3 месяца, и не только...
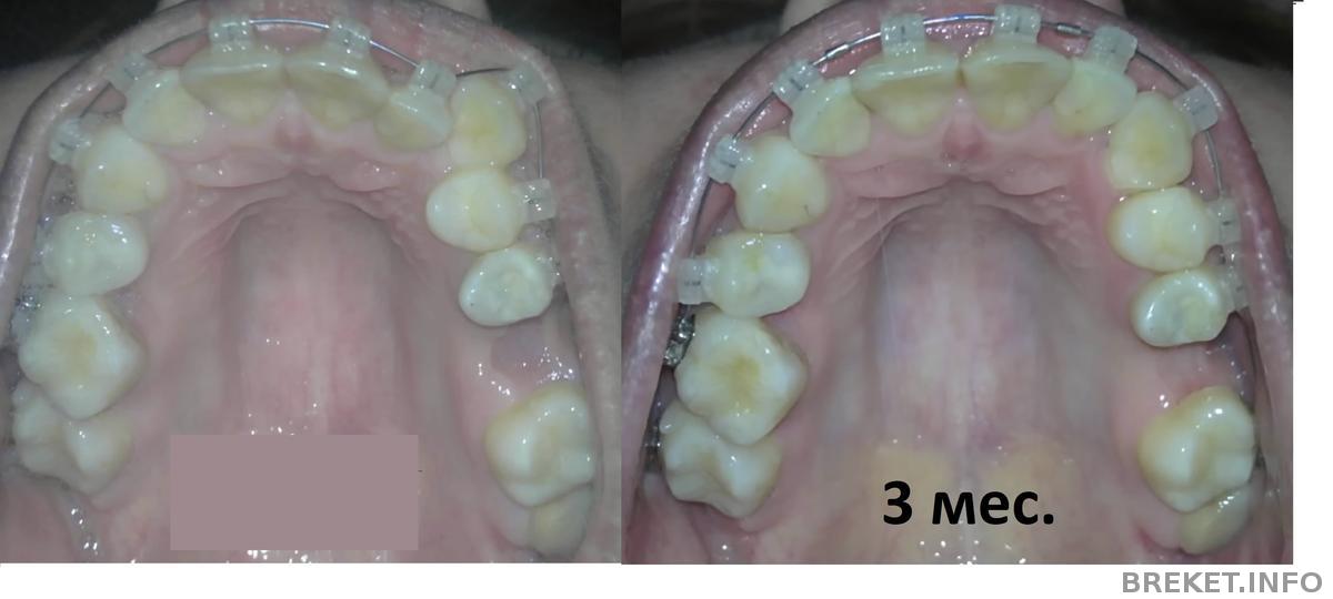
Пару дней назад стукнуло аж 3 месяца моим брекетам на ВЧ, результаты есть, даже слишком((( клык, конечно, не мог за это время полностью опуститься и углубиться в ряд с остальными зубками, зато вот рядом стоящие 2-ка с 1-ой очень даже смогли вылезти из общей линии и встать с клыком на один уровень(( так что теперь они торчат вперед! Я понимаю, что это промежуточный этап и все такое, но все равно переживаю из-за этого.
Еще был мой первый после установки прием у орта. Я, естественно, пожаловалась ей, что клык вместо того, чтобы толкать 4-ку с 5-ой, выворотил наружу 2-ку, а она говорит, что это ничего страшного, что просто нижняя 5-ка куда-то там упирается и заклинила эту упрямую парочку, но теперь она мне нижний зубик немного подточила, да еще наверх от 5-ки к 7-ке натянула резинку, да плюс поменяла дугу, теперь стоит 16, так что теперь дело должно пойти на лад))) И вообще, сказала, что все хорошо, все движется как положено, не слишком быстро и не слишком медленно, щель от удаленной 6-ки закрылась на 3,5 мм, а мне-то казалось, что как была там дырища - так и осталась, но оказывается закрывается потихоньку))) 16 дуга кажется такой толстенной после 14
а еще на этой дуге мне наконец зажали стопы и они теперь, как на прошлой, не ездят и не громыхают во рту, как кандалы ![]()
Ну и последнее, поставили БС на НЧ, Дэймон 3, 14 дуга!!! Так что теперь я полностью обрекетована)) Все, конечно, пока мешает и болит, но это временно! Процесс идет и это главное!!!
Комментарии
nadya123 не беспокойся, наверняка у твоего орта все под контролем))) видимо это такая особенность твоего организма - значит тебе повезло
а для меня и такой результат оч даже ничего, учитывая мой возрат и длину корней почти по 3 см)))
отличная движуха:)))
рада твоим изменениям!!!
Ssvetik, спасибо))) посмотрела твой коллаж - у тебя там вообще уже все по местам встало
Ничего страшного, у меня тоже двойка за клыком задралась вверх, но уже опускается потихоньку! Вот только катастрофически нет времени выложить фотки((((
Blondi, а как вообще дела в смысле брекетолечения? второй клык задействовали? пружину поставили? 4-ка двигается? выкладывай фотки обязательно! мы ж практически брекето-ровесники и случаи пожожи))) должна же я позлорадствовать, что меня не одну так перекосило
шутка)))
Юська! дела идут не так быстро как хочется, но твердо и уверенно! в 4 месяца поставят пружину, которая будет отодвигать 4-ку на место удаленной 5-ки, а потом, когда будет место, задействуют клык. Пока ношу вторые дуги. Все сроки по выкладыванию фото (2 и 3 месяца) прошли в связи с таким стихийным бедствием как РЕМОНТ одновременно с переездом, поэтому отчитаюсь в 4 месяца!

Поздравляю.У меня тоже 3 месяца (с половиной)на ВЧ, и тоже неделю всего назад поставили на НЧ, уже привыкла. Я вот прочитала, и подумала, не слишком ли у меня все быстро, у меня за два месяца два клыка встали на место, при том место для одного вообще почти не было. Это конечно радует, но я чего то обеспокоилась такими скоростями. А боль скоро пройдет!держись.