал,что фокус не удался)
evangelina, для Вас мнение всех людей, не являющихся авторитетом, это глупость? Как же Вы тогда общаетесь каждый день?)) Получается, Ваша ортодонт, которая так и не смогла помочь, тоже глупости говорила? Или что-то неправильно делала?<<<<
Хорошо общаюсь,очень удачно и плодотворно) Для меня глупость - все,что является глупостью.
И да,мой орт говорил глупости. Это признал консилиум других врачей. И да,врач "что-то делал неправильно". Это тоже признанный факт. Только знаете,мне не легче от этого. Мне было бы легче,если бы я до лечения знала,что это глупость. Я бы просто не поставила брекеты.
evangelina, Ваша точка зрения мне понятна) предлагаю завершить эту дискуссию, вряд ли она к чему-то плодотворному приведет)
Mari_ya,абсолютно согласна)




Да да. мне тоже интересно. у меня та же проблема. мои не удаляют-потому что нижний ряд будет крепится на 8-ке. так как нет 5 6 7. а потом СКОРЕЕ ВСЕГО их удалят. Узнайте и обязательно напишите. Лично я буду ждать. и места у меня тоже хватает для всех зубьев.