шов?
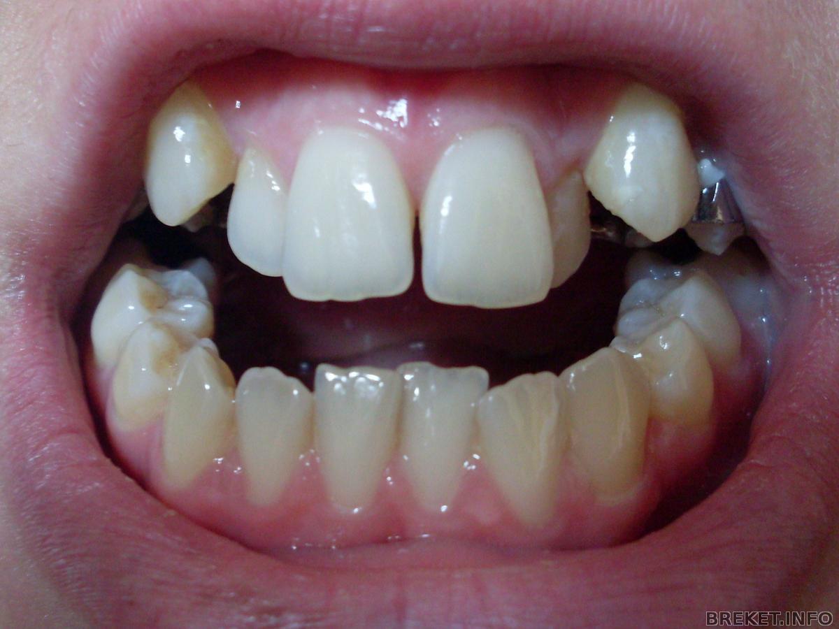
У меня вроде разошелся небный шов...вроде,потому что у кого-то щель между зубами большая была,а у меня она просто щель.
На самом деле это так неожиданно произошло:с утра прозвенел будильник и когда я его отключала,что бы дальше поспать,что то в челюсти/во рту,толи хрустнуло,толи как лопнуло,короче секундная дисконфортность.Я как-то на это внимание не обратила и сразу же обратно заснула.Все таки надо было в универ идти (курсовик сдавать),ну собралась я и т.д,иду по улици,как всегда языком во рту всякие пируэты делаю и язык с мозгом понимает,что с еденичками что-то не то (не знаю как описать ощщение щелочки между зубами) и пока никто не видет ногтем там потыкала
и о чудо,он нормально пролезает,я бегом в универ и......растроилась,по мне так ничего не изменилось,но когда пришла домой посмотрела фотки и нормально стала разглядывать в зеркало и да-да-да щееееееееееель
,но маленькая.
Сейчас фотки сделаю и скажите все таки что это?!
Комментарии
lara2304,да ,с написанием постов у меня всегда проблемы
Насколько я понимаю, шов похоже действительно разошёлся) Вот после такого момента у меня щель между единичками быстрее начала расти, прям чуть ли не в процессе подкручивания было заметно! И казалось, что единички ходуном ходят)
В общем, поздравляю
всё будет отлично))
Машик,спасибо!)
Нифигасе! Вот мне такое не делали, но всё равно- мои поздравления! Человек который не носил брекетов никогда не поймёт , чему вообще мы тут радуемся. А у нас то РЕЗУЛЬТАТ !!! и ещё один шаг пройден на пути к совершенству!!!
Sky_girl,значит ВЧ у вас нормальная без патологий)
Да,разошелся) поздравляю!!)
Liisska,а у Вас тоже сначало такая маленькая щель была?
Естественно)) и щелкнуло что-то,когда подкручивала



Начала читать ваш пост и сначала испугалась что у вас челюсть на 2 части разваливается!!!
А потом в конце смортю - радуетесь, значит так и должно быть, изменения в лучшую сторону)