кариес так быстро???
всем доброго времени суток!
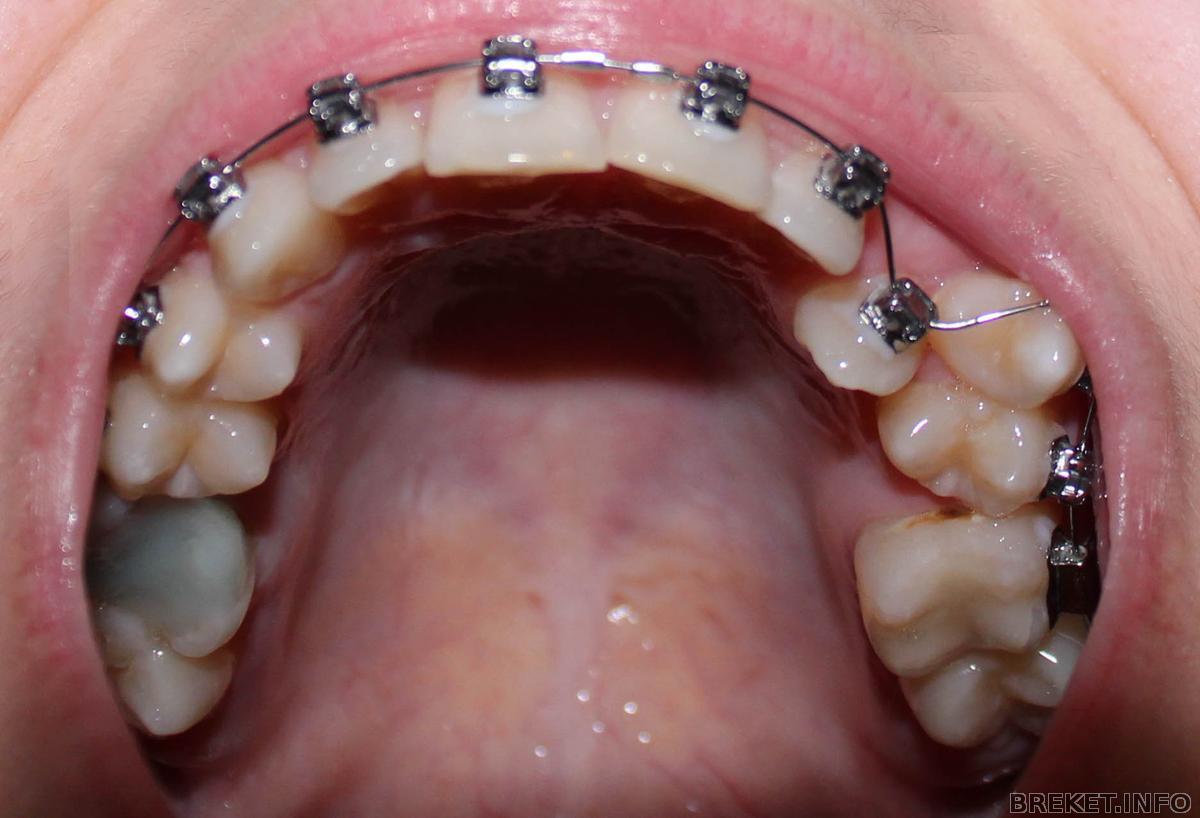
разглядывала я значит свои зубки сегодня в очередной раз. и тут я увидела, что на ВЧ на 6ке слева походу кариес!!! этот зуб я лечила перед установкой, там нерв удалили. ну я подумала, что не долечили. видимо зуб так повернулся и стало видно этот кариес. НО! я посмотрела фотки ВЧ, которые я делала когда установили БС. и что я увидела?? что нет там никакого кариеса! а сейчас есть! я попыталась флюсом пошкребать, ершиком. никак не оттирается. видимо кариес((( но как он появился так быстро??? при том что я так зубы надраиваю....
фотки для сравнения и вашего мнения по этому поводу
нет кариеса
есть кариес



Комментарии
cake_lime, по мне так на кариес не очень похоже. Хотя я его "в лицо" не знаю))
Юльчелос, хм...а что она без спец аппарата может расшириться?
sofka, может не кариес, но фигня какая-то нездоровая((
мне тоже кажется что это не кариес.может это камень.у меня вот зубы двигаться стали,из под десны выходить ,и у меня уже на двух вылез камень,пойду удалять скоро
На первой фоте тоже что то есть, почти в десне и незаметно, на второй зуб как бы вытянулся что ли, стал длинней или десна немного опустилась и стало хорошо видно. Еще раз посмотрела фотки, вот мне так кажется
Юльчелос, просто немного масштаб другой фотки, вот и все)Вторая ближе чем первая, вот и кажется так, вроде все нормально.
Danelly, Anetka, возможно вы правы! я просто раньше не сталкивалась с зубным камнем)
cake_lime, может!)
И по ходу Anetka права...
у меня тоже так было. один в один. испугалась, побежала к врачу. оказался камень. зуб приподнялся и камень стал виден/ уот.
так что не переживай ,)
cake_lime, мне кажется, что это кариес. И еще мне кажется, что он проявился за счет того, что зубик вытянули из десны чуть-чуть! Приглядись повнимательней: на первой фотке уже есть затемнение, оно совсем близко к десне.
П.С.: после удаления 5-ки на 6-ке сбоку такой же кариес был. Я расстроилась жутко, а потом подумала: "Вот если бы не брекеты, то не узнала бы о нем, а когда бы узнала, то этот кариес разросся бы уже на половину зуба!"
Не думаю, что это кариес. У меня такие "кариесы" после AirFlow и ультразвука проходили. Налет и камень..наверно) кстати, на границе с десной как раз такой налет темный чаще всего и бывает. Сходите на чистку, там заодно у врача и спросите)
А вокруг этого коричневого кариеса (или не кариеса) есть что-то светлое. Может это меловидное пятно? У меня одно есть, потемнело со временем. Похоже немного.
Это камень...
А лучше сходить к терапевту и не гадать =)
На камень похоже..
Если сранивать с 5-кой и 7-кой, то видно, что зуб стал выше, чем на 1-ой фотке, значит вылез из десны и эта бяка вместе с ним)
Бегом к терапевту!) А то ставки тут делаем, блин.
Потом расскажете.
всем спасибо!) да, надо к терапевту. а орта нужно ставить в известность или нет? просто орт и мой терапевт в разных клиниках
Конечно не надо! мне кажется в вашем случае лечению брекеты абсолютно не помешают, если это кариес)))
потыкай чем-нибудь
- если дырочка, то кариес
потыкала) дырочки нет) видимо камень! только вот мне еще не понятно, почему когда мне делали профчистку перед установкой не заметили этот камень???
Вполне возможно, что эта начальная стадия пришеечного кариеса. У меня похожая ситуация на нижних 6-7ках. Сказали, что ничего не сделаешь, пока лечить не надо, можно просто покрывать фторлаком раз в полгода, использовать реминерализирующие гели, пасты с аминофторидом. Это задержит его развитие. Но я поддерживаю мнение остальных: нужно идти к врачу!